症例詳細
Case detail
20年前に被せた前歯をやりかえたい 60代女性
治療症例の内容
- 診療科目
- 治療カテゴリ
- 担当医
- 患者様
- 60代女性
- 治療期間
- 1ヶ月
- 治療回数
- 2-5回
- 治療計画
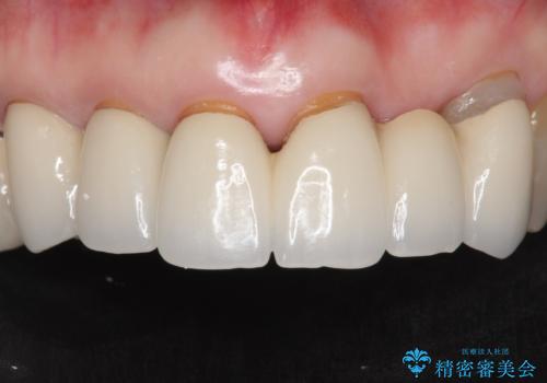
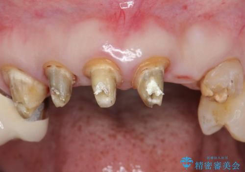
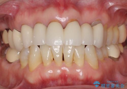
- 20年前に美容外科クリニックで治療した前歯をやりかえたいとのご希望で来院されました。
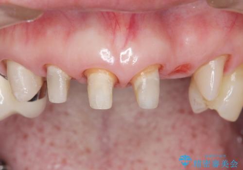
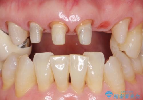
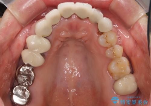
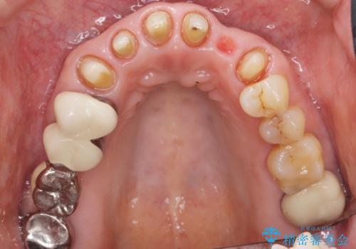
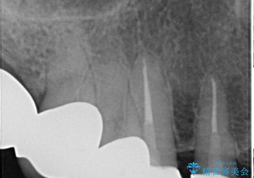
上の前歯6本はメタルボンドクラウン(内側が金属の被せ物)で補綴されており、顕著な歯肉退縮を認めました。
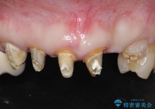
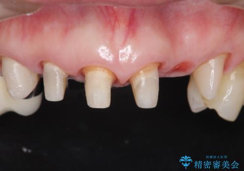
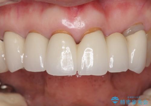
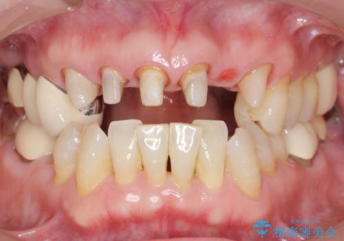
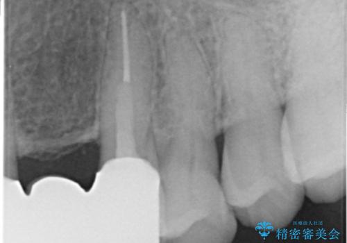
被せ物を除去したところ根管治療後の処置が不十分であったため、ファイバーコア(金属を用いない強くてしなやか材質の土台)を植立したのち、ジルコニアセラミッククラウンによる治療を行いました。
- 費用(概算)
- ¥760,000 (仮歯¥10,000×6本、ファイバーコア¥20,000×5本、ジルコニアクラウン¥100,000×6本)費用は治療当時の料金となります
治療について
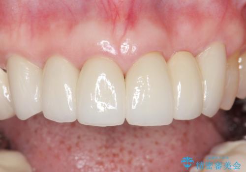
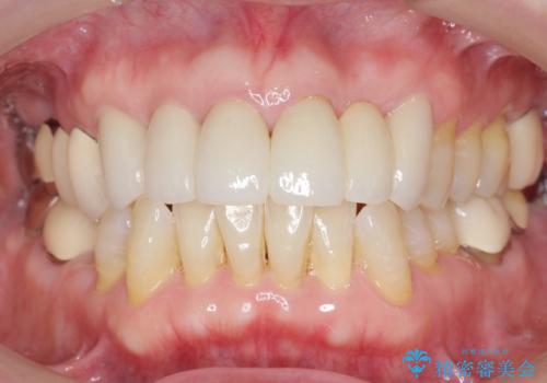
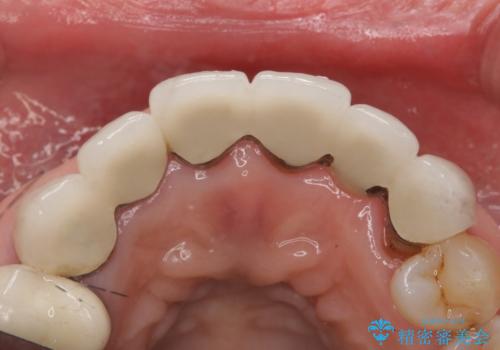
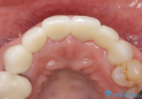
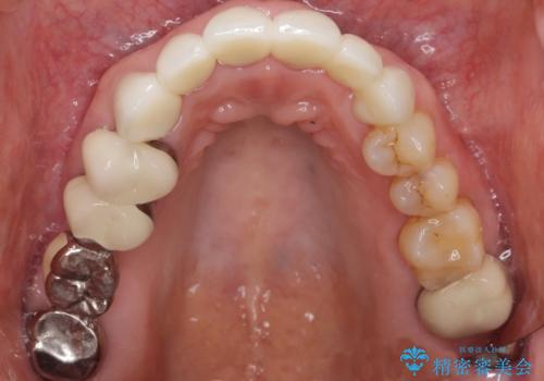
金属を使わないジルコニアセラミッククラウンの自然な仕上がりにご満足頂けました。
また、古い被せ物はブリッジではない右上321も連結されていましたが、1本1本の歯の動揺がなく連結する必要がないと判断し単冠による補綴を行いました。
単冠の部位は天然歯のようにフロスを通すことができるため、セルフメンテナンスもしやすくなったと患者様に喜んで頂けました。
被せ物の種類:ジルコニアセラミッククラウン スタンダード
セラミック治療の注意事項(リスク・副作用など)
- 天然歯を削ります
- 硬い素材は天然歯を傷つけてしまう場合があります
- かみ合わせや歯ぎしりが強すぎる方はセラミックが割れてしまう可能性があります
- 自費診療(保険適用外治療)となります
当サイトの内容、テキスト、画像等の無断転載、複製、複写、盗用を固く禁じます。


























