症例詳細
Case detail
セラミッククラウンによる奥歯のむし歯治療
治療症例の内容
- 診療科目
 
- 治療カテゴリ
 
- 担当医
 - 藤巻太一朗(ドクタープロフィール)
 
- 患者様
 - 20代男性
 
- 治療期間
 - 1ヶ月
 
- 治療回数
 - 2-5回
 
- 治療計画
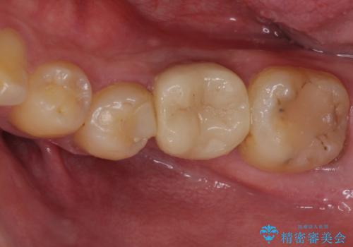
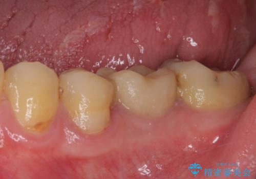
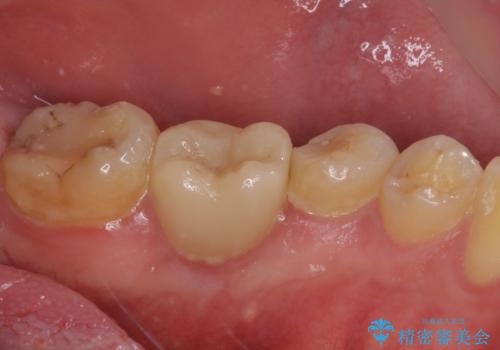
 - 奥歯がしみて痛いとのことで来院された患者様です。
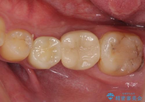
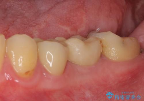
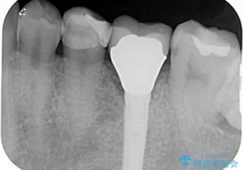
既に複数箇所の修復が行われていたため、オールセラミッククラウンにて補綴をすることとしました。 
- 費用(概算)
 - 治療費の目安: 8万円費用は治療当時の料金となります
 
治療について
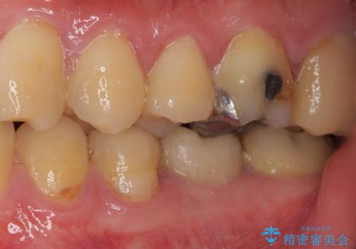
以前装着した修復物が不適であり、歯肉が腫れていましたが、仮歯を装着したことで腫れは解消されました。
歯の痛みだけでなく、歯肉の腫れも改善され、患者様には大変満足していただきました。
セラミック治療の注意事項(リスク・副作用など)
- 天然歯を削ります
 - 硬い素材は天然歯を傷つけてしまう場合があります
 - かみ合わせや歯ぎしりが強すぎる方はセラミックが割れてしまう可能性があります
 - 自費診療(保険適用外治療)となります
 
当サイトの内容、テキスト、画像等の無断転載、複製、複写、盗用を固く禁じます。

                      
                                                          








