症例詳細
Case detail
結婚式前に目立つ銀歯をセラミックに
治療症例の内容
- 診療科目
- 治療カテゴリ
- 担当医
- 藤巻太一朗(ドクタープロフィール)
- 患者様
- 30代女性
- 治療期間
- 2ヶ月
- 治療回数
- 2-5回
- 治療計画
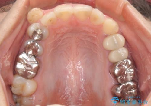
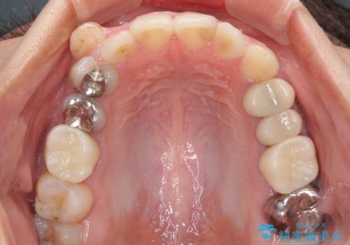
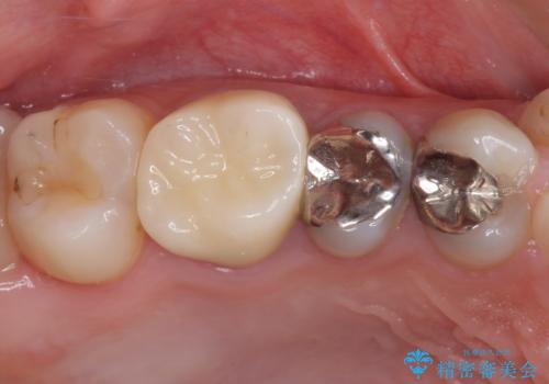
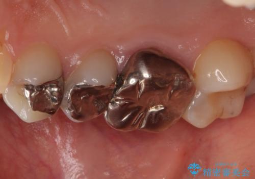
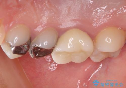
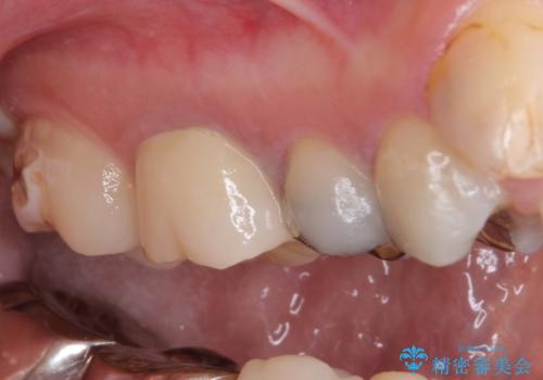
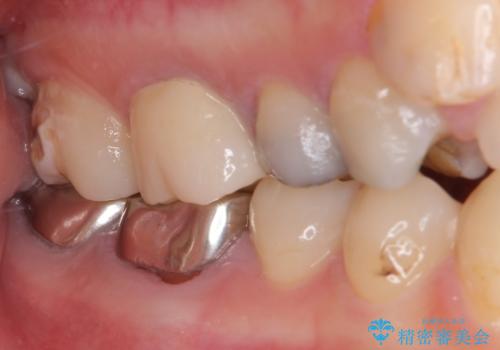
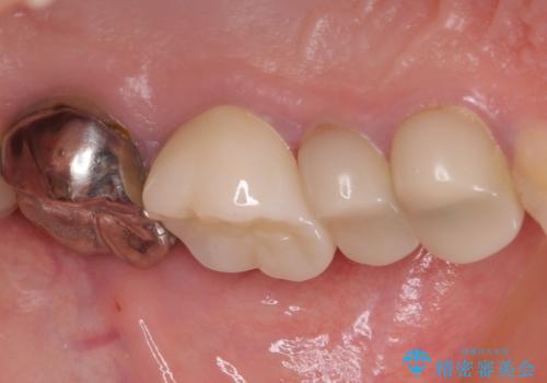
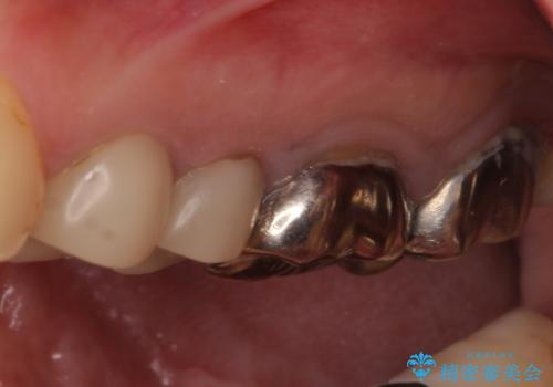
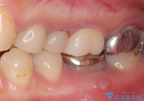
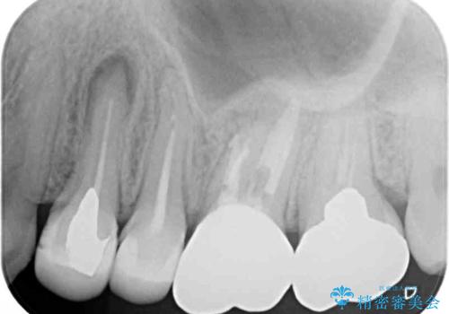
- 笑ったときに見てしまう上顎奥歯の銀歯を気にして来院された患者様です。
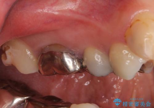
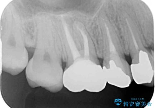
