症例詳細
Case detail
留学前に矯正治療 目立たないワイヤー装置でのスピード矯正
治療症例の内容
- 診療科目
- 治療カテゴリ
- 担当医
- 藤巻太一朗(ドクタープロフィール)
- 患者様
- 20代女性
- 矯正装置
- 審美装置
- 治療期間
- 7ヶ月
- 治療回数
- 5-10回
- 治療計画
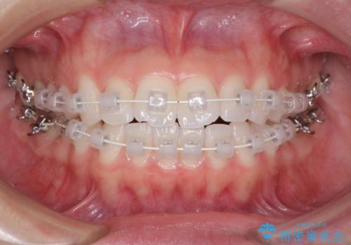
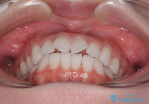
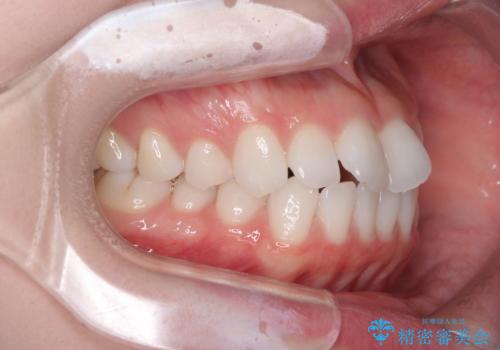
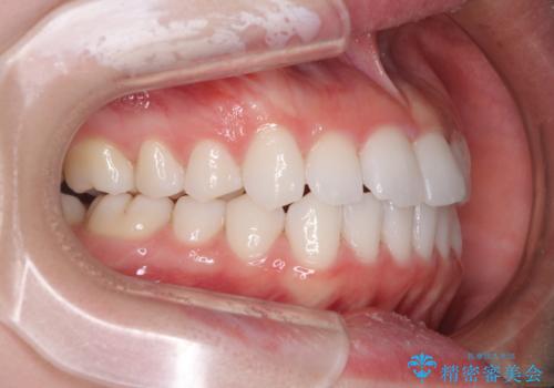
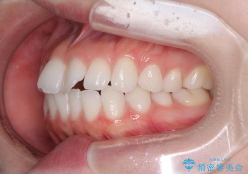
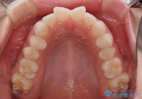
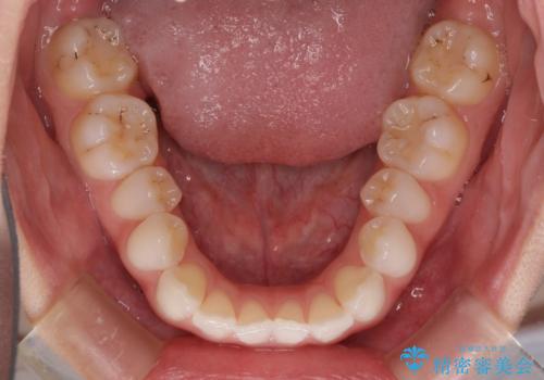
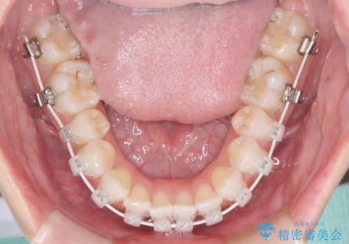
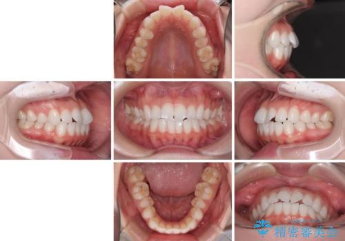
- 海外留学を前に上下のデコボコと奥歯の咬み合わせを改善したいとのことで来院された患者様です。
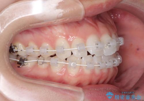
期間が限られていたため、ワイヤー装置による矯正治療を行うこととしました。
- 費用(概算)
- 治療費の目安: 75万円費用は治療当時の料金となります
治療について
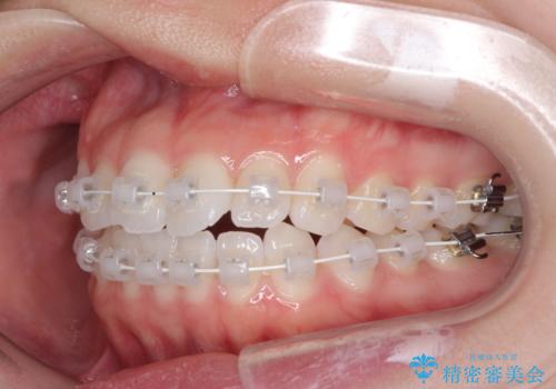
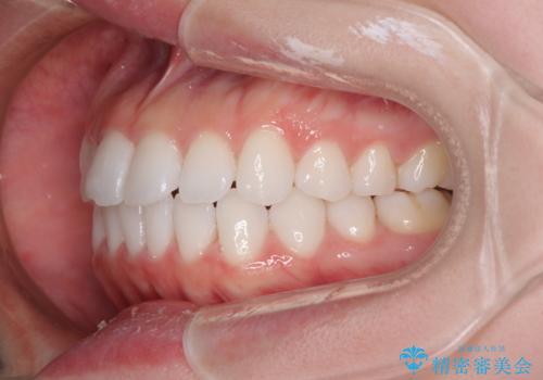
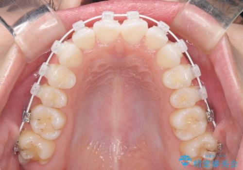
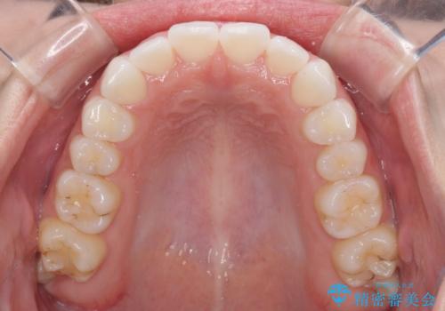
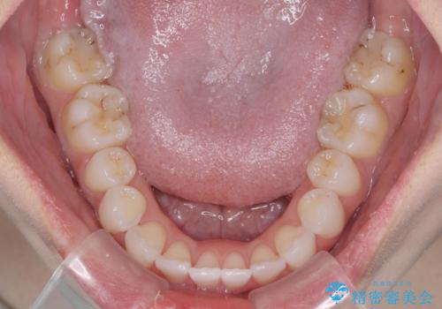
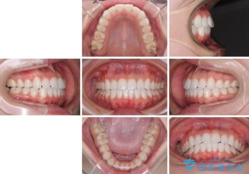
治療開始から4ヶ月ほどで概ね歯列が整い、その後の3ヶ月で細かい部分を仕上げていきました。
短期間で綺麗に仕上がり、患者様には大変満足していただきました。
ワイヤー矯正の注意事項(リスク・副作用など)
- 治療中は違和感や痛みが起こることがあります
- 症状により、抜歯が必要な場合があります
- 治療中は歯磨きがしにくくなるため、虫歯や歯周病になりやすくなります
- 矯正治療後の保定が不十分だと後戻り(元の位置に戻ろうとする動き)をします
- 自費診療(保険適用外)となります
当サイトの内容、テキスト、画像等の無断転載、複製、複写、盗用を固く禁じます。


























