症例詳細
Case detail
短期間での歯列矯正 ワイヤー矯正であっという間に
治療症例の内容
- 診療科目
- 担当医
- 藤巻太一朗(ドクタープロフィール)
- 患者様
- 20代女性
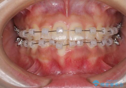
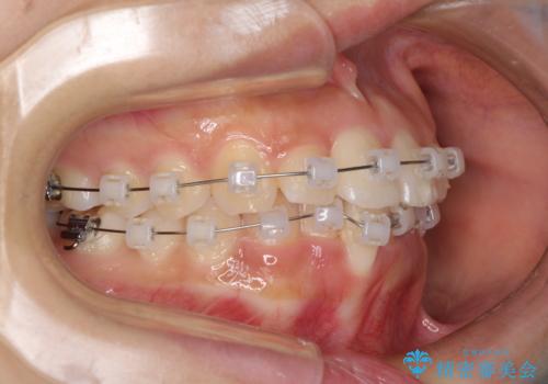
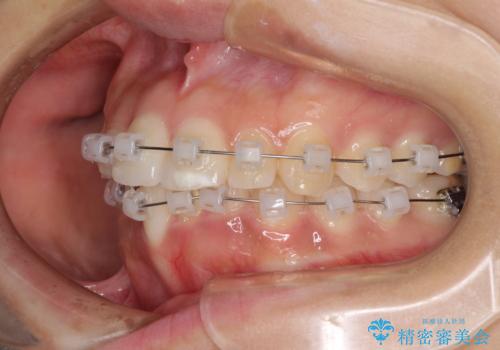
- 矯正装置
- クリアブラケット
- 治療期間
- 9ヶ月
- 治療回数
- 5-10回
- 治療計画
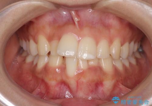
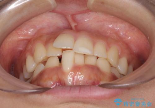
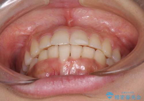
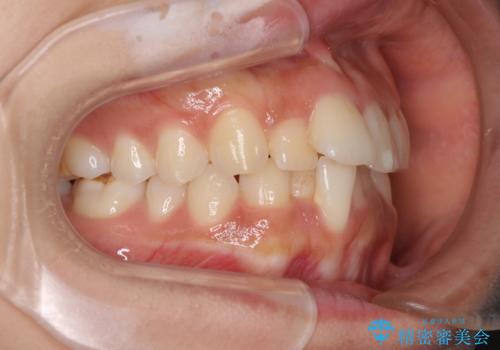
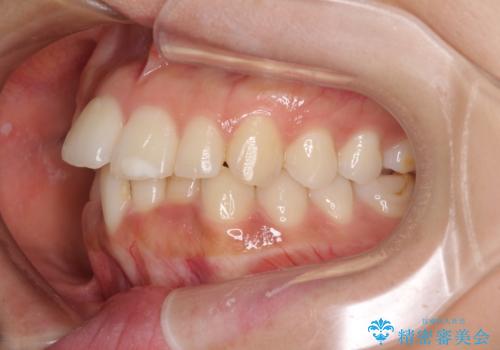
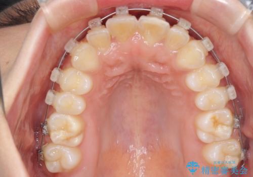
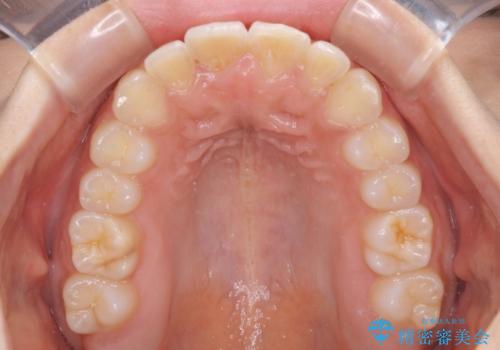
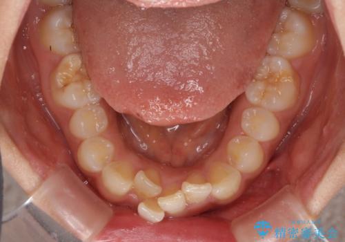
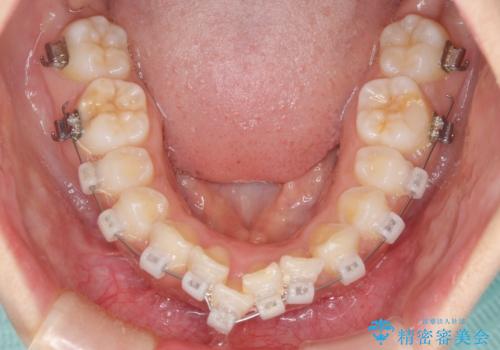
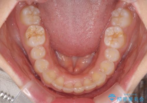
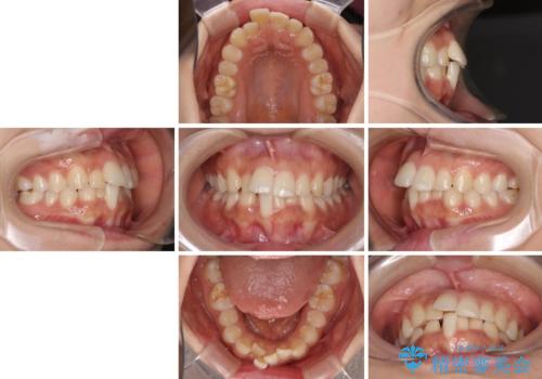
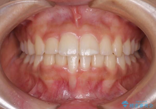
