症例詳細
Case detail
骨の中にまで及んだ深い虫歯 歯周外科処置を用いた補綴治療
治療症例の内容
- 診療科目
- 担当医
- 藤巻太一朗(ドクタープロフィール)
- 患者様
- 50代男性
- 治療期間
- 6ヶ月
- 治療回数
- 5-10回
- 治療計画
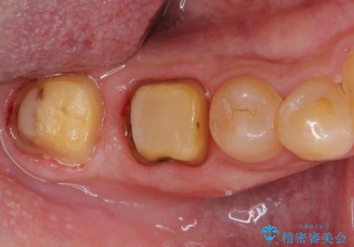
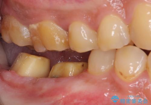
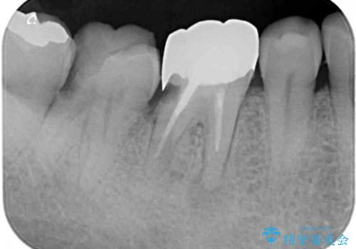
- 親知らずを抜くことが怖く、先送りにした結果親知らずの前の歯に大きな虫歯ができてしまったとのことで来院された患者様です。
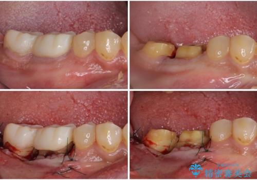
親知らずは速やかに抜歯し、手前の歯とその前の歯に歯槽骨にまで及んだ虫歯が認められたため、歯槽骨を削るなどの歯周外科処置を行うこととしました。
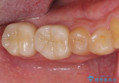
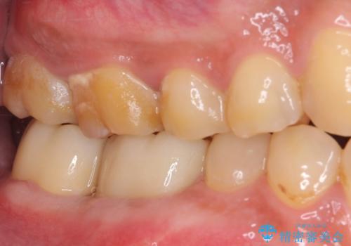
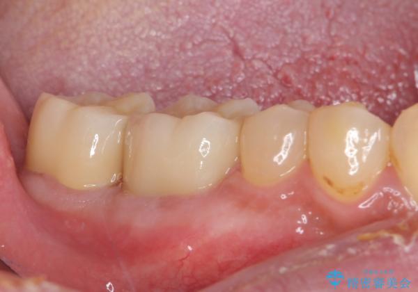
外科処置後の経過を待って、フルジルコニアクラウンにて補綴することとしました。
- 費用(概算)
- 治療費の目安: 30万円費用は治療当時の料金となります
治療について
通っていた歯科医院では、抜歯の可能性が高いと言われていたようですが、何とか健全な状態で歯を保存することができました。
歯周外科処置は、術後に痛みを感じたり、歯肉の状態が落ち着くまで歯がしみたりと苦痛を伴いますが、適用となる場合には抜歯を回避する手段として大変有効です。
セラミック治療の注意事項(リスク・副作用など)
- 天然歯を削ります
- 硬い素材は天然歯を傷つけてしまう場合があります
- かみ合わせや歯ぎしりが強すぎる方はセラミックが割れてしまう可能性があります
- 自費診療(保険適用外治療)となります
歯周病治療の注意事項(リスク・副作用など)
- 外科手術のため、術後に痛みや腫れ、違和感を伴います
- 歯周組織再生治療は患者様の状態によって術後の経過が異なります(見た目が改善しない場合もあります)
- 歯周組織再生治療は自費診療(保険適用外)となります
当サイトの内容、テキスト、画像等の無断転載、複製、複写、盗用を固く禁じます。












