症例詳細
Case detail
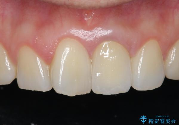
[ジルコニアクラウン] 前歯をきれいに
治療症例の内容
- 診療科目
- 治療カテゴリ
- 担当医
- 大元洋佑(ドクタープロフィール)
- 患者様
- 30代男性
- 治療期間
- 2ヶ月
- 治療回数
- 2-5回
- 治療計画
- 幼少時に行った前歯の治療、経年的に劣化し審美面の改善を求めて来院されました。
長期的な予後を見込むために、根管治療のやり直しから計画します。
- 費用(概算)
- 13万円(仮歯・ファイバーコア・ジルコニアクラウン)費用は治療当時の料金となります
ジルコニアクラウンについて
ジルコニアクラウンは色調を合わせることができるため、周囲の歯の色に調和し審美的な仕上がりを期待することができます。
セラミック治療の注意事項(リスク・副作用など)
- 天然歯を削ります
- 硬い素材は天然歯を傷つけてしまう場合があります
- かみ合わせや歯ぎしりが強すぎる方はセラミックが割れてしまう可能性があります
- 自費診療(保険適用外治療)となります
当サイトの内容、テキスト、画像等の無断転載、複製、複写、盗用を固く禁じます。

![[ジルコニアクラウン] 前歯をきれいにの治療前](https://seimitsushinbi.jp/wp/wp-content/uploads/2020/06/18e0ff5be30282bb094ab9c221c19840-500x350.jpg?v=1591843888)
![[ジルコニアクラウン] 前歯をきれいにの治療中](https://seimitsushinbi.jp/wp/wp-content/uploads/2020/06/a191b0e0b7a44ab302512fe1fa336b70-1-500x350.jpg?v=1591843910)
![[ジルコニアクラウン] 前歯をきれいにの治療後](https://seimitsushinbi.jp/wp/wp-content/uploads/2020/06/ef4d4d64f03167e361d24b9fad6e6d6e-500x350.jpg?v=1591843776)
![[ジルコニアクラウン] 前歯をきれいにの治療前](https://seimitsushinbi.jp/wp/wp-content/uploads/2020/06/CI2-6-500x350.jpg?v=1591843680)
![[ジルコニアクラウン] 前歯をきれいにの治療中](https://seimitsushinbi.jp/wp/wp-content/uploads/2020/06/fea143836f6174835f3b1e7d3d225abf-500x350.jpg?v=1591843907)
![[ジルコニアクラウン] 前歯をきれいにの治療後](https://seimitsushinbi.jp/wp/wp-content/uploads/2020/06/CI7-500x350.jpg?v=1591843686)
![[ジルコニアクラウン] 前歯をきれいにの治療前](https://seimitsushinbi.jp/wp/wp-content/uploads/2020/06/65139692d29b827a8828e00dbd0f7039-500x350.jpg?v=1591843891)
![[ジルコニアクラウン] 前歯をきれいにの治療中](https://seimitsushinbi.jp/wp/wp-content/uploads/2020/06/CI3-5-500x350.jpg?v=1591843683)
![[ジルコニアクラウン] 前歯をきれいにの治療後](https://seimitsushinbi.jp/wp/wp-content/uploads/2020/06/c3083251288f6210a14599b49d807642-500x350.jpg?v=1591843773)
![[ジルコニアクラウン] 前歯をきれいにの治療前](https://seimitsushinbi.jp/wp/wp-content/uploads/2020/06/76dc8dc492d60634847eabc7a561f127-500x350.jpg?v=1591843884)
![[ジルコニアクラウン] 前歯をきれいにの治療中](https://seimitsushinbi.jp/wp/wp-content/uploads/2020/06/CI5-5-500x350.jpg?v=1591843685)
![[ジルコニアクラウン] 前歯をきれいにの治療後](https://seimitsushinbi.jp/wp/wp-content/uploads/2020/06/dfeb693d4d4a52c9e2f574d2115bae46-500x350.jpg?v=1591843780)
![[ジルコニアクラウン] 前歯をきれいにの治療前](https://seimitsushinbi.jp/wp/wp-content/uploads/2020/06/9b2379b08aced17b65843d4afa26a9fc-500x350.jpg?v=1591843879)
![[ジルコニアクラウン] 前歯をきれいにの治療後](https://seimitsushinbi.jp/wp/wp-content/uploads/2020/06/9d8203a1edaa051ab5497a84566240f2-500x350.jpg?v=1591843783)
![[ジルコニアクラウン] 前歯をきれいにの治療前](https://seimitsushinbi.jp/wp/wp-content/uploads/2020/06/23b9431f54973a98b337adbfd7b272c1-500x350.jpg?v=1591843895)
![[ジルコニアクラウン] 前歯をきれいにの治療後](https://seimitsushinbi.jp/wp/wp-content/uploads/2020/06/09ae9ee052fd3b6382ec18ac41ff1cc7-500x350.jpg?v=1591843787)
![[ジルコニアクラウン] 前歯をきれいにの治療前](https://seimitsushinbi.jp/wp/wp-content/uploads/2020/06/377457606c87b49716a7e2d58bf40ecc-500x350.jpg?v=1591843901)
![[ジルコニアクラウン] 前歯をきれいにの治療後](https://seimitsushinbi.jp/wp/wp-content/uploads/2020/06/d230823eb8c15427ac850e11148c5f53-500x350.jpg?v=1591843791)