症例詳細
Case detail
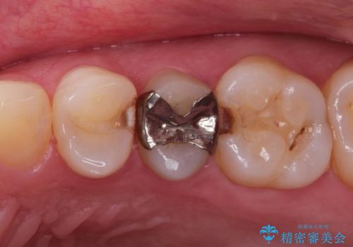
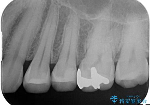
昔の詰め物のなかで広がる虫歯。セラミックインレー
治療症例の内容
- 診療科目
- 治療カテゴリ
- 担当医
- 河口智英(ドクタープロフィール)
- 患者様
- 20代女性
- 治療期間
- 1ヶ月
- 治療回数
- 2-5回
- 治療計画
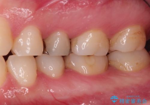
- 詰め物が取れたことを主訴に来院されました。
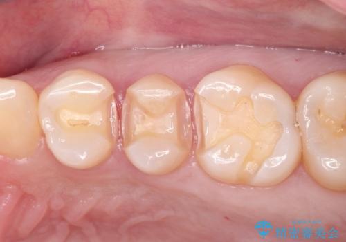
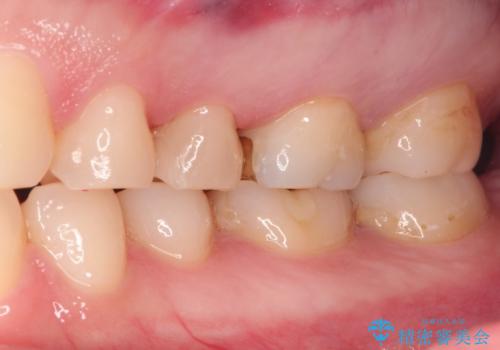
古い材料を除去すると中で虫歯が進行していたため、顕微鏡下で虫歯を除去した後セラミックインレー、PGAインレーにて修復治療を行いました。
- 費用(概算)
- 20万円費用は治療当時の料金となります
治療について
すべての処置で拡大鏡及び顕微鏡を用いるため高い精度で治療を行うことができます。
PGA(ゴールド)クラウン、インレーの注意事項(リスク・副作用など)
- インレーおよびクラウンは脱離するリスクがあります
- 形成量はセラミックより少ないですが、歯の形成、修復後に歯に症状が出ることがあります
- 自費診療(保険適用外治療)となります
セラミック治療の注意事項(リスク・副作用など)
- 天然歯を削ります
- 硬い素材は天然歯を傷つけてしまう場合があります
- かみ合わせや歯ぎしりが強すぎる方はセラミックが割れてしまう可能性があります
- 自費診療(保険適用外治療)となります
当サイトの内容、テキスト、画像等の無断転載、複製、複写、盗用を固く禁じます。









