症例詳細
Case detail
抜歯矯正の後戻り インビザラインによる再矯正治療
治療症例の内容
- 診療科目
- 担当医
- 藤巻太一朗(ドクタープロフィール)
- 患者様
- 30代女性
- 矯正装置
- インビザライン
- 治療期間
- 1年8ヶ月
- 治療回数
- 10-30回
- 治療計画
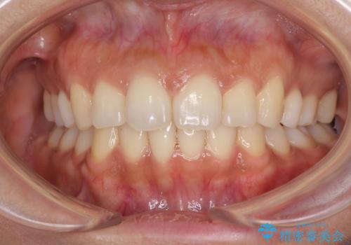
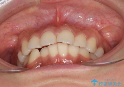
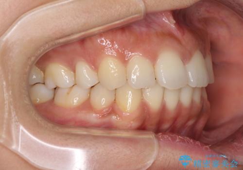
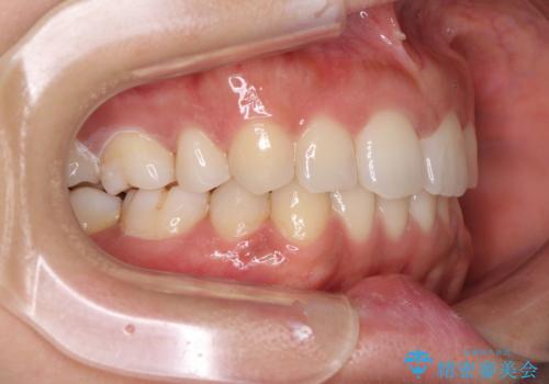
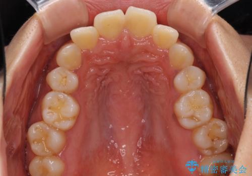
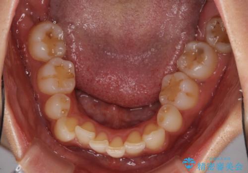
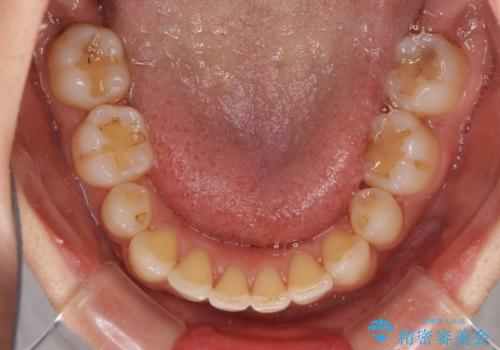
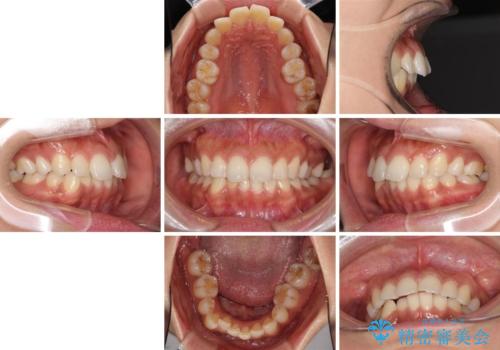
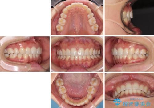
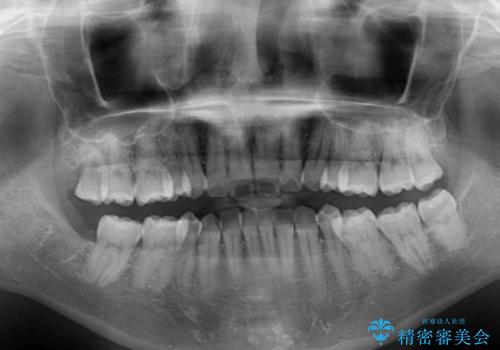
- 以前矯正治療をされていましたが、後戻りが起きたことを気にして来院された患者様です。
全顎的に認められた叢生を改善するため、インビザラインにて治療を行うこととしました。
前歯の叢生の改善を目的として、IPR(歯と歯の間を削る)と歯列全体の後方移動によって歯並びを整えることとしました。
- 費用(概算)
- 治療費の目安: 75万円費用は治療当時の料金となります
治療について
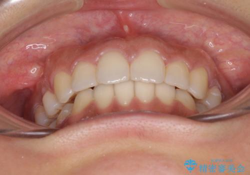
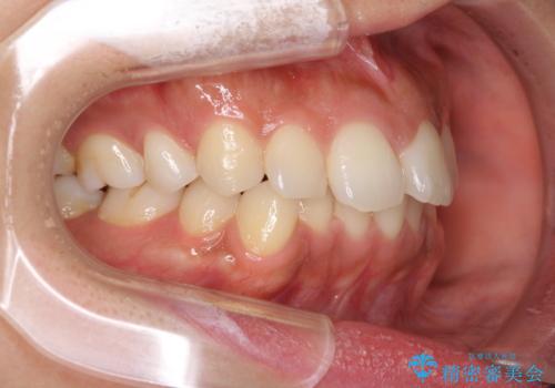
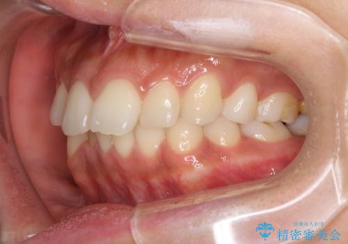
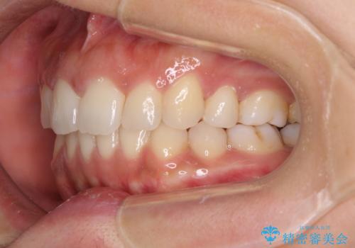
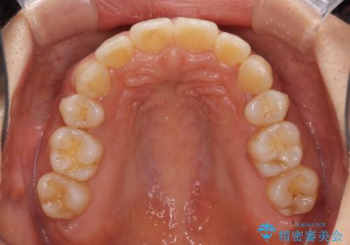
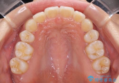
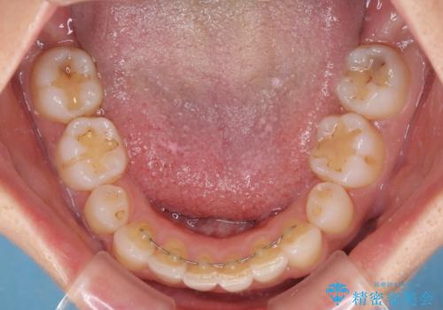
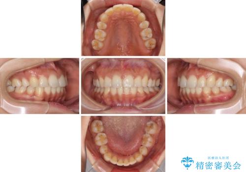
毎日22時間の装着時間を守ってくださいましたが、ハイペースにマウスピースを交換することなく、慎重に治療を進めてくださったので、治療期間はやや長くなりました。
臼歯部も含め、叢生が綺麗に改善され、患者様には大変満足していただきました。
マウスピース矯正の注意事項(リスク・副作用など)
- 口腔内・歯並びの状態によっては対応できない場合があります
- マウスピース型矯正装置の長時間装着(1日20時間以上)が必須です
- 治療計画通りに進めるためには、患者様の意志が重要になります
- 矯正治療後の保定が不十分だと後戻り(元の位置に戻ろうとする動き)をします
- 薬機法対象外の矯正歯科装置のため医薬品副作用被害救済制度の対象外となる場合があります
- 自費診療(保険適用外)となります
当サイトの内容、テキスト、画像等の無断転載、複製、複写、盗用を固く禁じます。


























