症例詳細
Case detail
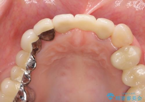
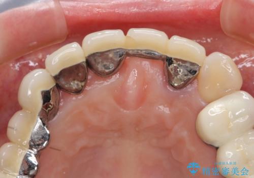
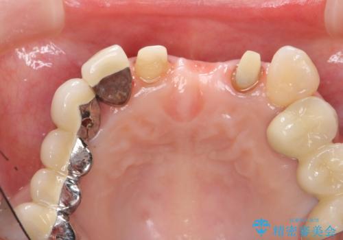
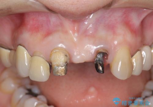
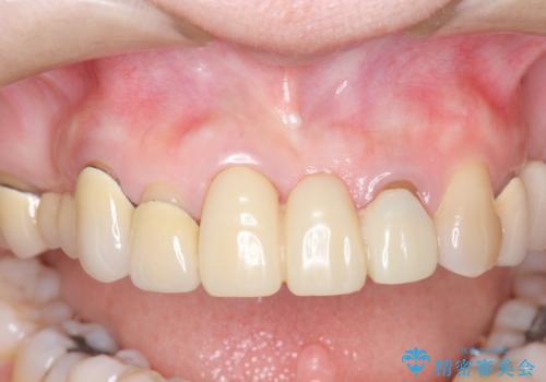
前歯ブリッジのやりかえ
治療症例の内容
- 診療科目
- 治療カテゴリ
- 担当医
- 大元洋佑(ドクタープロフィール)
- 患者様
- 30代女性
- 治療期間
- 5ヶ月
- 治療回数
- 2-5回
- 治療計画
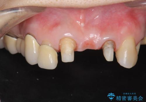
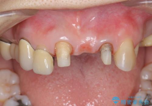
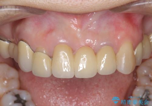
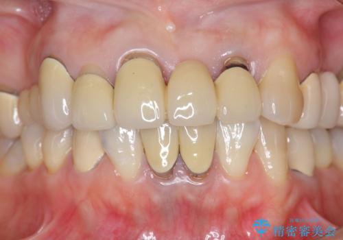
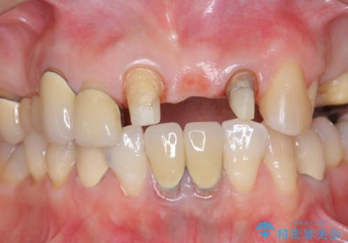
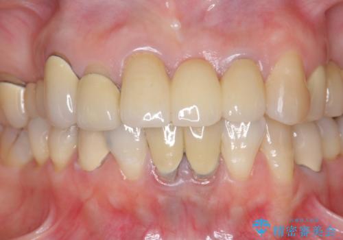
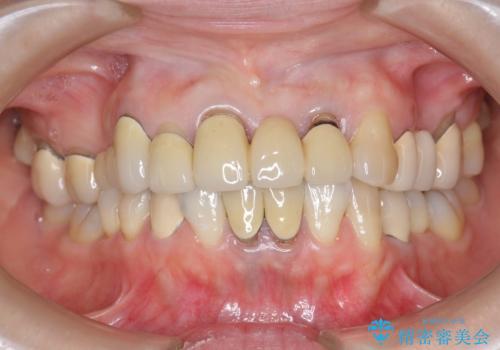
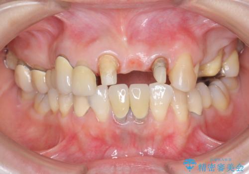
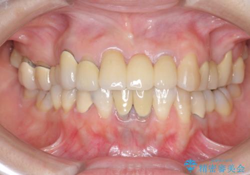
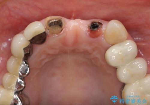
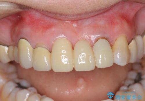
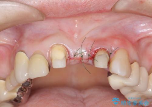
