症例詳細
Case detail
歯周外科で整備する安定したクラウン環境
治療症例の内容
- 診療科目
- 治療カテゴリ
- 担当医
- 大元洋佑(ドクタープロフィール)
- 患者様
- 50代女性
- 治療期間
- 6ヶ月
- 治療回数
- 5-10回
- 治療計画
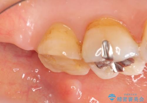
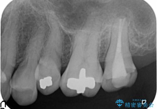
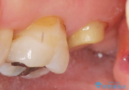
- 根管治療ののち、そのままになっていた歯のクラウン製作を希望され来院されました。
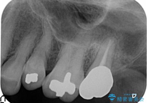
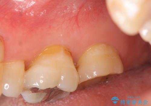
クラウンの将来的な虫歯の再発を防ぐために周囲の歯ぐきを切除することで歯の高さを出し安定した歯周環境にしたのち噛み心地の良いゴールドクラウンを製作します。
- 費用(概算)
- 15万円費用は治療当時の料金となります
虫歯の再発を防ぐクラウン治療について
クラウンを装着した歯の虫歯の再発を防ぎ長い予後を期待するために削った箇所をしっかりとかぶせる適合の良さが必要はもちろんですが、セメントの漏洩を防ぐためにクラウンの十分な支台高径を歯周外科を行い獲得しました。
PGA(ゴールド)クラウン、インレーの注意事項(リスク・副作用など)
- インレーおよびクラウンは脱離するリスクがあります
- 形成量はセラミックより少ないですが、歯の形成、修復後に歯に症状が出ることがあります
- 自費診療(保険適用外治療)となります
当サイトの内容、テキスト、画像等の無断転載、複製、複写、盗用を固く禁じます。













