症例詳細
Case detail
受け口の改善 歯を抜かずに矯正
治療症例の内容
- 患者様
- 20代女性
- 矯正装置
- 審美装置
- 治療期間
- 2年
- 治療回数
- 10-30回
- 治療計画
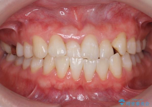
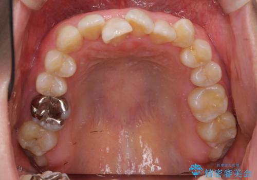
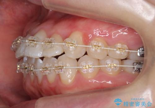
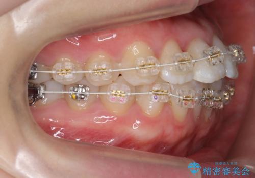
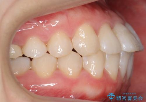
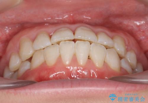
- 受け口を主訴に来院。
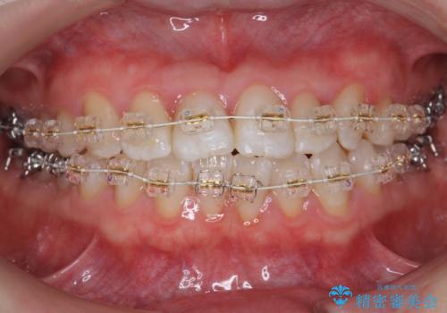
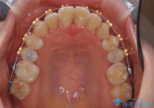
 ワイヤー矯正とインビザラインどちらでもとお話ししましたが、ワイヤー矯正を選択されました。
 前歯を入れ替えるには、ワイヤーの方が早いため、途中の噛めない時期は短くなり負担は少ないです。
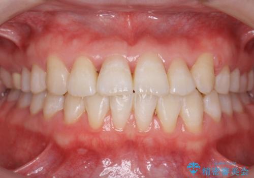
 骨格的に受け口であり、また非抜歯で治療を行なっているため、上の前歯はやや唇側傾斜しています。
- 費用(概算)
- 90万円費用は治療当時の料金となります
治療について
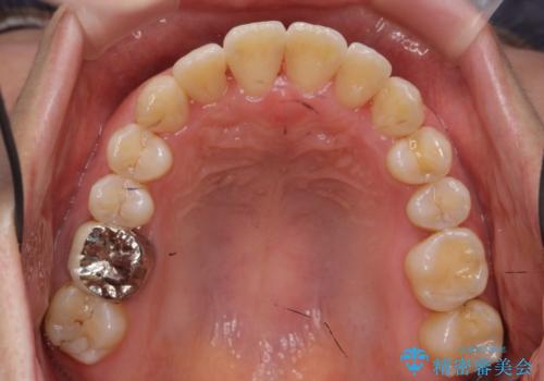
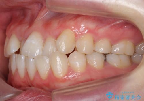
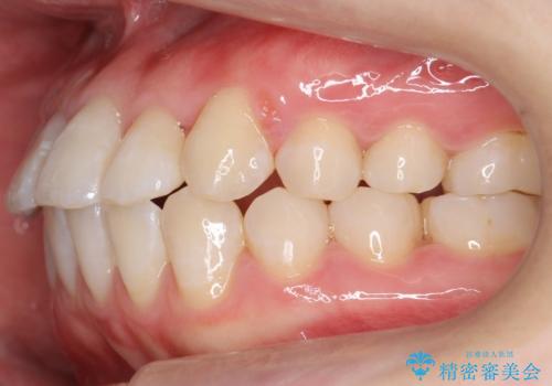
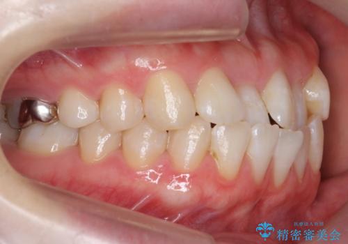
下唇の突き出た感じも改善されています。
将来前歯の虫歯治療をするとなると、矯正をしておかないと、かなり難しくなります。
見た目の問題だけではなく、将来の様々なリスクを軽減できるため、このような症状がある場合は早めの治療がおすすめです。
ワイヤー矯正の注意事項(リスク・副作用など)
- 治療中は違和感や痛みが起こることがあります
- 症状により、抜歯が必要な場合があります
- 治療中は歯磨きがしにくくなるため、虫歯や歯周病になりやすくなります
- 矯正治療後の保定が不十分だと後戻り(元の位置に戻ろうとする動き)をします
- 自費診療(保険適用外)となります
当サイトの内容、テキスト、画像等の無断転載、複製、複写、盗用を固く禁じます。








 
                       
                                                          


















 
                   
                   
                  