症例詳細
Case detail
前歯の変色 根管治療と高品質セラミック歯科治療
治療症例の内容
- 担当医
- 大元洋佑(ドクタープロフィール)
- 患者様
- 30代女性
- 治療期間
- 1ヶ月
- 治療回数
- 2-5回
- 治療計画
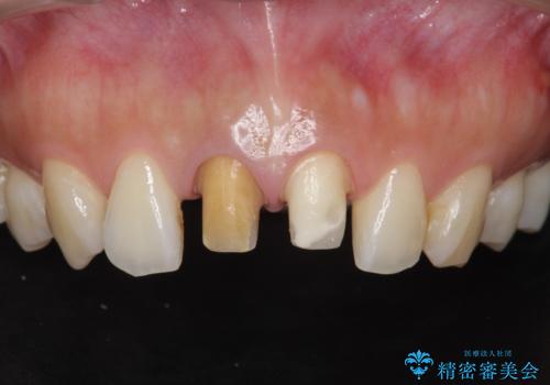
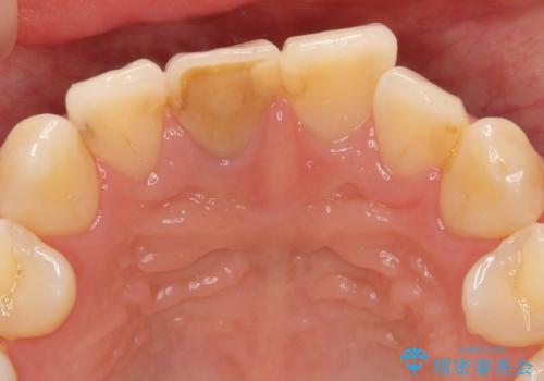
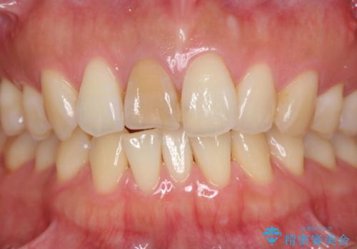
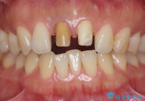
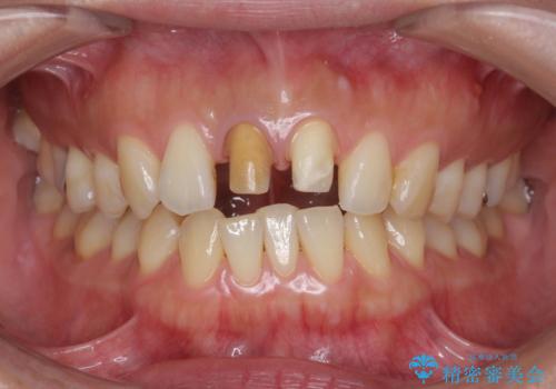
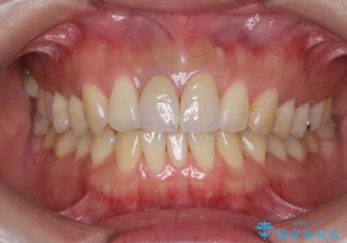
- 前歯の変色の改善を求めて来院されました。
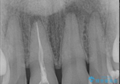
X線検査を行ったところ、共に深い虫歯が原因となり神経が死んでしまっている状態であることがわかり、根管治療を行ったのちセラミック補綴を行っていくこととなりました。
- 費用(概算)
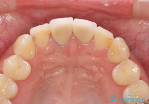
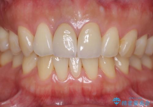
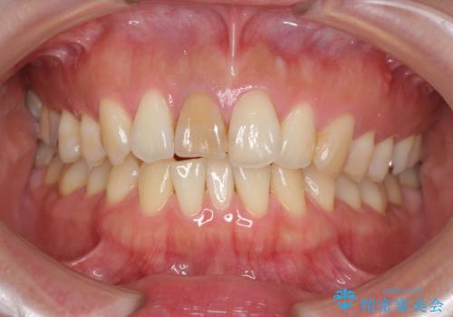
- 32万円(仮歯・ファイバーコア・ジルコニアクラウン×2)費用は治療当時の料金となります
セラミック治療について
最終的なセラミッククラウンの精度・色調は非常に大事ですが、そこに至るまでの根管内環境の洗浄、ファイバーコアによる緊密な封鎖も長期的な予後に重要であると考えます。
セラミック治療の注意事項(リスク・副作用など)
- 天然歯を削ります
- 硬い素材は天然歯を傷つけてしまう場合があります
- かみ合わせや歯ぎしりが強すぎる方はセラミックが割れてしまう可能性があります
- 自費診療(保険適用外治療)となります
当サイトの内容、テキスト、画像等の無断転載、複製、複写、盗用を固く禁じます。















