症例詳細
Case detail
出っ歯 すれ違い咬合の改善
治療症例の内容
- 患者様
- 20代男性
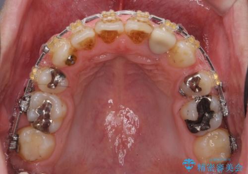
- 矯正装置
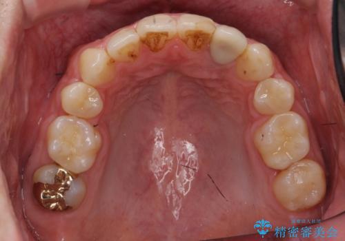
- 審美装置
- 治療期間
- 2年6ヶ月
- 治療回数
- 10-30回
- 治療計画
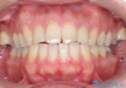
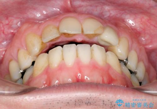
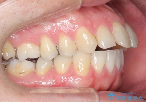
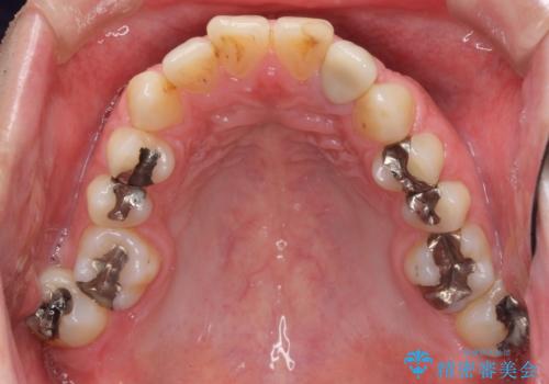
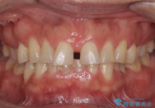
- 出っ歯を主訴に来院。
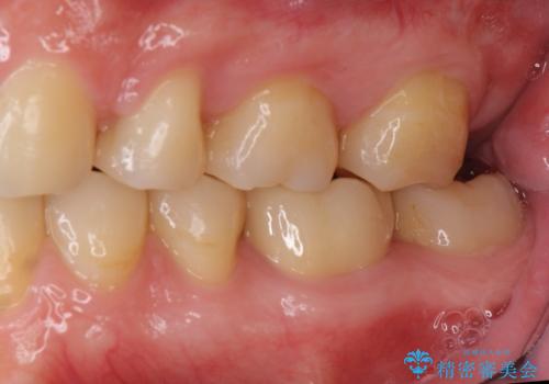
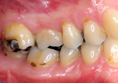
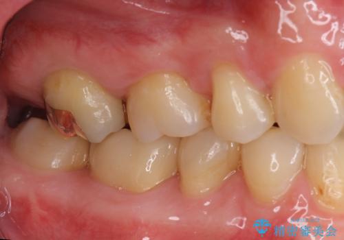
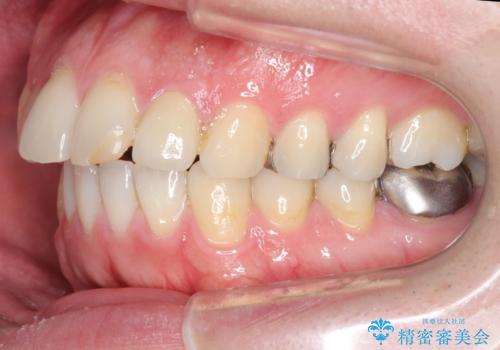
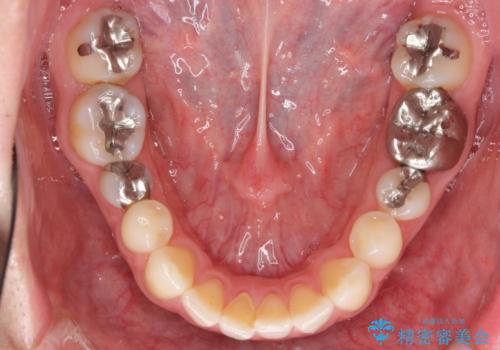
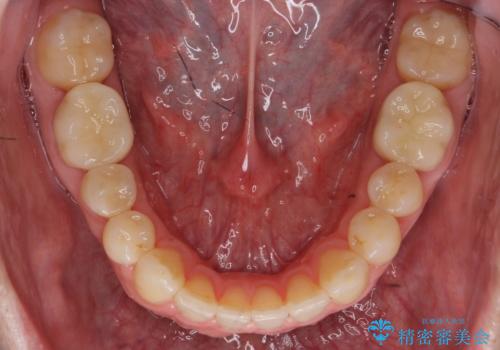
奥歯のすれ違い咬合もありました。
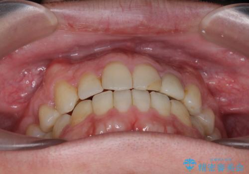
