症例詳細
Case detail
他院による虫歯治療(ドックスベストセメント)の再治療
治療症例の内容
- 診療科目
- 治療カテゴリ
- 担当医
- 河口智英(ドクタープロフィール)
- 患者様
- 30代女性
- 治療期間
- 1ヶ月
- 治療回数
- 2-5回
- 治療計画
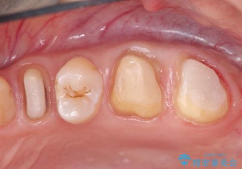
- 他院でドックスベストセメントによる治療を受けたが、痛みがあり、歯がかけたことを主訴に来院されました。ドックスベストセメントは虫歯を取りきらずに抗菌性のあるセメントを充填し最終修復をする治療法ですが、充填物の中で虫歯が広がる可能性もあります。今回のケースでは特に虫歯を除去できていないため強度が低下し破折を認めました。
当院の治療は虫歯を除去した後、オールセラミッククラウンによる修復治療を行いました。
- 費用(概算)
- 47万円(オールセラミッククラウン3本・仮歯3本)費用は治療当時の料金となります
治療について
虫歯をきちんと除去した状態で最終修復物を入れるため、再治療のリスクを減らす事ができます。
セラミック治療の注意事項(リスク・副作用など)
- 天然歯を削ります
- 硬い素材は天然歯を傷つけてしまう場合があります
- かみ合わせや歯ぎしりが強すぎる方はセラミックが割れてしまう可能性があります
- 自費診療(保険適用外治療)となります
当サイトの内容、テキスト、画像等の無断転載、複製、複写、盗用を固く禁じます。





