症例詳細
Case detail
不適合なクラウンのやりかえ
治療症例の内容
- 診療科目
- 治療カテゴリ
- 担当医
- 大元洋佑(ドクタープロフィール)
- 患者様
- 20代女性
- 治療期間
- 1ヶ月
- 治療回数
- 2-5回
- 治療計画
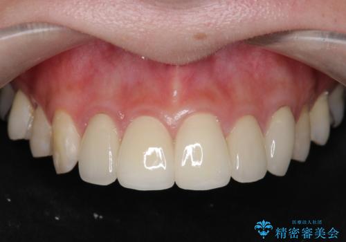
- 数ヶ月前に他院で装着したセラミッククラウンから、歯ブラシのたびに出血することの改善を求めて来院されました。
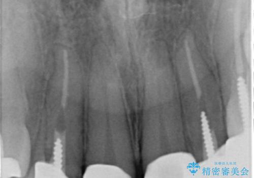
X線写真よりクラウンの際があっていない状態であることがわかり、再度精度の良いセラミッククラウンを製作していくこととなりました。
- 費用(概算)
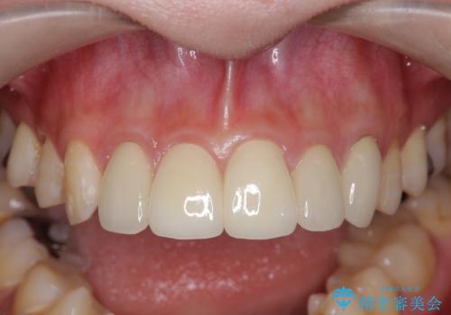
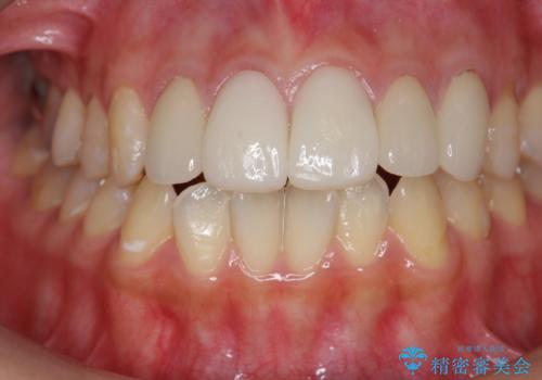
- 22万円(仮歯・ジルコニアクラウン×2)費用は治療当時の料金となります
不適合クラウンについて
残存している歯と、クラウンの合いが悪い(不適合クラウン)歯汚れは溜まりやすく歯ぐきが腫れ虫歯・歯周病の再発リスクを高めます.
セラミック治療の注意事項(リスク・副作用など)
- 天然歯を削ります
- 硬い素材は天然歯を傷つけてしまう場合があります
- かみ合わせや歯ぎしりが強すぎる方はセラミックが割れてしまう可能性があります
- 自費診療(保険適用外治療)となります
当サイトの内容、テキスト、画像等の無断転載、複製、複写、盗用を固く禁じます。