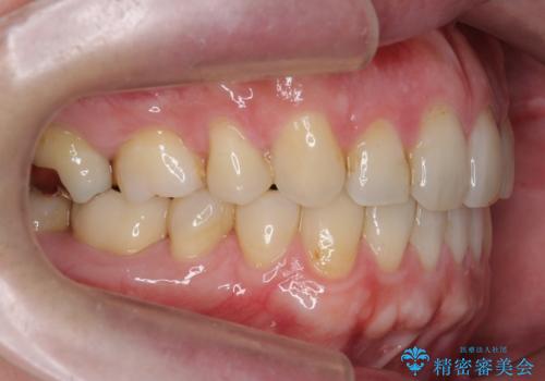
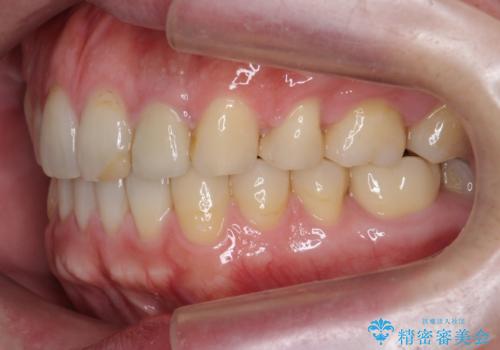
矯正治療後に詰め物をセラミックに変えていきながら虫歯治療を行いました。
- 費用(概算)
- 95万円 (矯正治療費) 補綴治療費は別途費用は治療当時の料金となります
治療について
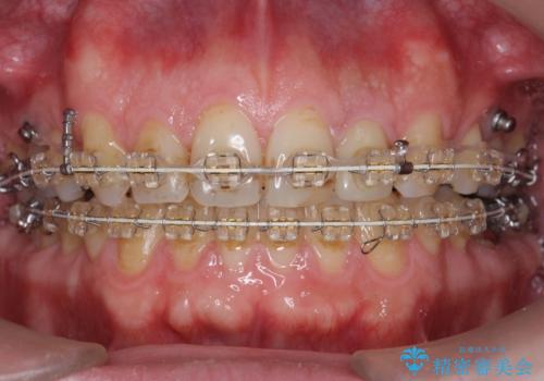
初診時には前歯のオーバージェットが大きく、前咬みしたりと咬合不安定でした。また、奥歯のすれ違い咬合を改善前後の下顎の位置の評価を行いながら、慎重に抜歯の部位及び本数を決めて行く必要がありました。
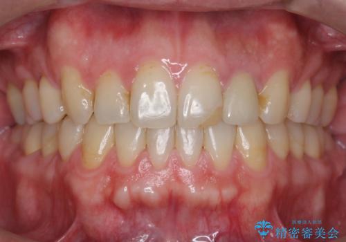
矯正治療と補綴治療を全て行うことで、特にすれ違い咬合の咬合状態をよくすることができました。
ワイヤー矯正の注意事項(リスク・副作用など)
- 治療中は違和感や痛みが起こることがあります
- 症状により、抜歯が必要な場合があります
- 治療中は歯磨きがしにくくなるため、虫歯や歯周病になりやすくなります
- 矯正治療後の保定が不十分だと後戻り(元の位置に戻ろうとする動き)をします
- 自費診療(保険適用外)となります
セラミック治療の注意事項(リスク・副作用など)
- 天然歯を削ります
- 硬い素材は天然歯を傷つけてしまう場合があります
- かみ合わせや歯ぎしりが強すぎる方はセラミックが割れてしまう可能性があります
- 自費診療(保険適用外治療)となります
当サイトの内容、テキスト、画像等の無断転載、複製、複写、盗用を固く禁じます。

























