症例詳細
Case detail
捻れた出っ歯の前歯 オールセラミッククラウンによる審美治療
治療症例の内容
- 診療科目
- 治療カテゴリ
- 担当医
- 藤巻太一朗(ドクタープロフィール)
- 患者様
- 20代男性
- 治療期間
- 1ヶ月
- 治療回数
- 2-5回
- 治療計画
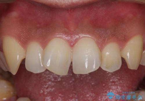
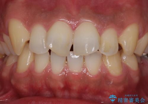
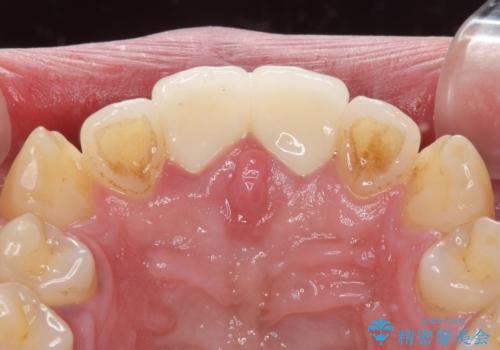
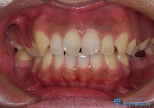
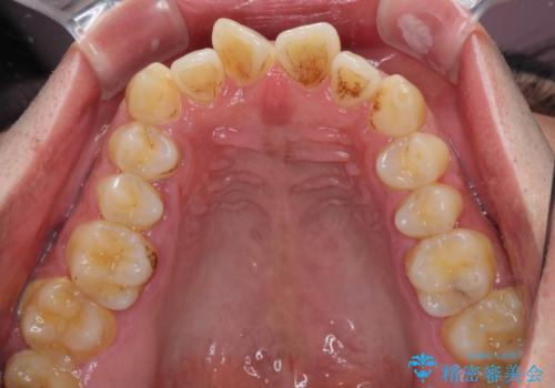
- 前歯が捻れており出っ歯であることを気にして来院された患者様です。
虫歯がほとんどなく、前歯以外にも歯列に問題があったため、歯列矯正を第一選択として強く勧めました。
しかし、時間をかけることは避けたいという強い要望があったため、セラミッククラウンによる補綴治療を行うこととしました。
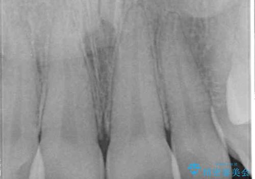
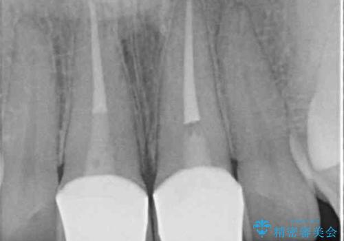
補綴治療に先立ち、歯の形態を修正する必要があったため、残念ではありますが根管治療を行うこととしました。
- 費用(概算)
- 治療費の目安: 38万円費用は治療当時の料金となります
治療について
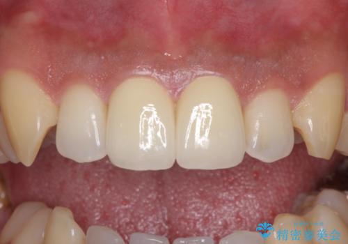
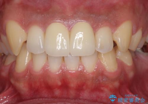
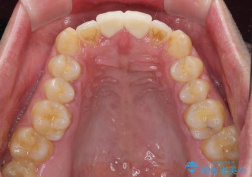
1度の来院で進められる限りの処置を行ったため、4回の来院で僅か1ヶ月で治療を終えることができました。
気になっていた前歯の問題が解決し、患者様には大変満足していただきました。
セラミック治療の注意事項(リスク・副作用など)
- 天然歯を削ります
- 硬い素材は天然歯を傷つけてしまう場合があります
- かみ合わせや歯ぎしりが強すぎる方はセラミックが割れてしまう可能性があります
- 自費診療(保険適用外治療)となります
当サイトの内容、テキスト、画像等の無断転載、複製、複写、盗用を固く禁じます。














