症例詳細
Case detail
矯正歯科治療と前歯の歯肉移植術
治療症例の内容
- 患者様
- 30代男性
- 矯正装置
- インビザライン
- 治療期間
- 1年7ヶ月
- 治療回数
- 10-30回
- 治療計画
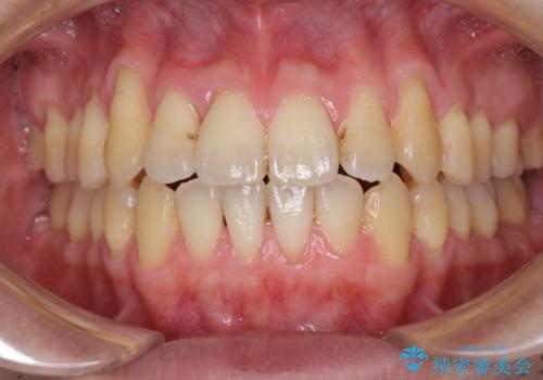
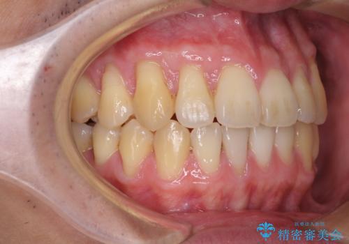
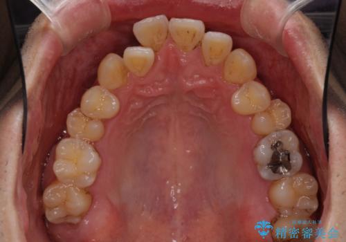
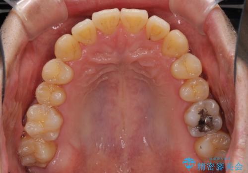
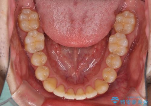
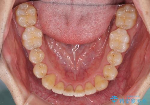
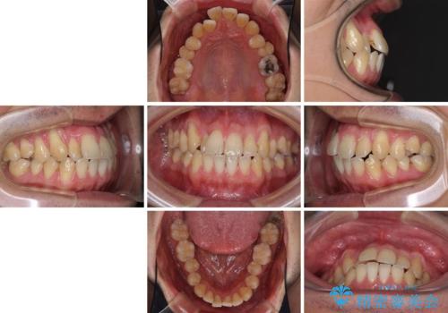
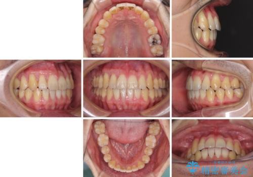
- 上下の前歯の反対咬合を気にして来院された患者様です。
インビザラインを用い、下顎はIPR(歯と歯の間を削る)と歯列全体を後方に移動させ、上顎は前歯を持ち上げることで、反対咬合を改善していくこととしました。
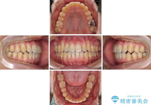
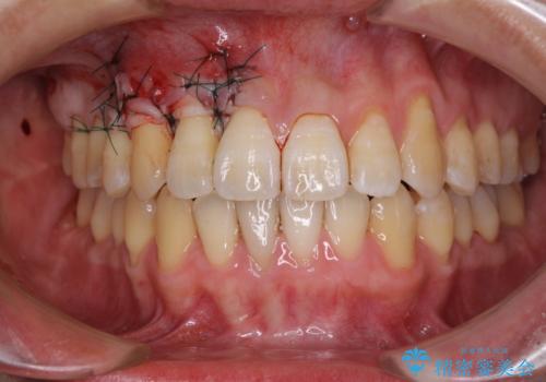
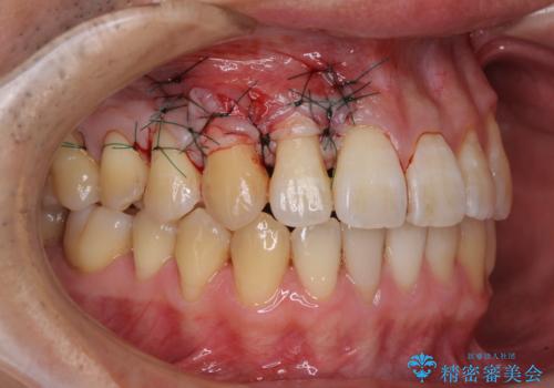
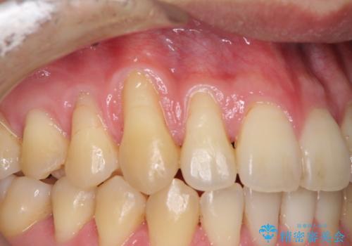
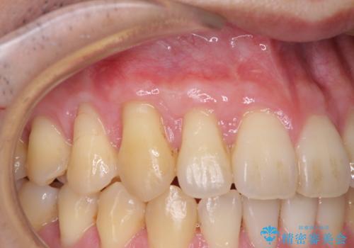
八重歯の歯根が見えている点も気になっているので、矯正歯科治療後に歯肉移植による根面被覆を行うこととしました。
- 費用(概算)
- 治療費の目安: 85万円費用は治療当時の料金となります
治療について
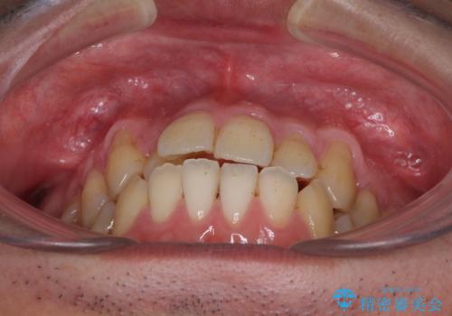
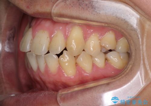
