症例詳細
Case detail
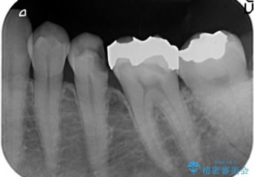
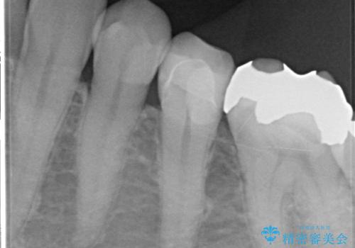
銀歯が外れ、内部に大きな虫歯の再発
治療症例の内容
- 診療科目
- 治療カテゴリ
- 担当医
- 大元洋佑(ドクタープロフィール)
- 患者様
- 50代女性
- 治療期間
- 1ヶ月
- 治療回数
- 2-5回
- 治療計画
- 20年ほど前に治療した虫歯が脱離し、内部には大きな虫歯が認められました。
神経を保存できるよう丁寧に虫歯を除去し、セラミックによる機能回復を計画します。
- 費用(概算)
- 8万円(仮歯・エコノミーemaxクラウン)費用は治療当時の料金となります
虫歯治療について
老朽化した銀歯の下には虫歯の再発リスクが潜んでいます。定期的なX線写真検査が早期発見に有効です。
セラミック治療の注意事項(リスク・副作用など)
- 天然歯を削ります
- 硬い素材は天然歯を傷つけてしまう場合があります
- かみ合わせや歯ぎしりが強すぎる方はセラミックが割れてしまう可能性があります
- 自費診療(保険適用外治療)となります
当サイトの内容、テキスト、画像等の無断転載、複製、複写、盗用を固く禁じます。






