症例詳細
Case detail
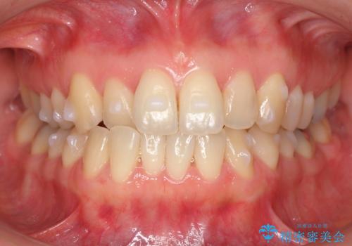
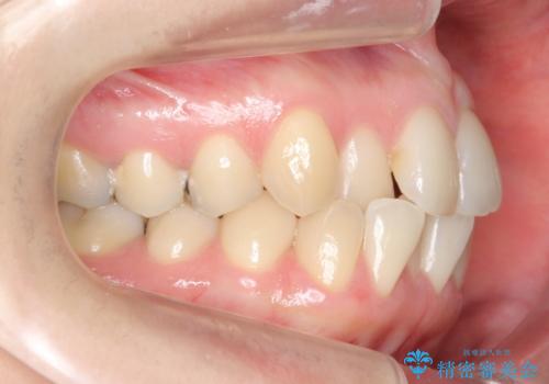
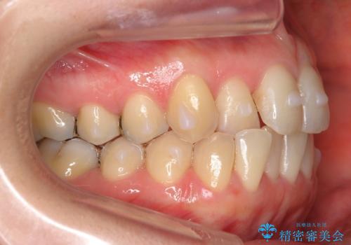
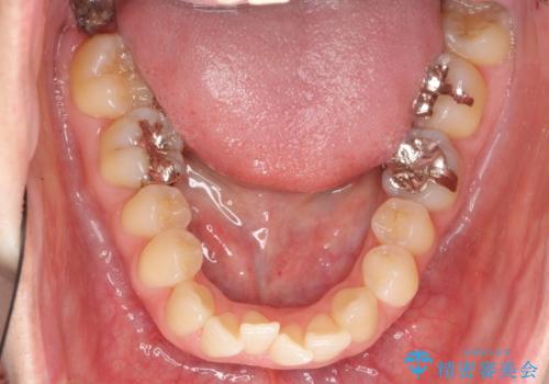
上の前歯が一部引っ込んでいる 下のがたがた マウスピース矯正
治療症例の内容
- 担当医
- 井上季実子(ドクタープロフィール)
- 患者様
- 30代女性
- 治療期間
- 1年6ヶ月
- 治療回数
- 10-30回
- 治療計画
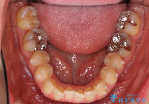
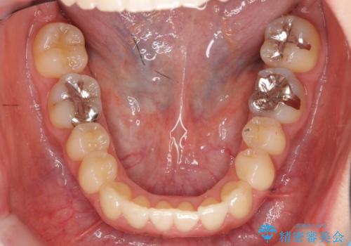
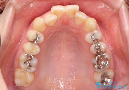
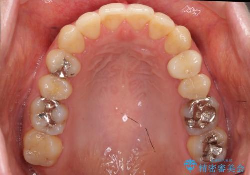
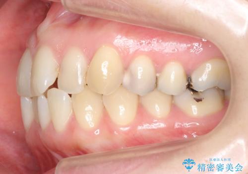
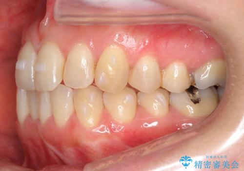
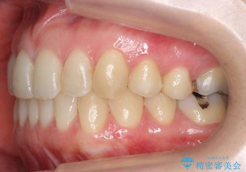
- 前歯2本が後ろに引っ込んでいる状態でした。
マウスピースで歯を抜かずに矯正しました。
かみしめがある方は、奥歯のかみ合わせが弱くなることがマウスピース矯正の欠点ですが、装着時間や時間帯を工夫して奥歯もしっかりかんだ状態で矯正終了をしています。
かみしめがある方には、単にマウスピースをお渡しするだけでなく、奥歯のかみ合わせまで面倒を診る、引き出しの多い歯科医に見てもらうのがおすすめです。奥のかみ合わせが弱くなっても、患者さんにはなかなかわかりにくいです。
左上4番は、虫歯治療をして、セラミッククラウンで修復しています。
- 費用(概算)
- 85万円費用は治療当時の料金となります
治療について
一般的にマウスピースを装着した状態で歯ぎしりをしてしまうと、奥歯のかみ合わせが弱くなりやすいため、リテーナーはマウスピースではなく、上下の歯が当たるようなホーレータイプが適しています。
マウスピース矯正の注意事項(リスク・副作用など)
- 口腔内・歯並びの状態によっては対応できない場合があります
- マウスピース型矯正装置の長時間装着(1日20時間以上)が必須です
- 治療計画通りに進めるためには、患者様の意志が重要になります
- 矯正治療後の保定が不十分だと後戻り(元の位置に戻ろうとする動き)をします
- 薬機法対象外の矯正歯科装置のため医薬品副作用被害救済制度の対象外となる場合があります
- 自費診療(保険適用外)となります
当サイトの内容、テキスト、画像等の無断転載、複製、複写、盗用を固く禁じます。

















