症例詳細
Case detail
抜歯されたままの奥歯 ストローマンインプラントによる欠損補綴治療
治療症例の内容
- 担当医
- 藤巻太一朗(ドクタープロフィール)
- 患者様
- 30代女性
- 治療期間
- 3ヶ月
- 治療回数
- 5-10回
- 治療計画
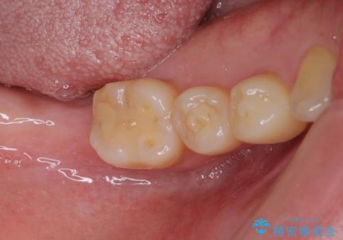
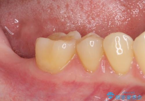
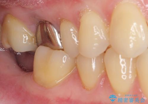
- 抜歯してから放置されている右下の奥歯へのインプラント治療を希望して来院された患者様です。
世界中で高い信頼を得ているストローマンインプラントを用いて治療を行うこととしました。
- 費用(概算)
- 治療費の目安: 33万円費用は治療当時の料金となります
治療について
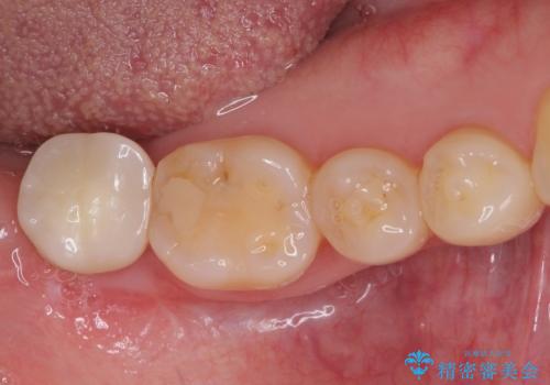
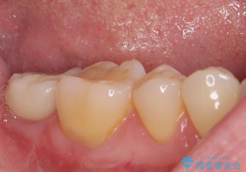
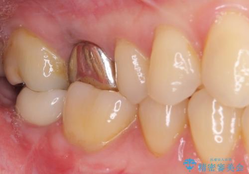
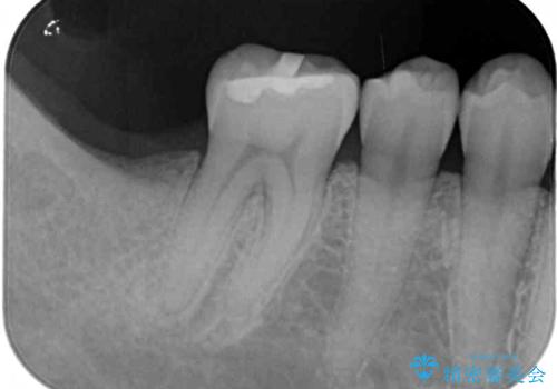
ストローマン社のSLActiveというインプラントを使用し、インプラント埋入からクラウンが装着されるまで3ヶ月弱という短期間で終えることができました。
咬み心地はもちろん、清掃性もご自分の歯とほとんど変わらない状態となり、患者様には大変満足していただきました。
セラミック治療の注意事項(リスク・副作用など)
- 天然歯を削ります
- 硬い素材は天然歯を傷つけてしまう場合があります
- かみ合わせや歯ぎしりが強すぎる方はセラミックが割れてしまう可能性があります
- 自費診療(保険適用外治療)となります
インプラント治療の注意事項(リスク・副作用など)
- 外科手術のため、術後に痛みや腫れ、違和感を伴います
- メンテナンスを怠ったり喫煙により、お口の中に大きな悪影響を及ぼすインプラント周囲炎等にかかる可能性があります
- 糖尿病、肝硬変、心臓病等の場合、インプラント治療ができない可能性があります
- 高血圧、貧血・不整脈等の場合、インプラント治療後に治癒不全を招く可能性があります
- 自費診療(保険適用外治療)となります
当サイトの内容、テキスト、画像等の無断転載、複製、複写、盗用を固く禁じます。