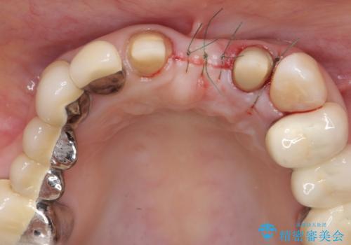
- 前歯の審美障害、見た目の改善を希望され来院されました。
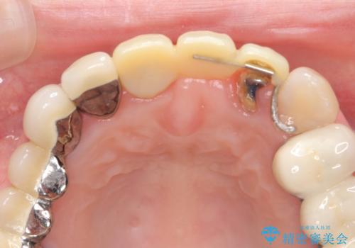
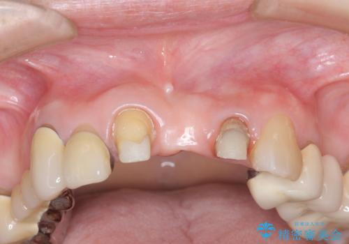
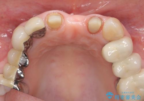
歯肉縁下カリエスも認められるため、挺出を行いセラミックブリッジを審美的に新製します。
- 費用(概算)
- 47万円(仮歯×3・ファイバーコア×2・ジルコニアクラウン×3 歯の挺出)費用は治療当時の料金となります
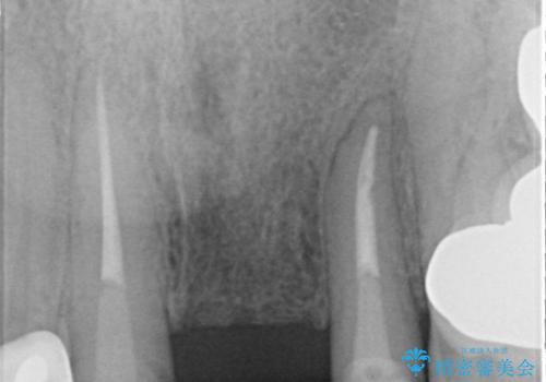
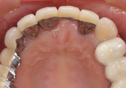
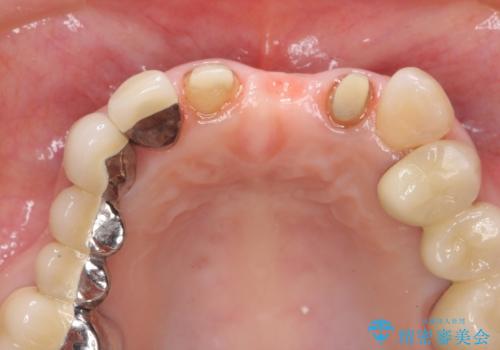
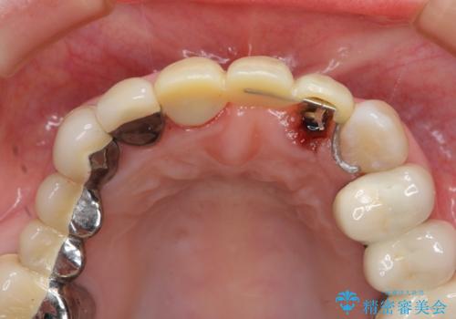
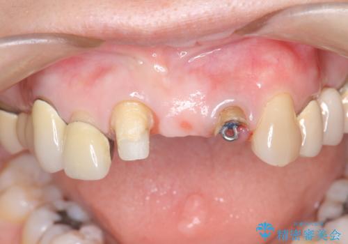
挺出について
虫歯が深くなった場合、挺出や歯周外科を行い歯周組織の状態を改善することでより安定した状態で予知性の高いセラミックブリッジを製作することが可能となります。
セラミック治療の注意事項(リスク・副作用など)
- 天然歯を削ります
- 硬い素材は天然歯を傷つけてしまう場合があります
- かみ合わせや歯ぎしりが強すぎる方はセラミックが割れてしまう可能性があります
- 自費診療(保険適用外治療)となります
当サイトの内容、テキスト、画像等の無断転載、複製、複写、盗用を固く禁じます。





































