症例詳細
Case detail
矮小歯(通常より小さな歯)をオールセラミックを装着して自然な歯へ
治療症例の内容
- 担当医
- 患者様
- 20代男性
- 治療期間
- 3ヶ月
- 治療回数
- 2-5回
- 治療計画
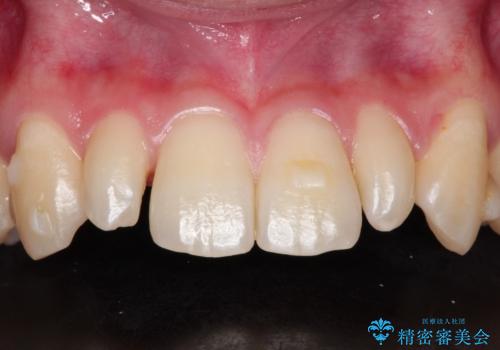
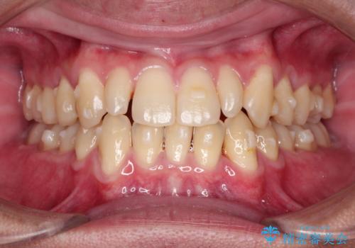
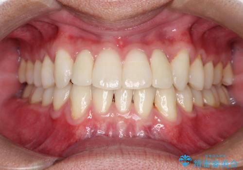
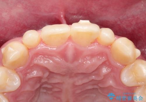
- 当院で矯正治療を行っており、上の前から2番目の歯の形も気になるので治したいと希望がありました。
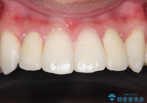
矮小歯といわれる通常よりも小さい歯であったので、こちらにオールセラミッククラウンを装着して自然な歯の形にすることにしました。
- 費用(概算)
- 約22万円(スタンダード×2本)費用は治療当時の料金となります
治療について
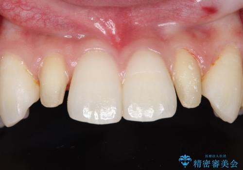
上の前から2番目の歯を少量削らなければならないデメリットはありますが、クラウンの装着により自然な形へすることができました。
セラミック治療の注意事項(リスク・副作用など)
- 天然歯を削ります
- 硬い素材は天然歯を傷つけてしまう場合があります
- かみ合わせや歯ぎしりが強すぎる方はセラミックが割れてしまう可能性があります
- 自費診療(保険適用外治療)となります
当サイトの内容、テキスト、画像等の無断転載、複製、複写、盗用を固く禁じます。













