症例詳細
Case detail
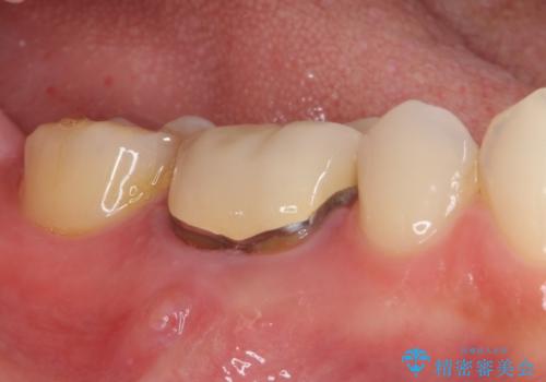
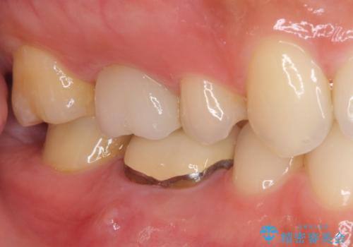
金属の縁が見えてしまったクラウン オールセラミッククラウンで審美的に
治療症例の内容
- 診療科目
- 治療カテゴリ
- 担当医
- 藤巻太一朗(ドクタープロフィール)
- 患者様
- 40代女性
- 治療期間
- 2ヶ月
- 治療回数
- 2-5回
- 治療計画
- 歯肉の退縮に伴い、金属を用いたクラウンの縁が見えてしまうことを気にして来院された患者様です。
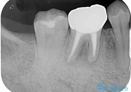
歯肉には膿の出口が見られ、レントゲン写真からは歯根周辺に病変が認められたため、まずは根管治療を行い、その後フルジルコニアクラウンにて補綴することとしました。
- 費用(概算)
- 治療費の目安: 23万円費用は治療当時の料金となります
治療について
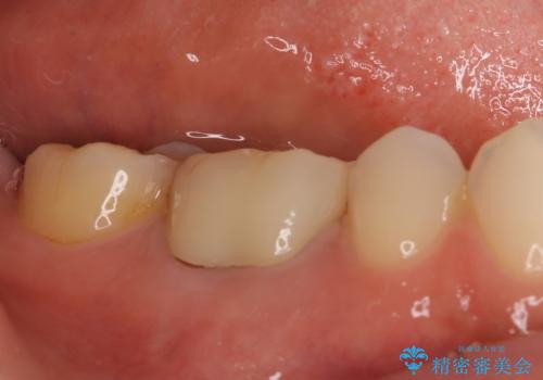
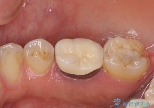
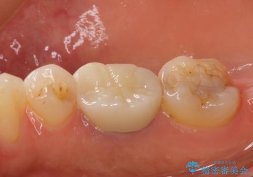
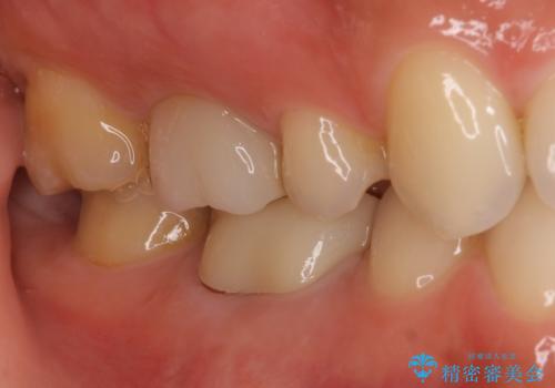
フルジルコニアクラウンを装着してからは、気になっていた金属の縁がなくなり、また、咬み合わせも非常に安定しており、患者様には大変満足していただきました。
セラミック治療の注意事項(リスク・副作用など)
- 天然歯を削ります
- 硬い素材は天然歯を傷つけてしまう場合があります
- かみ合わせや歯ぎしりが強すぎる方はセラミックが割れてしまう可能性があります
- 自費診療(保険適用外治療)となります
当サイトの内容、テキスト、画像等の無断転載、複製、複写、盗用を固く禁じます。










