症例詳細
Case detail
乳歯が残っている 目立たない装置での抜歯矯正
治療症例の内容
- 診療科目
- 担当医
- 藤巻太一朗(ドクタープロフィール)
- 患者様
- 10代女性
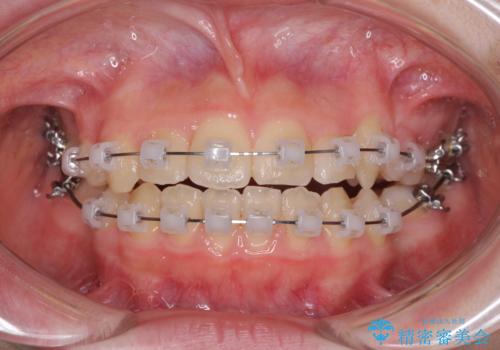
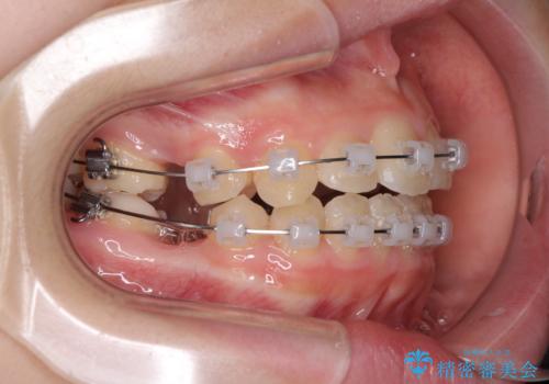
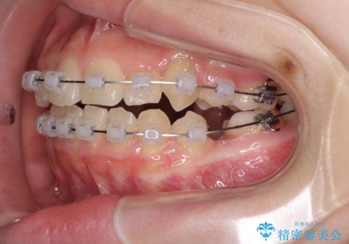
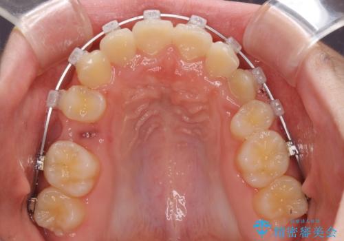
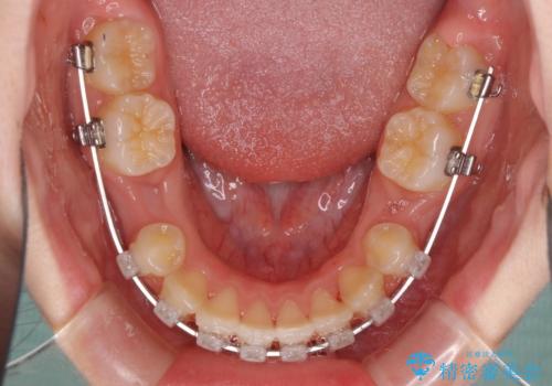
- 矯正装置
- クリアブラケット
- 治療期間
- 2年1ヶ月
- 治療回数
- 10-30回
- 治療計画
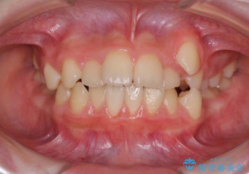
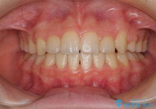
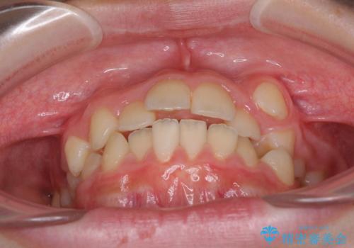
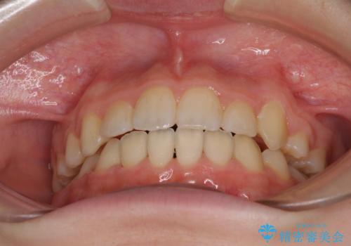
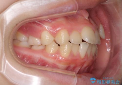
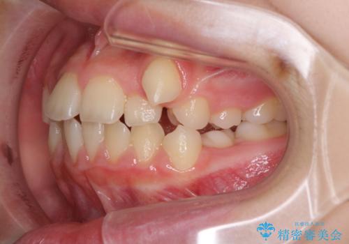
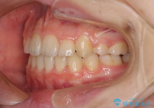
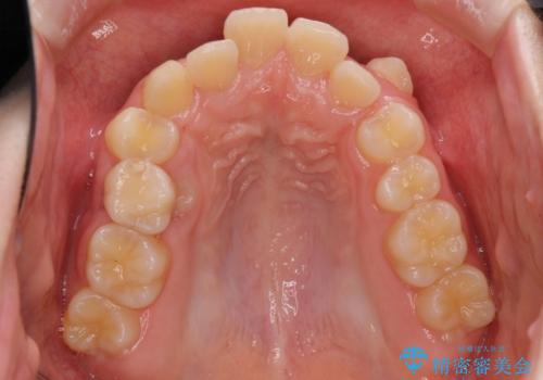
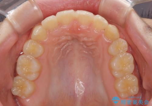
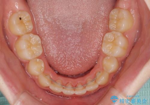
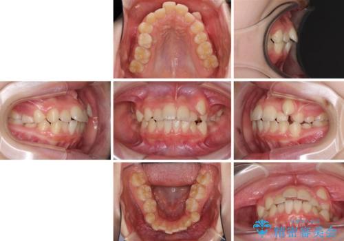
