症例詳細
Case detail
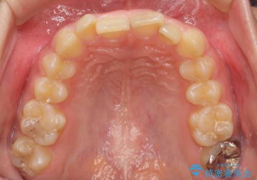
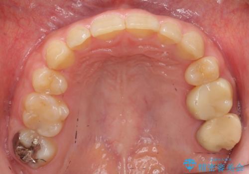
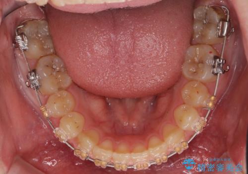
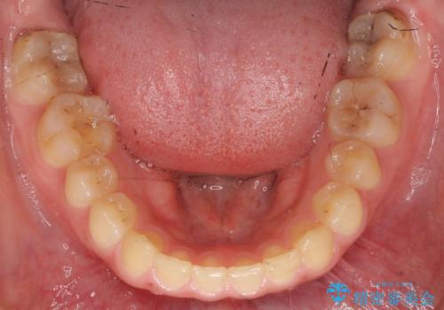
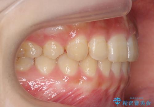
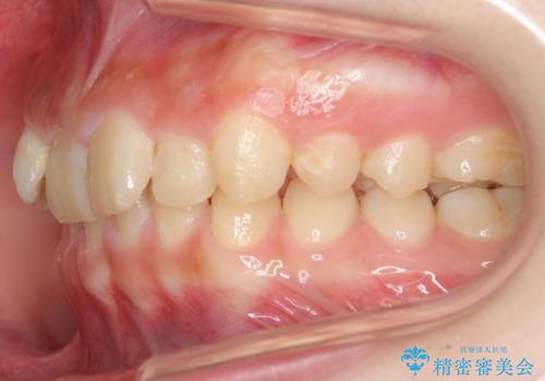
前歯のがたつき 過蓋咬合
治療症例の内容
- 診療科目
- 担当医
- 井上季実子(ドクタープロフィール)
- 患者様
- 20代女性
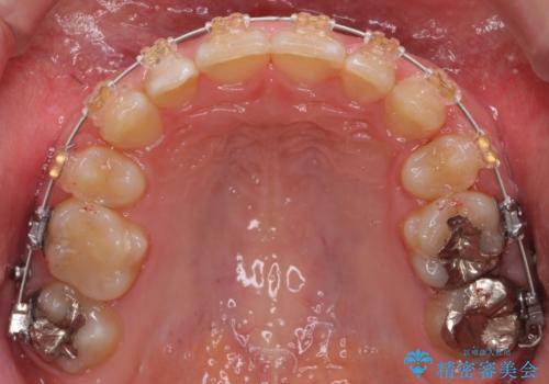
- 矯正装置
- 審美装置
- 治療期間
- 3年2ヶ月
- 治療回数
- 10-30回
- 治療計画
- 上の小臼歯を2本抜歯して矯正を行いました。
一般的には、抜歯を行うと前歯はより内側に倒れこむため、初めから内側に倒れ込んでいると矯正の難易度は上がります。
今回は上の前歯が内側に傾いている症状があり(Angle Ⅱ級2類)、その修正に時間がかかっています。
一見同じような歯並びに見えても、前歯の角度や、奥歯の上下の噛み合わせによって難易度には差があります。
- 費用(概算)
- 95万円費用は治療当時の料金となります
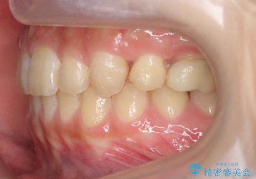
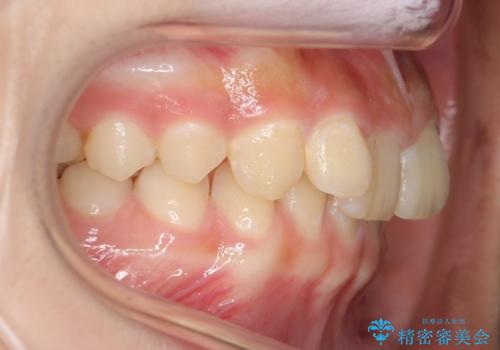
治療について
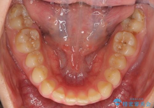
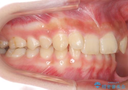
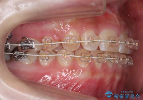
奥歯のかみ合わせが、歯と歯が向かい合わせになっておりまた、歯ぎしりも多い方で装置の脱離も頻繁にありました。
ワイヤー矯正ではやや難しい症例でした。
ご自身でしっかり装着しなければならないですが、非抜歯で上顎を遠心移動するのであれば、マウスピース矯正も有用な症例だと思います。ただし、右側の2級関係が厳しいため、遠心移動量がかなり大きくなりそうです。どう治すにしても時間がかかりそうな症状です。
ワイヤー矯正の注意事項(リスク・副作用など)
- 治療中は違和感や痛みが起こることがあります
- 症状により、抜歯が必要な場合があります
- 治療中は歯磨きがしにくくなるため、虫歯や歯周病になりやすくなります
- 矯正治療後の保定が不十分だと後戻り(元の位置に戻ろうとする動き)をします
- 自費診療(保険適用外)となります
当サイトの内容、テキスト、画像等の無断転載、複製、複写、盗用を固く禁じます。






















