症例詳細
Case detail
歯の欠損を放置 オールセラミックブリッジによる補綴治療
治療症例の内容
- 診療科目
- 治療カテゴリ
- 担当医
- 藤巻太一朗(ドクタープロフィール)
- 患者様
- 50代女性
- 治療期間
- 4ヶ月
- 治療回数
- 2-5回
- 治療計画
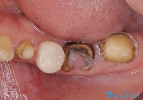
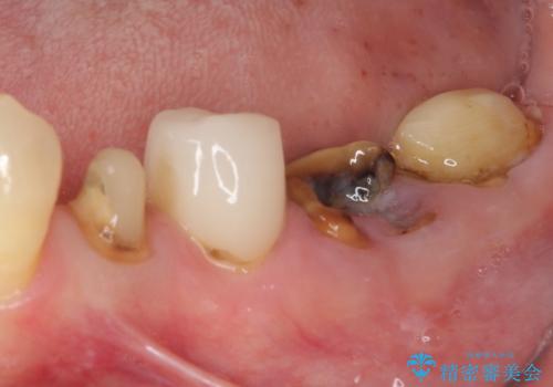
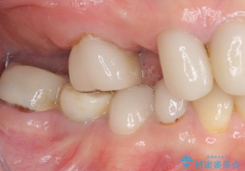
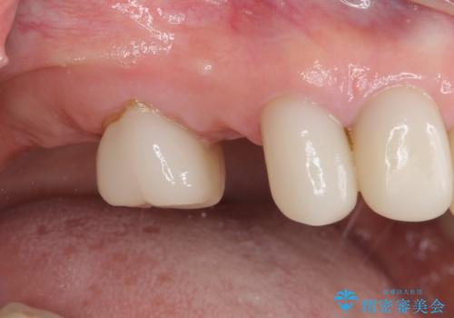
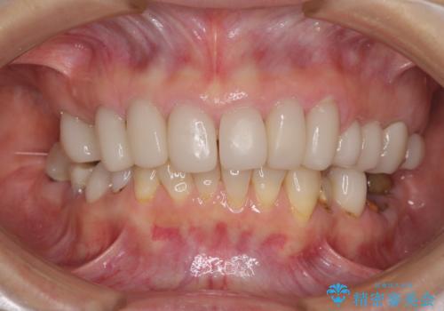
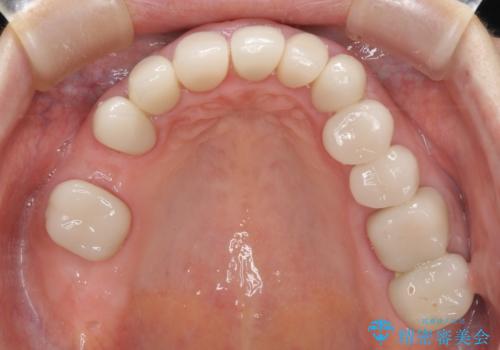
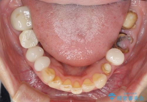
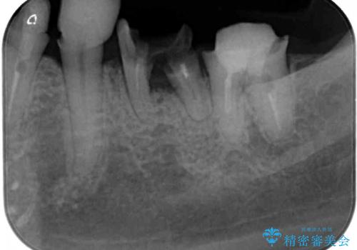
- 虫歯や歯の欠損を放置していることを気にして来院された患者様です。
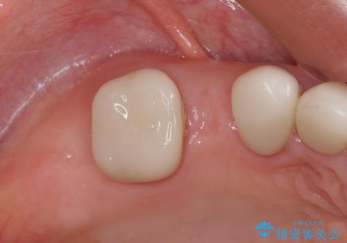
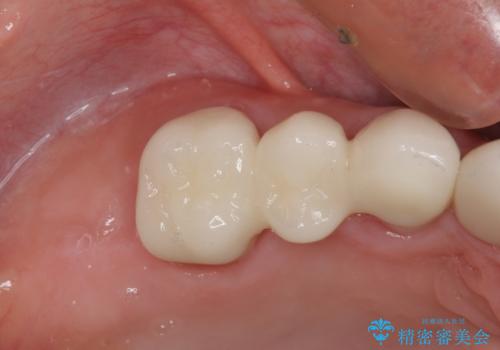
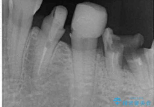
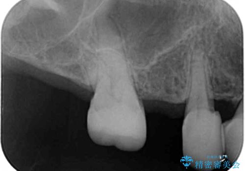
