症例詳細
Case detail
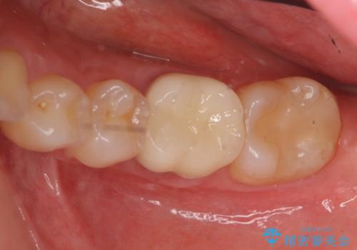
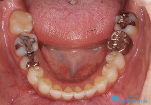
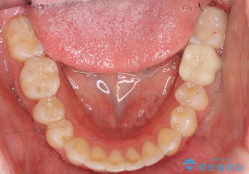
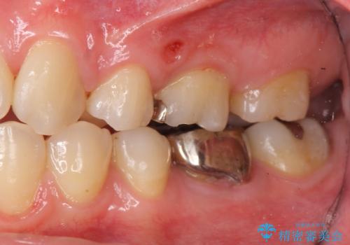
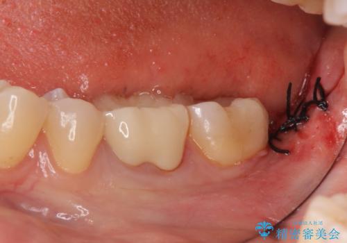
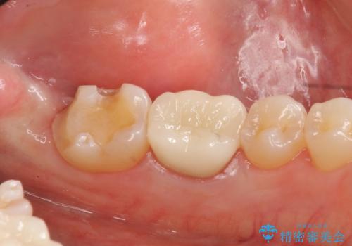
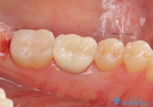
セラミックインレー 下の一番奥歯 歯ぐきの厚みを減らしてぴったりに入れます(ディスタルウェッジ+骨外科)
- 患者様
- 20代女性
- 治療期間
- 3ヶ月
- 治療回数
- 2-5回
- 治療計画
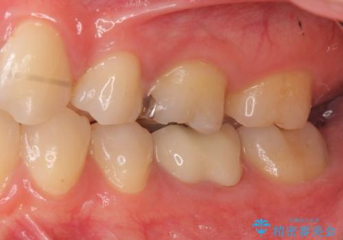
- 矯正治療後に虫歯治療を行いました。
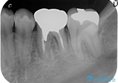
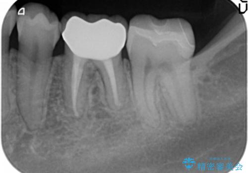
左下7番には、矯正治療前に虫歯をとり、CRで充填していました。
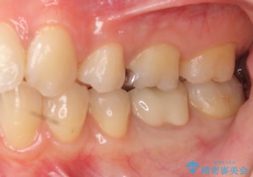
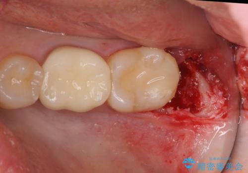
ただし、元のインレーが遠心マージンが縁下だったため、矯正治療後に歯ぐきの厚みを減らして、しっかり歯ぐきの上にマージンラインが来るように整える手術(ディスタルウェッジ)を行いました。
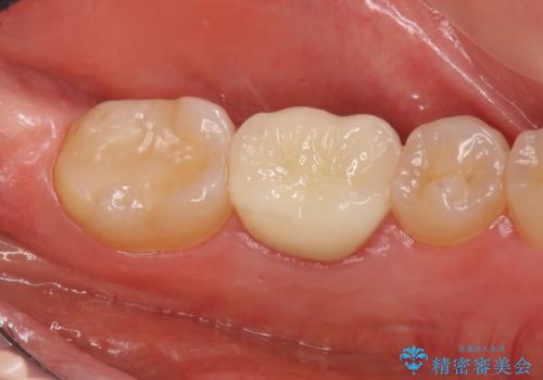
手術後、きちんとマージンラインが歯肉の上に来た状態で、セラミックインレー修復を行いました。
また、左下6番は専門医(銀座院院長 Dr.林)による再根管治療を行いました。
矯正治療の詳細は以下で紹介しています。
https://seimitsushinbi.jp/case/24301/
- 費用(概算)
- 38万円(左下7:歯周外科処置5万円、セラミックインレー7万円 左下6:精密根管治療(再治療・専門医による)13万円、ファイバーコア2万円、ジルコニアクラウン10万円、仮歯1万円)費用は治療当時の料金となります
治療について
レーザーや電気メスで分厚い歯肉を焼いても一時的で、やがてまた元のように歯ぐきが上まで増殖しますので、今回は骨の厚みも調整し、7番の遠心を出来るだけ下げました。
セラミック治療の注意事項(リスク・副作用など)
- 天然歯を削ります
- 硬い素材は天然歯を傷つけてしまう場合があります
- かみ合わせや歯ぎしりが強すぎる方はセラミックが割れてしまう可能性があります
- 自費診療(保険適用外治療)となります
根管治療の注意事項(リスク・副作用など)
- 根管治療により類似の全ての症例の問題が解決するわけではなく、症例はあくまでも一例です
- 根管治療により痛みや腫れがひかない事や、術後に痛みや腫れが生じる事、治療によるファイル破折やパーフォレーションなどの偶発症、術後の歯根破折を生じる可能性もあります
- 自費診療(保険適用外)となります
当サイトの内容、テキスト、画像等の無断転載、複製、複写、盗用を固く禁じます。
















