症例詳細
Case detail
前歯の黒ずみ セラミッククラウン改善
治療症例の内容
- 診療科目
- 治療カテゴリ
- 担当医
- 大元洋佑(ドクタープロフィール)
- 患者様
- 50代女性
- 治療期間
- 2ヶ月
- 治療回数
- 2-5回
- 治療計画
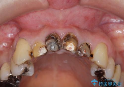
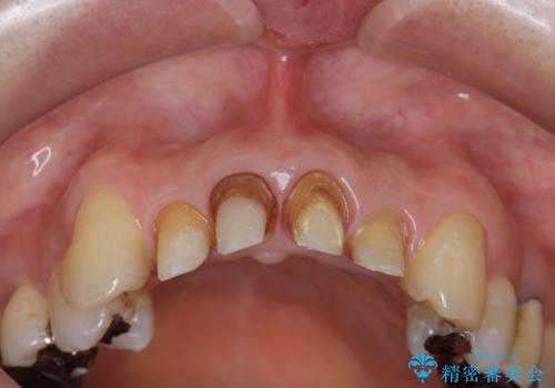
- 20年前に治療した前歯の劣化・審美障害の改善を求めて来院されました。
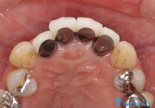
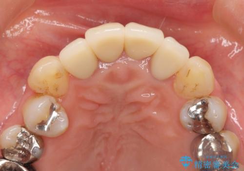
クラウンを除去し審美的なジルコニアクラウンによる補綴の再作製計画を立案します。
- 費用(概算)
- 52万円(仮歯×4・ファイバーコア×4・ジルコニアクラウン×4)費用は治療当時の料金となります
クラウンの適合について
クラウンと支台の適合が悪いと内部に汚れがたまり虫歯の再発・審美性の障害・口臭の発生リスク方あまります。
セラミック治療の注意事項(リスク・副作用など)
- 天然歯を削ります
- 硬い素材は天然歯を傷つけてしまう場合があります
- かみ合わせや歯ぎしりが強すぎる方はセラミックが割れてしまう可能性があります
- 自費診療(保険適用外治療)となります
当サイトの内容、テキスト、画像等の無断転載、複製、複写、盗用を固く禁じます。









