症例詳細
Case detail
咬合性外傷による歯槽骨吸収 ブリッジ補綴
治療症例の内容
- 診療科目
- 治療カテゴリ
- 担当医
- 大元洋佑(ドクタープロフィール)
- 患者様
- 30代女性
- 治療期間
- 1年
- 治療回数
- 5-10回
- 治療計画
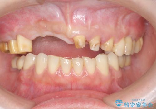
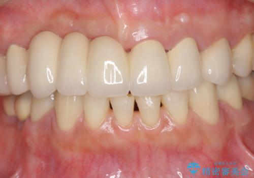
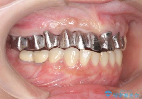
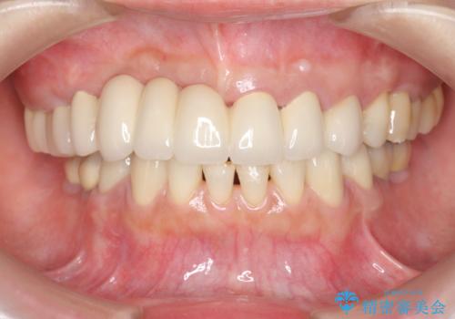
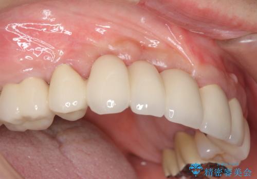
- 歯が揺れしっかりとものが噛めないことの改善を求めて来院されました。
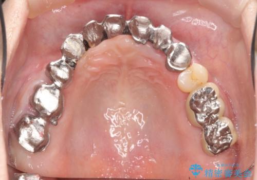
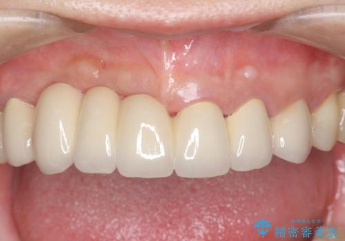
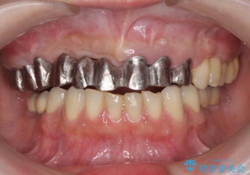
保存の難しい歯の抜歯、保存できる歯の歯周病治療、欠損部位の歯槽堤形態回復を含めブリッジによる安定した咬合機能回復を計画します。
- 費用(概算)
- 90万円 (仮歯×9 メタルボンドクラウン×9)費用は治療当時の料金となります
ブリッジ治療について
ブリッジは欠損した部位に臨在する歯を削り、被せなければいけないというデメリットがありますが反面噛む力が強い場合連結することで強大な咬合力に対抗できるというメリットも存在します。
セラミック治療の注意事項(リスク・副作用など)
- 天然歯を削ります
- 硬い素材は天然歯を傷つけてしまう場合があります
- かみ合わせや歯ぎしりが強すぎる方はセラミックが割れてしまう可能性があります
- 自費診療(保険適用外治療)となります
当サイトの内容、テキスト、画像等の無断転載、複製、複写、盗用を固く禁じます。
















