症例詳細
Case detail
20代女性 つぎはぎだらけの前歯をオールセラミックに
治療症例の内容
- 診療科目
- 治療カテゴリ
- 担当医
- 藤巻太一朗(ドクタープロフィール)
- 患者様
- 20代女性
- 治療期間
- 4ヶ月
- 治療回数
- 2-5回
- 治療計画
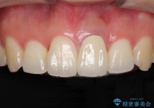
- 上の前歯4本の色を気にして来院された患者様です。
4本すべてが神経が取り除かれており、歯の変色と充填材の変色などによりつぎはぎのような前歯となっています。
一部根管治療を実施し、前歯4本をオールセラミッククラウンにて補綴します。
- 費用(概算)
- 治療費の目安: 70万円費用は治療当時の料金となります
治療を終えて
前歯4本の治療であったので、スタンダードタイプのクラウンであっても自然な仕上がりとなり、周囲の方々からの評判も非常に良かったとのことでした。
真ん中の2本は少し前に出ている感じがありましたが、アーチを整えることで前突感もなくなり、患者様には大変満足していただけました。
セラミック治療の注意事項(リスク・副作用など)
- 天然歯を削ります
- 硬い素材は天然歯を傷つけてしまう場合があります
- かみ合わせや歯ぎしりが強すぎる方はセラミックが割れてしまう可能性があります
- 自費診療(保険適用外治療)となります
当サイトの内容、テキスト、画像等の無断転載、複製、複写、盗用を固く禁じます。








