症例詳細
Case detail
ぶつけた前歯 変色歯をオールセラミッククラウンに
治療症例の内容
- 診療科目
- 治療カテゴリ
- 担当医
- 藤巻太一朗(ドクタープロフィール)
- 患者様
- 30代男性
- 治療期間
- 1ヶ月
- 治療計画
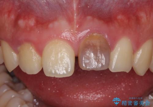
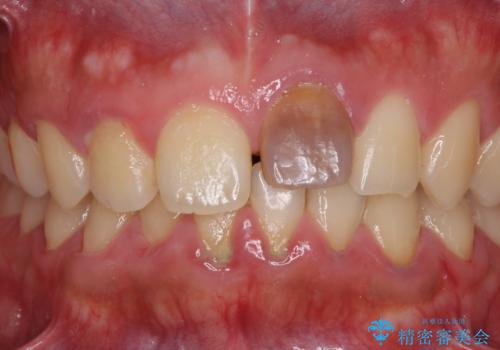
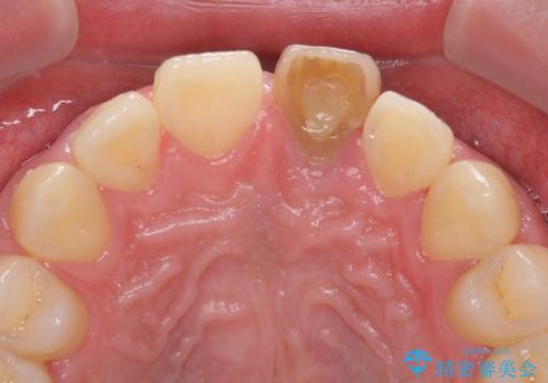
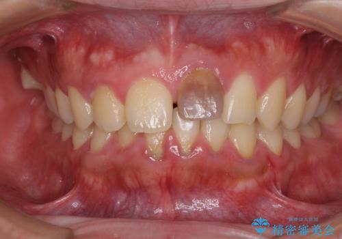
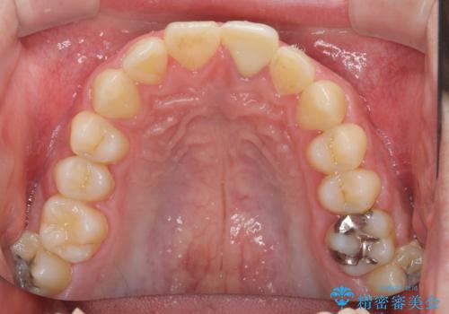
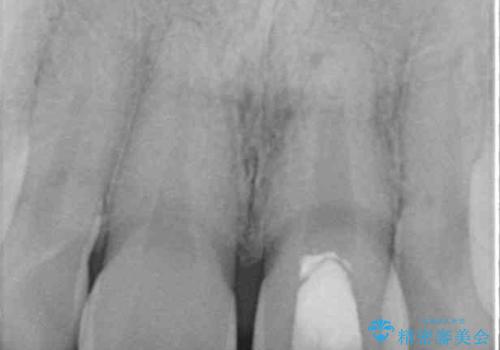
- 中学生の時にぶつけて以来、そのままにしていたところ前歯が変色してきたとのことで来院された患者様です。
レントゲン写真より、歯の中の神経組織が失活していることが分かったため、根管治療、ファイバーコアによる土台築製を行い、オーダーメイドタイプのオールセラミッククラウンにて補綴することとしました。
- 費用(概算)
- 治療費の目安: 22万円費用は治療当時の料金となります
治療について
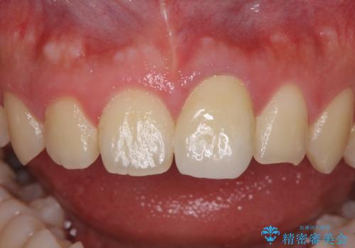
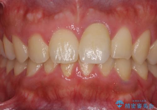
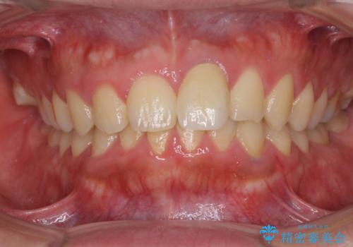
人目を気にすることなく話ができるようになり、患者様には大変満足していただきました。
セラミック治療の注意事項(リスク・副作用など)
- 天然歯を削ります
- 硬い素材は天然歯を傷つけてしまう場合があります
- かみ合わせや歯ぎしりが強すぎる方はセラミックが割れてしまう可能性があります
- 自費診療(保険適用外治療)となります
当サイトの内容、テキスト、画像等の無断転載、複製、複写、盗用を固く禁じます。














