症例詳細
Case detail
発見の難しい虫歯。根管治療から被せもの治療
治療症例の内容
- 担当医
- 河口智英(ドクタープロフィール)
- 患者様
- 40代女性
- 治療期間
- 3ヶ月
- 治療回数
- 2-5回
- 治療計画
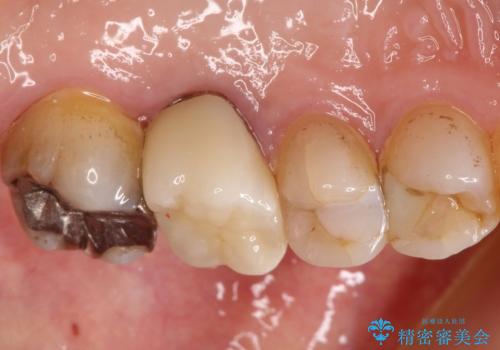
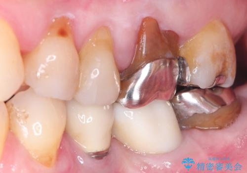
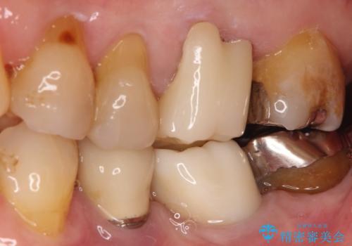
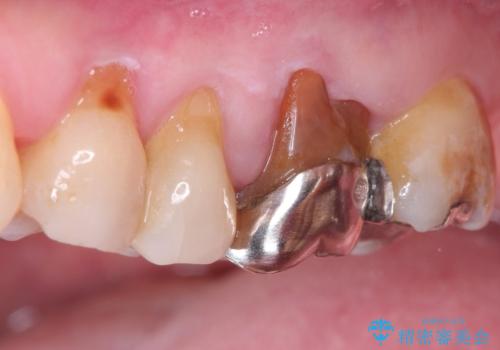
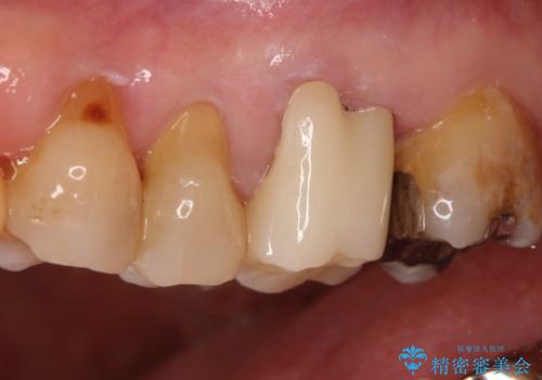
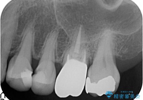
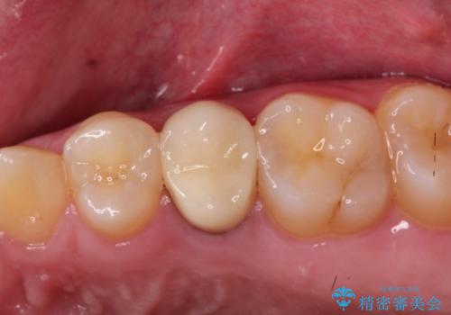
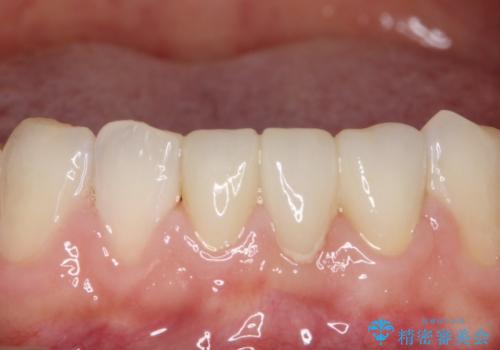
- 定期検診にて被せものと歯との隙間に虫歯を発見した患者様です。
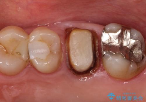
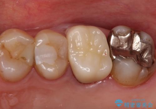
根管治療から被せもの治療(ベレッツァ)まで行いました。(根管治療は林院長に依頼)
- 費用(概算)
- 10万円(根管治療は別途)費用は治療当時の料金となります
治療について
妥協せずにすべての治療を行うことで最終的な被せものの適合を高める事ができます。
セラミック治療の注意事項(リスク・副作用など)
- 天然歯を削ります
- 硬い素材は天然歯を傷つけてしまう場合があります
- かみ合わせや歯ぎしりが強すぎる方はセラミックが割れてしまう可能性があります
- 自費診療(保険適用外治療)となります
当サイトの内容、テキスト、画像等の無断転載、複製、複写、盗用を固く禁じます。











