症例詳細
Case detail
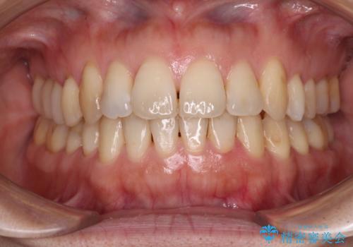
20代女性 矯正治療の再治療
治療症例の内容
- 診療科目
- 治療カテゴリ
- 担当医
- 藤巻太一朗(ドクタープロフィール)
- 患者様
- 20代女性
- 矯正装置
- 審美装置
- 治療期間
- 1年5ヶ月
- 治療回数
- 10-30回
- 治療計画
- 中学生の時に矯正治療をし、その後戻りを気にして来院された患者様です。
前回の矯正治療にて既に小臼歯が4本抜歯されていたため、歯と歯の間を削ることでスペースを作って歯列を整えることとしました。
- 費用(概算)
- 治療費の目安: 90万円費用は治療当時の料金となります
治療を終えて
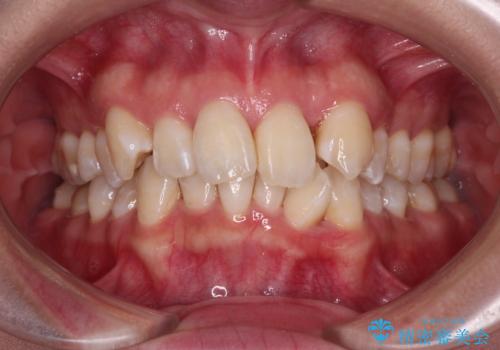
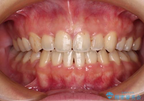
唇の筋肉が固いことや、上の前歯2本が小さいこと(矮小歯)などから、左側のかみ合わせを調整するのに時間がかかり、当初の予定より半年近く伸びての終了となりました。
しかし、以前の矯正と比べて痛みがほとんどなかったことや、かみ合わせがしっかりと再構築できたことで、患者様には大変満足していただけました。
リスクについて
矯正治療は後戻りのリスクがあります。
ワイヤー矯正の注意事項(リスク・副作用など)
- 治療中は違和感や痛みが起こることがあります
- 症状により、抜歯が必要な場合があります
- 治療中は歯磨きがしにくくなるため、虫歯や歯周病になりやすくなります
- 矯正治療後の保定が不十分だと後戻り(元の位置に戻ろうとする動き)をします
- 自費診療(保険適用外)となります
当サイトの内容、テキスト、画像等の無断転載、複製、複写、盗用を固く禁じます。