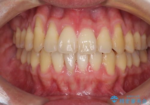
インビザラインによる反対咬合の改善は、上の歯が下の歯を乗り越えていく期間に咬み合わせが非常に不安定となり、治療が長期化することがあります。
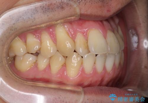
また、ワイヤー矯正と異なり歯軸改善の強い力を前歯にかけるため、反対咬合で裏側にある歯の歯肉が退縮しやすくなります。
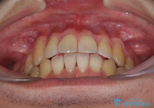
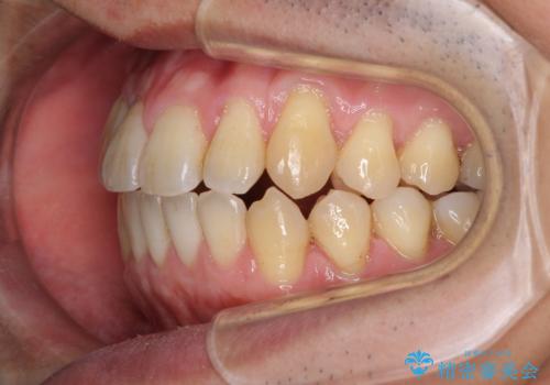
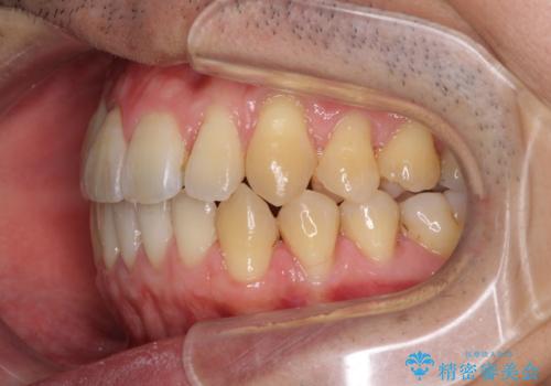
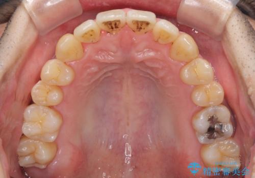
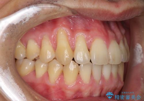
矯正治療により元々気になっていた八重歯と、反対咬合が改善された歯の2本に対して根面被覆を行い、審美面の改善も達成しました。
マウスピース矯正の注意事項(リスク・副作用など)
- 口腔内・歯並びの状態によっては対応できない場合があります
- マウスピース型矯正装置の長時間装着(1日20時間以上)が必須です
- 治療計画通りに進めるためには、患者様の意志が重要になります
- 矯正治療後の保定が不十分だと後戻り(元の位置に戻ろうとする動き)をします
- 薬機法対象外の矯正歯科装置のため医薬品副作用被害救済制度の対象外となる場合があります
- 自費診療(保険適用外)となります
歯周病治療の注意事項(リスク・副作用など)
- 外科手術のため、術後に痛みや腫れ、違和感を伴います
- 歯周組織再生治療は患者様の状態によって術後の経過が異なります(見た目が改善しない場合もあります)
- 歯周組織再生治療は自費診療(保険適用外)となります
当サイトの内容、テキスト、画像等の無断転載、複製、複写、盗用を固く禁じます。




































