症例詳細
Case detail
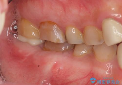
歯ぎしりによる異常に低い歯冠高径 歯周外科による解決
治療症例の内容
- 患者様
- 50代女性
- 治療期間
- 6ヶ月
- 治療回数
- 5-10回
- 治療計画
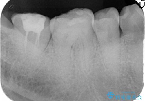
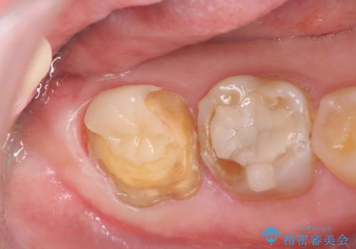
- 右下修復物の破損修復を希望され来院されました。
失活歯であるため根管治療ののちクラウン製作が治療計画として考えられますが長年のすり減りによりクラウン高径がほとんどなくてなってしまっている状態です。
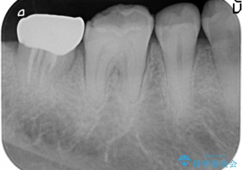
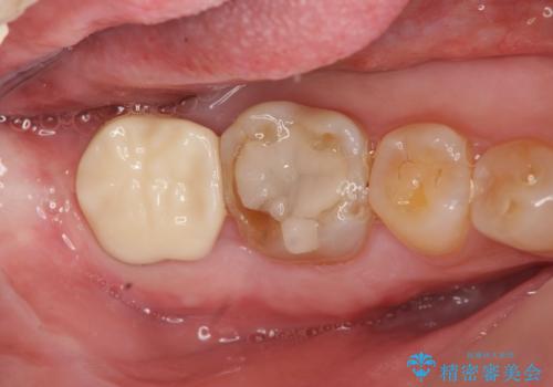
歯周外科を行い歯茎の位置を下げることで安定したクラウン製作ができる状態を目指します。
- 費用(概算)
- 30万円(根管治療・歯周外科・ファイバーコア・ジルコニアクラウン)費用は治療当時の料金となります
クラウン高径について
あまりにもクラウン高径が低いと、安定性が悪くなりセメントの溢出を招き虫歯の再発リスクを高めます。
セラミック治療の注意事項(リスク・副作用など)
- 天然歯を削ります
- 硬い素材は天然歯を傷つけてしまう場合があります
- かみ合わせや歯ぎしりが強すぎる方はセラミックが割れてしまう可能性があります
- 自費診療(保険適用外治療)となります
当サイトの内容、テキスト、画像等の無断転載、複製、複写、盗用を固く禁じます。











