症例詳細
Case detail
抜歯になった虫歯 奥歯のインプラント治療
治療症例の内容
- 担当医
- 藤巻太一朗(ドクタープロフィール)
- 患者様
- 40代女性
- 治療期間
- 6ヶ月
- 治療回数
- 5-10回
- 治療計画
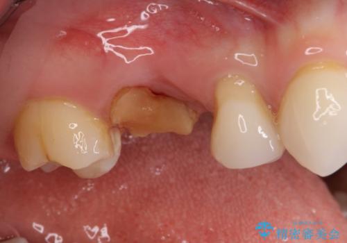
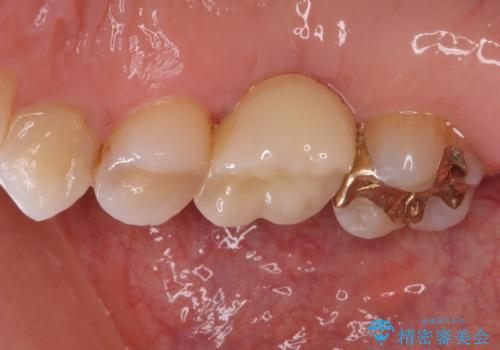
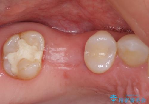
- 近医で奥歯の抜歯が必要であると指摘され、インプラント治療を希望して来院された患者様です。
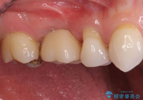
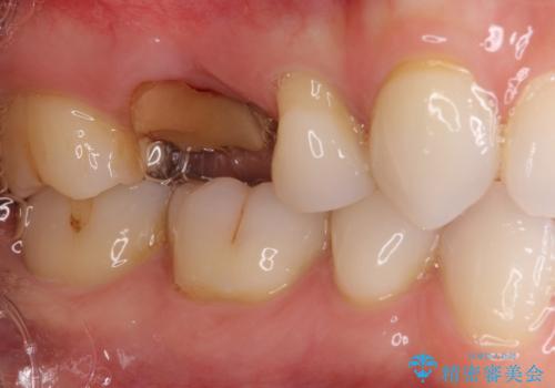
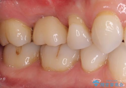
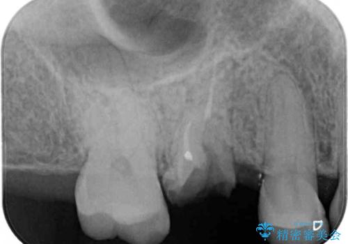
診察の結果、大きな虫歯となっている歯は抜歯が望ましく、抜歯後にストローマンSLActiveを埋入することとしました。
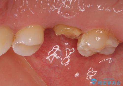
さらに後方の歯は虫歯治療が途中であったため、ゴールドインレーにて修復治療行うこととしました。
- 費用(概算)
- 治療費の目安: 45万円費用は治療当時の料金となります
治療について
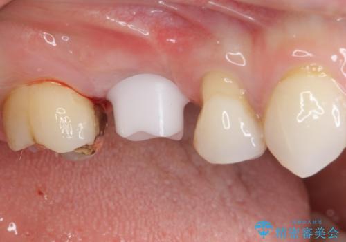
機能性と清掃性、更には審美性も考慮し、土台となるアバットメントにはジルコニアカスタムアバットメントを採用しました。
ジルコニアカスタムアバットメントは、歯肉ラインに金属が見えにくいというだけでなく、クラウンを装着する土台の形が天然歯と近い形態となるため、清掃性が高く歯肉が腫れにくいというメリットがあります。
インプラント治療の注意事項(リスク・副作用など)
- 外科手術のため、術後に痛みや腫れ、違和感を伴います
- メンテナンスを怠ったり喫煙により、お口の中に大きな悪影響を及ぼすインプラント周囲炎等にかかる可能性があります
- 糖尿病、肝硬変、心臓病等の場合、インプラント治療ができない可能性があります
- 高血圧、貧血・不整脈等の場合、インプラント治療後に治癒不全を招く可能性があります
- 自費診療(保険適用外治療)となります
セラミック治療の注意事項(リスク・副作用など)
- 天然歯を削ります
- 硬い素材は天然歯を傷つけてしまう場合があります
- かみ合わせや歯ぎしりが強すぎる方はセラミックが割れてしまう可能性があります
- 自費診療(保険適用外治療)となります
PGA(ゴールド)クラウン、インレーの注意事項(リスク・副作用など)
- インレーおよびクラウンは脱離するリスクがあります
- 形成量はセラミックより少ないですが、歯の形成、修復後に歯に症状が出ることがあります
- 自費診療(保険適用外治療)となります
当サイトの内容、テキスト、画像等の無断転載、複製、複写、盗用を固く禁じます。















