症例詳細
Case detail
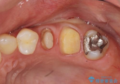
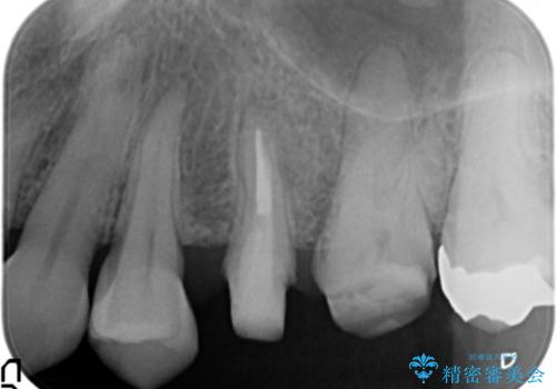
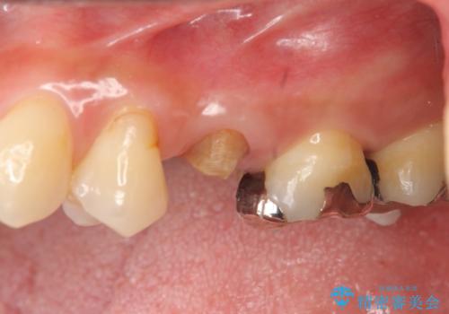
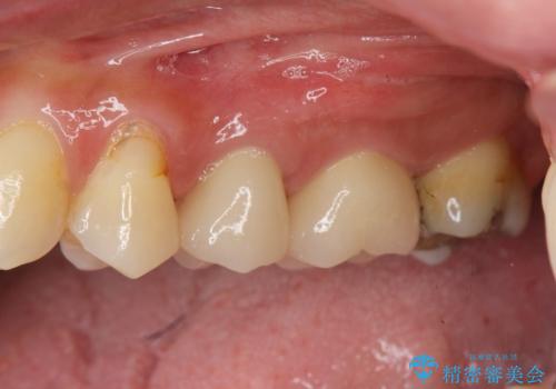
放置し崩壊した歯 セラミック治療による咬合機能回復
治療症例の内容
- 担当医
- 大元洋佑(ドクタープロフィール)
- 患者様
- 40代女性
- 治療期間
- 3ヶ月
- 治療回数
- 2-5回
- 治療計画
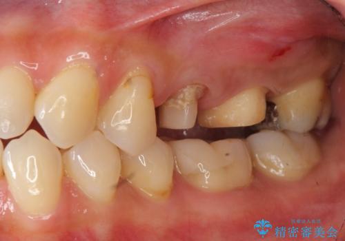
- 忙しくて歯科医院に通えず、ついに歯が折れてしまい治療を希望され来院されました。
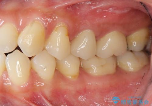
虫歯を丁寧に除去したのち、なんとか歯を残せる見通しがたったので根管治療を行いセラミック補綴を行いました。
- 費用(概算)
- 24万円(仮歯×2・ファイバーコア・ジルコニアクラウン×2)費用は治療当時の料金となります
虫歯治療について
虫歯は放置すると最悪抜歯に至る進行性の病気です。
今回は歯を残すことができましたが、早期の治療が歯の長い予後の期待値をあげます。
セラミック治療の注意事項(リスク・副作用など)
- 天然歯を削ります
- 硬い素材は天然歯を傷つけてしまう場合があります
- かみ合わせや歯ぎしりが強すぎる方はセラミックが割れてしまう可能性があります
- 自費診療(保険適用外治療)となります
当サイトの内容、テキスト、画像等の無断転載、複製、複写、盗用を固く禁じます。