- 飛び出した前歯と全体的なデコボコを気にして来院された患者様です。
ワイヤーでもマウスピースでも治療可能でしたが、自己管理の重要なマウスピース矯正は自分には向かないとのことで、ワイヤー矯正で治療することとしました。
上下歯列全体を後方に移動させるため、親知らずは全て抜歯することにしました。
- 費用(概算)
- 治療費の目安: 80万円費用は治療当時の料金となります
治療について
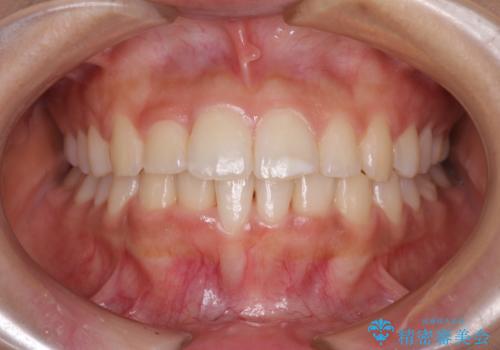
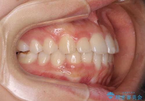
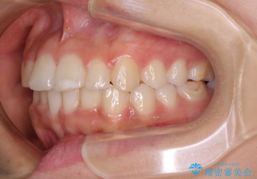
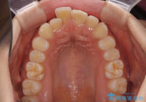
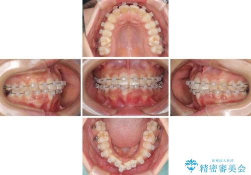
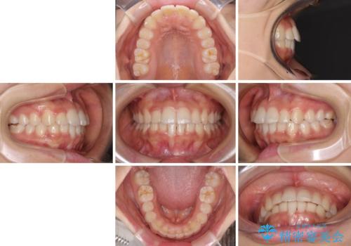
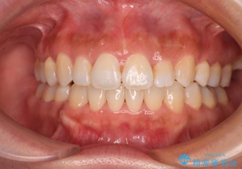
大きなトラブルもなく、順調に歯列が整ったため、僅か9ヶ月で装置を外すことができました。
あまりに短期間であったため、患者様自身も非常に驚いていらっしゃいました。
ワイヤー矯正の注意事項(リスク・副作用など)
- 治療中は違和感や痛みが起こることがあります
- 症状により、抜歯が必要な場合があります
- 治療中は歯磨きがしにくくなるため、虫歯や歯周病になりやすくなります
- 矯正治療後の保定が不十分だと後戻り(元の位置に戻ろうとする動き)をします
- 自費診療(保険適用外)となります
当サイトの内容、テキスト、画像等の無断転載、複製、複写、盗用を固く禁じます。




























