症例詳細
Case detail
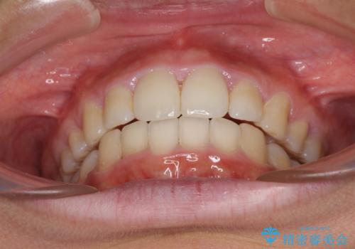
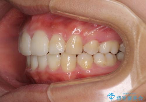
口が閉じられない 抜歯矯正で口元をスッキリと
治療症例の内容
- 診療科目
- 担当医
- 藤巻太一朗(ドクタープロフィール)
- 患者様
- 20代女性
- 矯正装置
- クリアブラケット
- 治療期間
- 3年
- 治療回数
- 10-30回
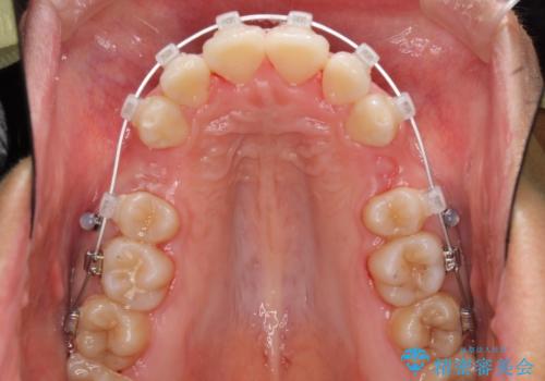
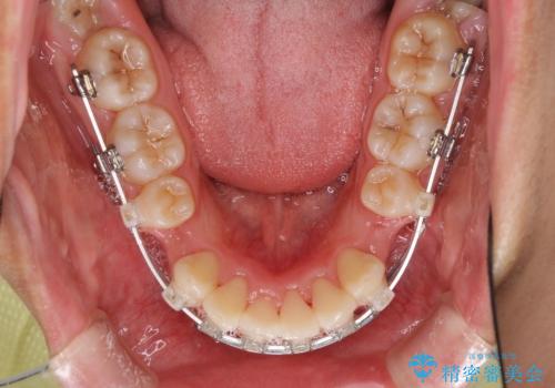
- 治療計画
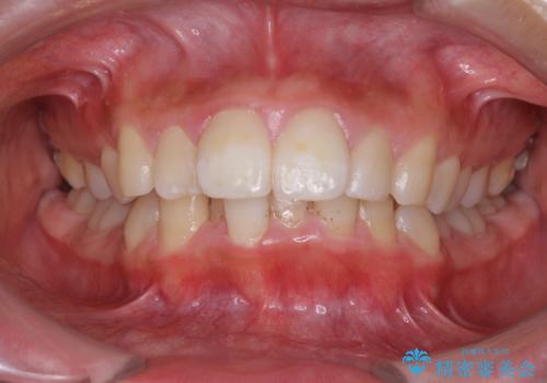
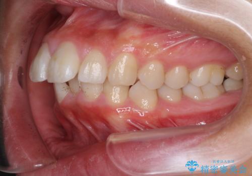
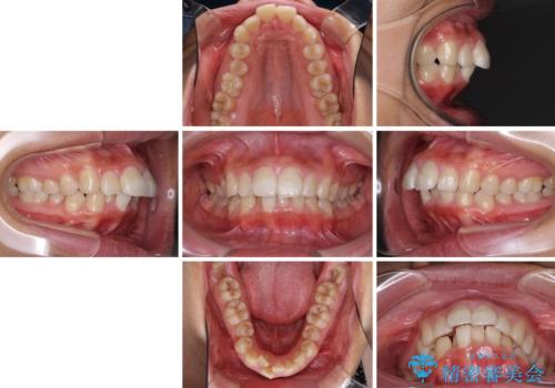
- 上下の出っ歯を気にして来院された患者様です。
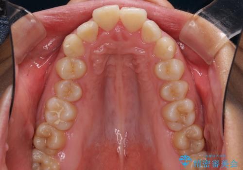
口元を積極的に引っ込めるために、上下左右の第一小臼歯を4本抜歯することとしました。
- 費用(概算)
- 治療費の目安: 85万円費用は治療当時の料金となります
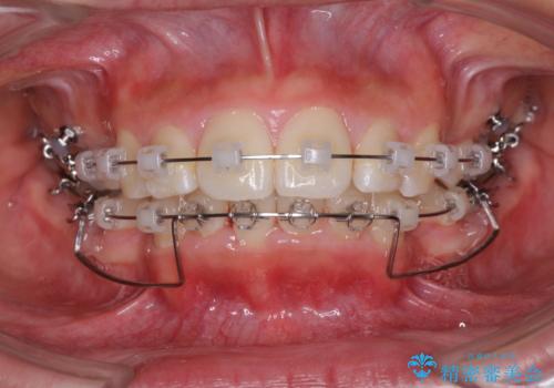
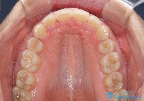
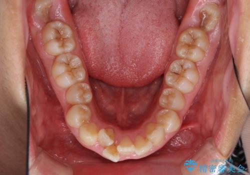
治療について
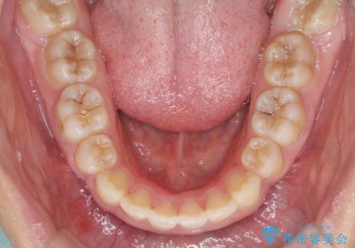
途中で来院されない時期があったため、期間が長引き、更には磨き残しが多かったことで虫歯が多く発現してしまいました。
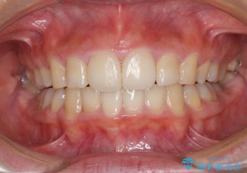
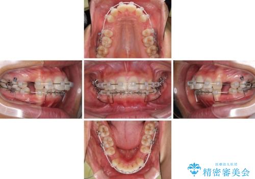
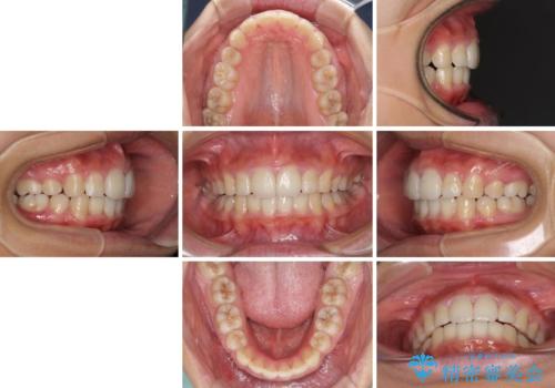
しっかりと通院するようになってからは順調に治療が進み、横顔の印象が変わるほどスッキリとした口元となりました。
ワイヤー矯正の注意事項(リスク・副作用など)
- 治療中は違和感や痛みが起こることがあります
- 症状により、抜歯が必要な場合があります
- 治療中は歯磨きがしにくくなるため、虫歯や歯周病になりやすくなります
- 矯正治療後の保定が不十分だと後戻り(元の位置に戻ろうとする動き)をします
- 自費診療(保険適用外)となります
当サイトの内容、テキスト、画像等の無断転載、複製、複写、盗用を固く禁じます。




























