症例詳細
Case detail
セラミックインレー メタルフリーの治療
治療症例の内容
- 診療科目
- 治療カテゴリ
- 担当医
- 河口智英(ドクタープロフィール)
- 患者様
- 20代女性
- 治療期間
- 1ヶ月
- 治療回数
- 2-5回
- 治療計画
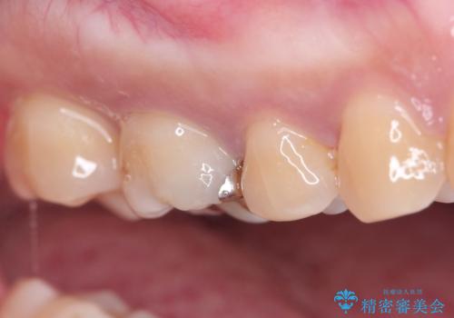
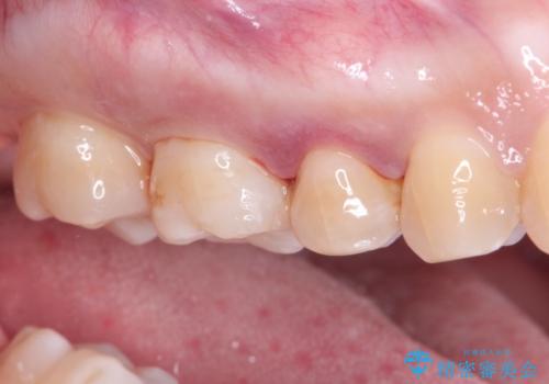
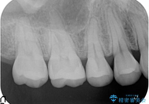
- 虫歯の治療を主訴に来院されました。メタルフリーによる治療を希望されましたので、セラミックインレーにて修復治療を行っております。
- 費用(概算)
- 14万円(セラミックインレー×2)費用は治療当時の料金となります
治療について
当院でのセラミックインレーはすべてe-maxと呼ばれる高強度セラミックにて製作されます。
また、製作方法もプレスと呼ばれる方法を用いることで精度を高めています。
セラミック治療の注意事項(リスク・副作用など)
- 天然歯を削ります
- 硬い素材は天然歯を傷つけてしまう場合があります
- かみ合わせや歯ぎしりが強すぎる方はセラミックが割れてしまう可能性があります
- 自費診療(保険適用外治療)となります
当サイトの内容、テキスト、画像等の無断転載、複製、複写、盗用を固く禁じます。







