症例詳細
Case detail
目立つ銀歯を白くしたい
治療症例の内容
- 診療科目
- 治療カテゴリ
- 担当医
- 大元洋佑(ドクタープロフィール)
- 患者様
- 30代女性
- 治療期間
- 1ヶ月
- 治療回数
- 2-5回
- 治療計画
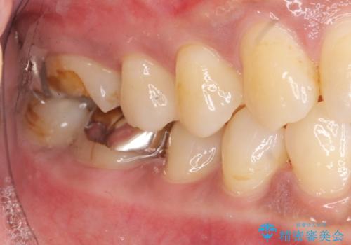
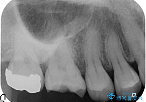
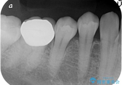
- 笑ったときに目立つ奥歯の銀歯を白くしたいという希望で来院されました。
銀歯を除去し、ジルコニアクラウンによる審美性の回復を計画します。
- 費用(概算)
- 33万円(仮歯・ジルコニアクラウン×3)費用は治療当時の料金となります
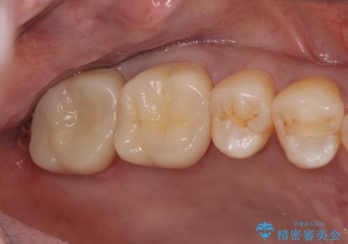
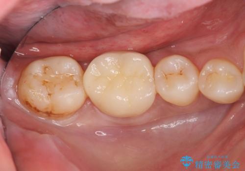
銀歯の除去治療について
目立つ銀歯が口腔内から取り除かれ、ジルコニアクラウンによる白い歯へと置き換わったことで自信を持って笑えるようになったとの言葉をいただきました。
セラミック治療の注意事項(リスク・副作用など)
- 天然歯を削ります
- 硬い素材は天然歯を傷つけてしまう場合があります
- かみ合わせや歯ぎしりが強すぎる方はセラミックが割れてしまう可能性があります
- 自費診療(保険適用外治療)となります
当サイトの内容、テキスト、画像等の無断転載、複製、複写、盗用を固く禁じます。