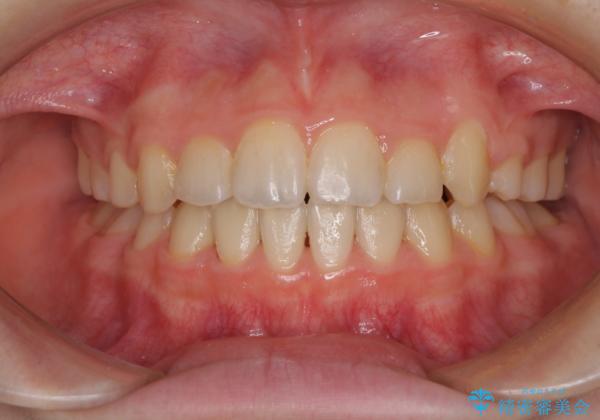
- 八重歯と乳歯が残っていることを気にして来院された患者様です。
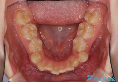
乳歯が3歯残っており、下顎は左右ともに後続永久歯がない状態でした。
口元が突出しており、口が閉じにくかったため、乳歯を含め上下5歯を抜歯して矯正治療を行うこととしました。
- 費用(概算)
- 治療費の目安: 90万円費用は治療当時の料金となります
治療について
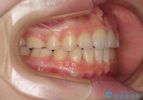
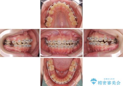
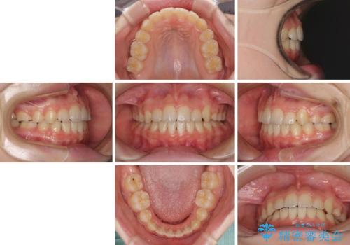
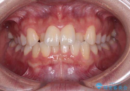
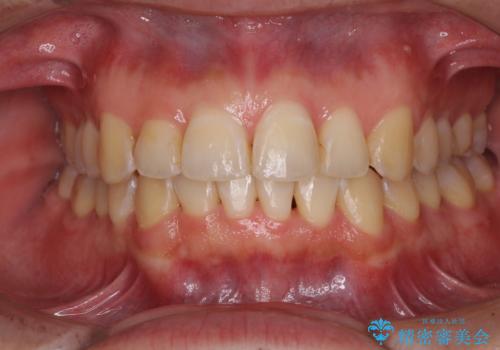
下顎の乳歯は永久歯と比べて幅が大きいため、抜歯した場合のスペースが大きく、治療には長期間を要することが一般的です。
今回の患者様は中学生ということもあり、成人の患者様と比べ動きが速く、2年間で治療を終えることができました。
ワイヤー矯正の注意事項(リスク・副作用など)
- 治療中は違和感や痛みが起こることがあります
- 症状により、抜歯が必要な場合があります
- 治療中は歯磨きがしにくくなるため、虫歯や歯周病になりやすくなります
- 矯正治療後の保定が不十分だと後戻り(元の位置に戻ろうとする動き)をします
- 自費診療(保険適用外)となります
当サイトの内容、テキスト、画像等の無断転載、複製、複写、盗用を固く禁じます。




























