症例詳細
Case detail
放置してしまった歯 根管治療からの機能回復
治療症例の内容
- 担当医
- 大元洋佑(ドクタープロフィール)
- 患者様
- 20代男性
- 治療期間
- 2ヶ月
- 治療回数
- 2-5回
- 治療計画
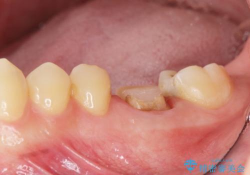
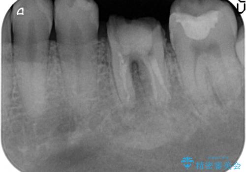
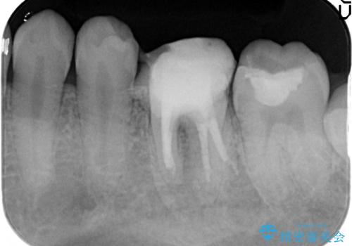
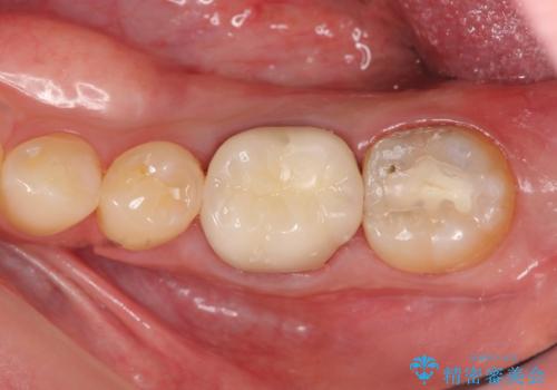
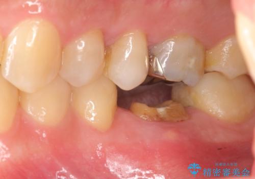
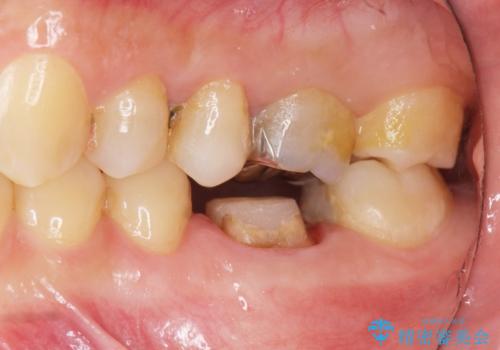
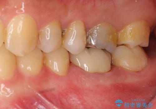
- 放置してしまった歯が痛み、いよいよ耐えられなくなり来院されました。
 根管治療の途中で放置してしまっていた歯を、最終的に機能回復できるよう治療を行っていきます。
- 費用(概算)
- 13万円(仮歯・ファイバーコア・ジルコニアクラウン)費用は治療当時の料金となります
治療の放置について
治療途中の歯の放置は、より虫歯を進行させてしまい抜歯に至ってしまうこともあるので注意が必要です。
セラミック治療の注意事項(リスク・副作用など)
- 天然歯を削ります
- 硬い素材は天然歯を傷つけてしまう場合があります
- かみ合わせや歯ぎしりが強すぎる方はセラミックが割れてしまう可能性があります
- 自費診療(保険適用外治療)となります
当サイトの内容、テキスト、画像等の無断転載、複製、複写、盗用を固く禁じます。








 
                       
                                                          











![[重度歯周病] インプラントを用いた歯周病全体治療](https://seimitsushinbi.jp/wp/wp-content/uploads/2017/07/d3d0a21b25371ac0d394e0bffe76c413-500x350.jpg) 
                  ![[奥歯のセラミック治療] 銀歯のブリッジを白く](https://seimitsushinbi.jp/wp/wp-content/uploads/2020/04/f0ad49c90be57b2e343b883a8cfbbe8e-500x350.jpg?v=1587878339) 
                  ![[金属アレルギー] 銀歯を外すセラミック審美歯科治療](https://seimitsushinbi.jp/wp/wp-content/uploads/2017/01/36f8b8f1d9f81dad83516e08f4f14334-500x350.jpg) 
                  