下顎には抜歯が必要な歯があったため、抜歯後に治癒を待ち、上顎とともにオールセラミックブリッジにて補綴治療を行うこととしました。
- 費用(概算)
- 治療費の目安: 80万円費用は治療当時の料金となります
治療について
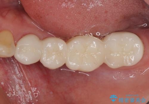
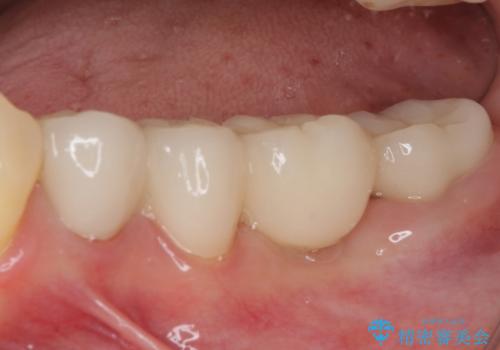
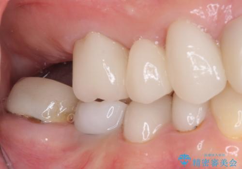
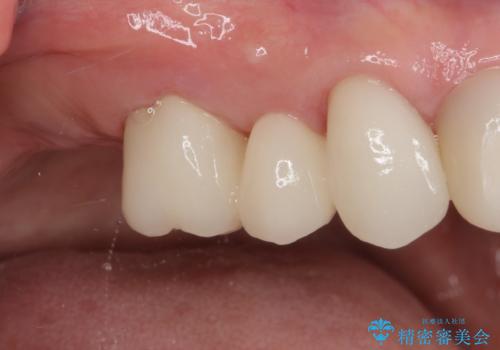
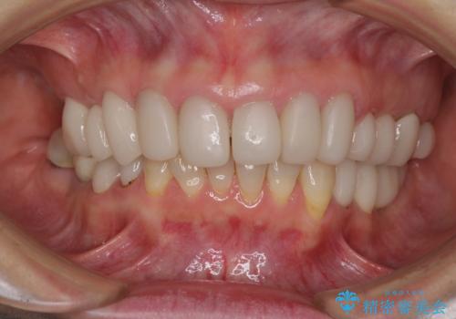
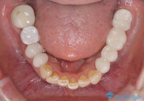
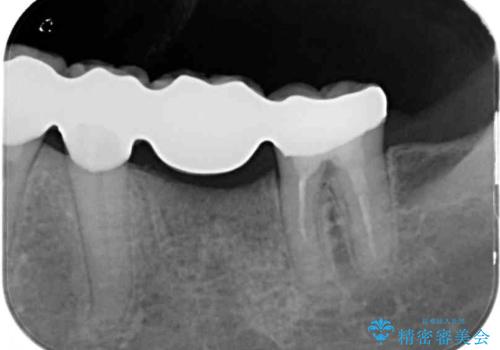
治療開始の日に欠損部も含めて仮歯が装着され、今までの不具合や不快感があっという間に改善されました。
抜歯部位の治癒を待つために時間がかかりましたが、来院回数は数回で済み、患者様には大変満足していただきました。
セラミック治療の注意事項(リスク・副作用など)
- 天然歯を削ります
- 硬い素材は天然歯を傷つけてしまう場合があります
- かみ合わせや歯ぎしりが強すぎる方はセラミックが割れてしまう可能性があります
- 自費診療(保険適用外治療)となります
当サイトの内容、テキスト、画像等の無断転載、複製、複写、盗用を固く禁じます。
























