症例詳細
Case detail
目立つ銀歯をセラミックに
治療症例の内容
- 診療科目
- 治療カテゴリ
- 担当医
- 藤巻太一朗(ドクタープロフィール)
- 患者様
- 50代女性
- 治療期間
- 2ヶ月
- 治療回数
- 2-5回
- 治療計画
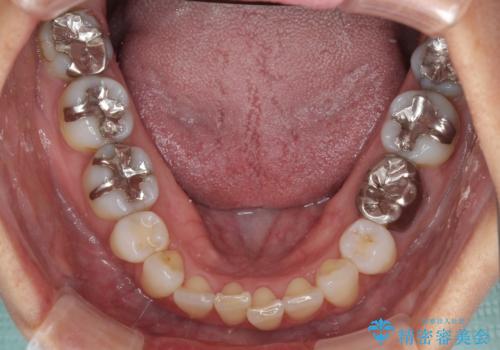
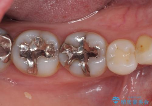
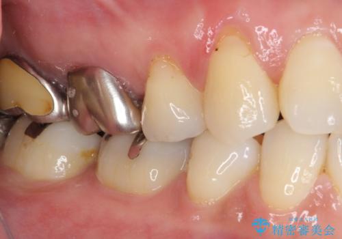
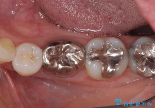
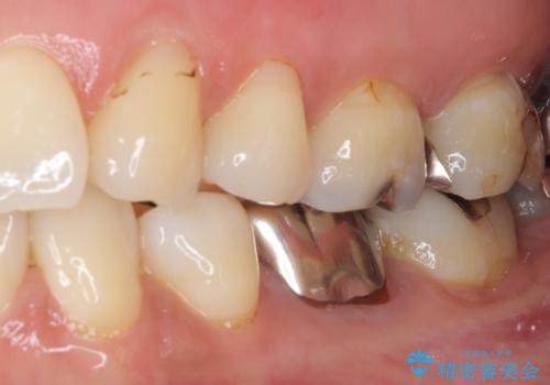
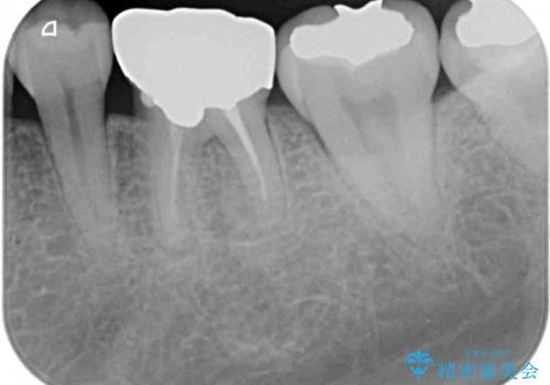
- 口を開けたときに目立ってしまう銀歯をセラミックに替えたいとのことで来院された患者様です。
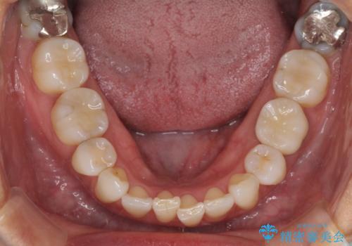
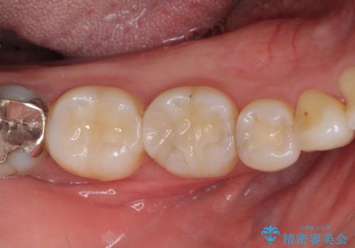
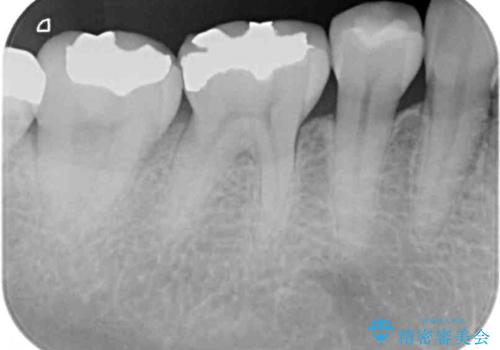
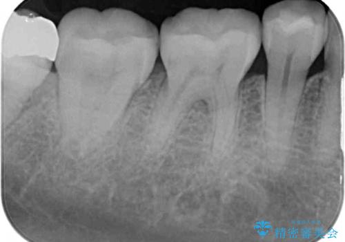
上顎や親知らずにも銀歯がありましたが、今回の治療では目立つ下顎の銀歯4歯をセラミッククラウンやセラミックインレーに置き換えることにしました。
- 費用(概算)
- 治療費の目安: 32万円費用は治療当時の料金となります
治療について
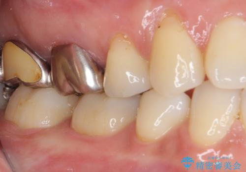
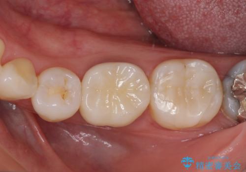
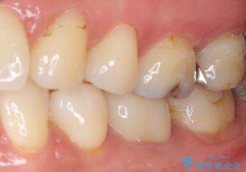
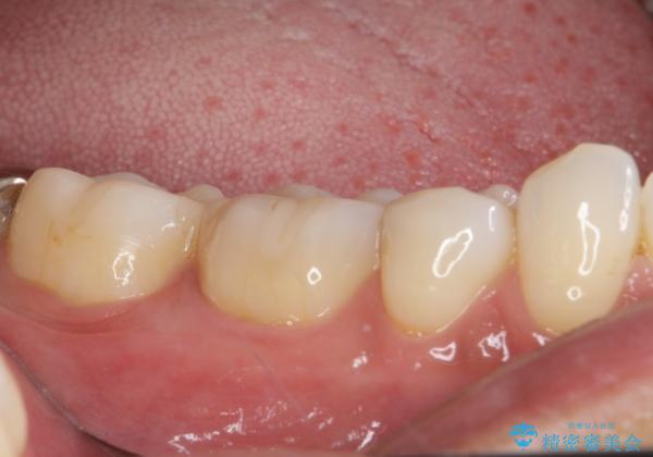
話をする度に相手の視線が銀歯に注がれている気がしているとのことでしたが、目立つ銀歯を自然な色合いに仕上げることができ、患者様には大変満足していただきました。
セラミック治療の注意事項(リスク・副作用など)
- 天然歯を削ります
- 硬い素材は天然歯を傷つけてしまう場合があります
- かみ合わせや歯ぎしりが強すぎる方はセラミックが割れてしまう可能性があります
- 自費診療(保険適用外治療)となります
当サイトの内容、テキスト、画像等の無断転載、複製、複写、盗用を固く禁じます。














