症例詳細
Case detail
歯ぐきからの出血 膿が出る 前歯根管・セラミック治療
治療症例の内容
- 担当医
- 大元洋佑(ドクタープロフィール)
- 患者様
- 40代男性
- 治療期間
- 2ヶ月
- 治療回数
- 2-5回
- 治療計画
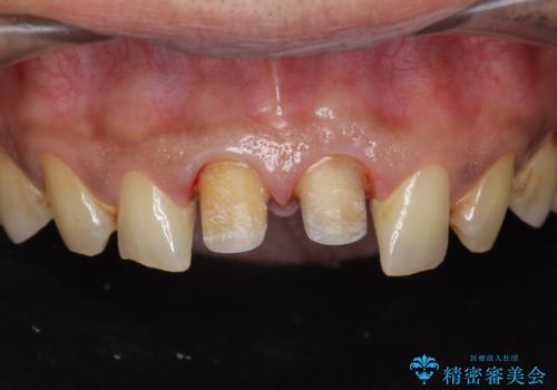
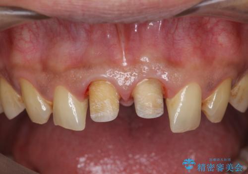
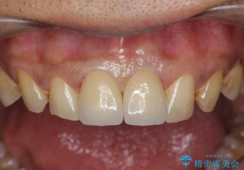
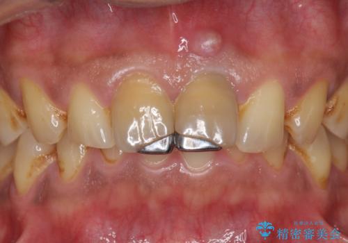
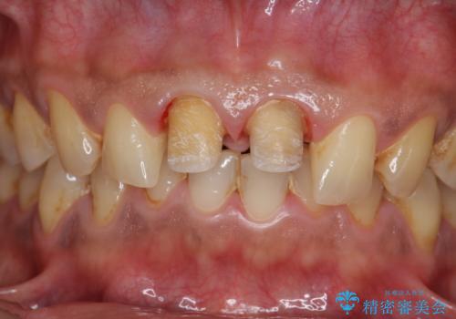
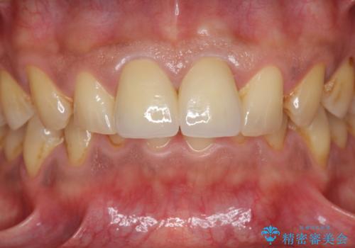
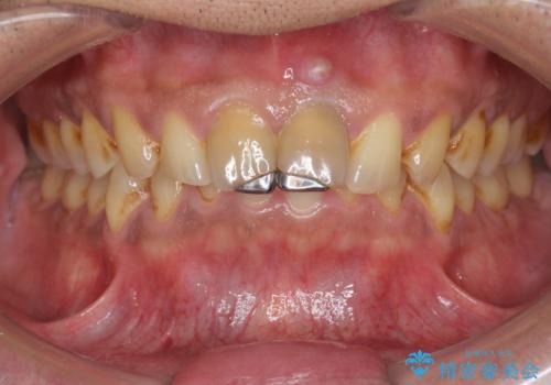
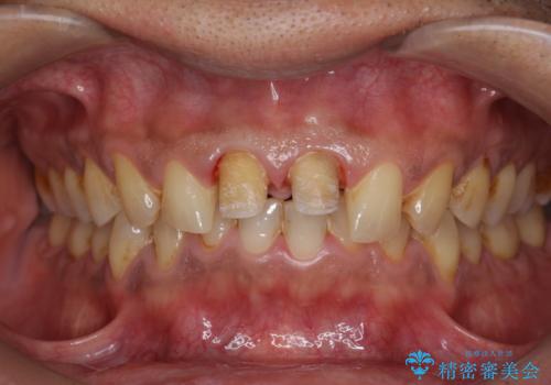
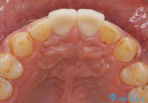
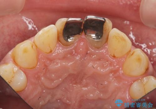
- 体調により前歯部の歯ぐきから出血や膿が出ることの改善を求めて来院されました。
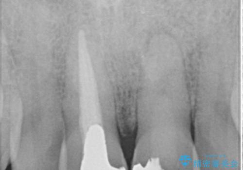
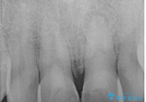
X線写真より、根尖部に透過像が認められ根管治療・ファイバーコア築盛・セラミッククラウンの作製が必要な状態です。
- 費用(概算)
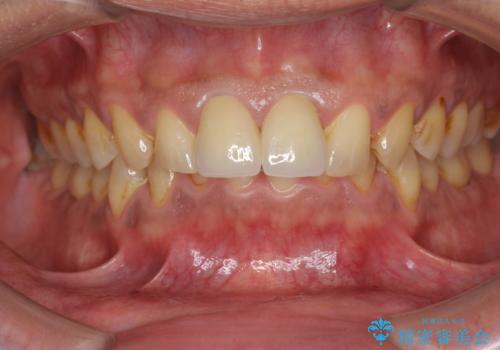
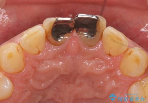
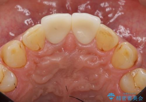
- 46万円(仮歯・根管治療・ファイバーコア・ジルコニアクラウン×2)費用は治療当時の料金となります
歯ぐきからの出血・排膿について
歯ぐきからの出血・排膿がある場合、根管内の感染や 歯肉炎・歯の破折などが考えられます。
X線検査や歯周組織検査などを行い適切な治療を行うことで良好な結果を得ることができます。
根管治療の注意事項(リスク・副作用など)
- 根管治療により類似の全ての症例の問題が解決するわけではなく、症例はあくまでも一例です
- 根管治療により痛みや腫れがひかない事や、術後に痛みや腫れが生じる事、治療によるファイル破折やパーフォレーションなどの偶発症、術後の歯根破折を生じる可能性もあります
- 自費診療(保険適用外)となります
セラミック治療の注意事項(リスク・副作用など)
- 天然歯を削ります
- 硬い素材は天然歯を傷つけてしまう場合があります
- かみ合わせや歯ぎしりが強すぎる方はセラミックが割れてしまう可能性があります
- 自費診療(保険適用外治療)となります
当サイトの内容、テキスト、画像等の無断転載、複製、複写、盗用を固く禁じます。

