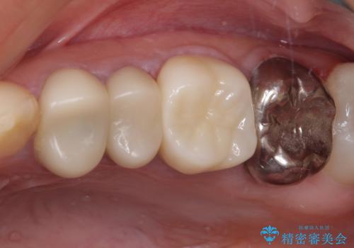
折角セラミッククラウンを装着するので、根管治療を行った後に補綴治療を行うこととしました。
- 費用(概算)
- 治療費の目安: 50万円費用は治療当時の料金となります
治療について
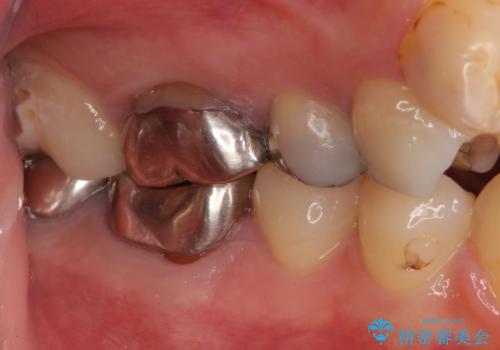
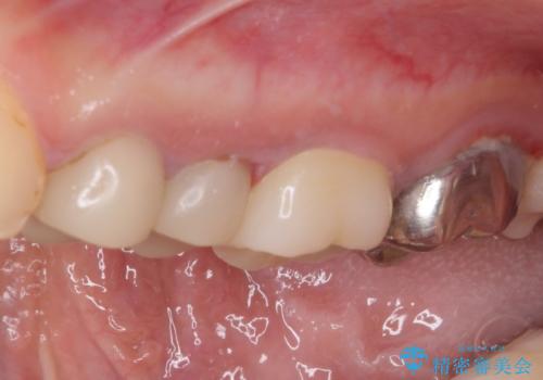
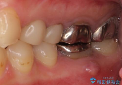
他にも目立つ銀歯がありましたが、最も気にしている2本を優先して行うこととしました。
結婚式前にはクリーニングやホワイトニングを行い、その後他の歯を治療していく予定です。
セラミック治療の注意事項(リスク・副作用など)
- 天然歯を削ります
- 硬い素材は天然歯を傷つけてしまう場合があります
- かみ合わせや歯ぎしりが強すぎる方はセラミックが割れてしまう可能性があります
- 自費診療(保険適用外治療)となります
根管治療の注意事項(リスク・副作用など)
- 根管治療により類似の全ての症例の問題が解決するわけではなく、症例はあくまでも一例です
- 根管治療により痛みや腫れがひかない事や、術後に痛みや腫れが生じる事、治療によるファイル破折やパーフォレーションなどの偶発症、術後の歯根破折を生じる可能性もあります
- 自費診療(保険適用外)となります
当サイトの内容、テキスト、画像等の無断転載、複製、複写、盗用を固く禁じます。
























