症例詳細
Case detail
ハーフリンガル 反対咬合の改善
治療症例の内容
- 診療科目
- 担当医
- 藤巻太一朗(ドクタープロフィール)
- 患者様
- 20代女性
- 矯正装置
- ハーフリンガル
- 治療期間
- 1年9ヶ月
- 治療回数
- 10-30回
- 治療計画
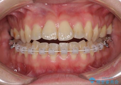
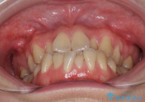
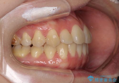
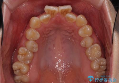
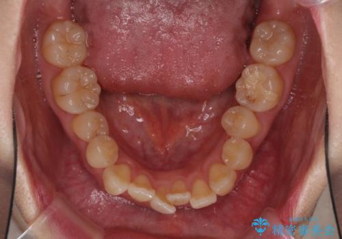
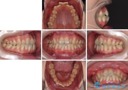
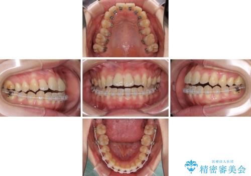
- 前歯の反対咬合を気にして来院された患者様です。
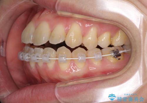
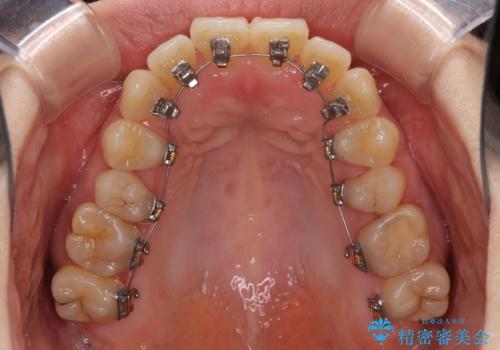
目立ちにくい装置での治療をご希望とのことで、上顎が裏側装置、下顎が表側装置のハーフリンガルにより矯正治療を行うこととしました。
- 費用(概算)
- 治療費の目安: 110万円費用は治療当時の料金となります
治療について
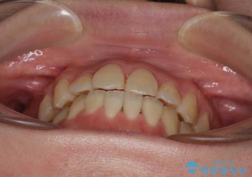
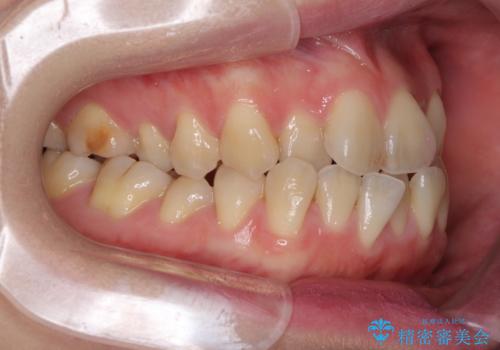
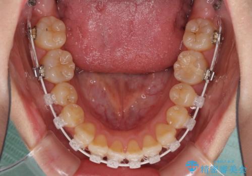
下顎の歯列全体を後方に動かす場合、さまざまリスクを伴うため慎重に行う必要があり、さらには移動量に限界があるため、治療計画は無理のないものとしなければなりません。
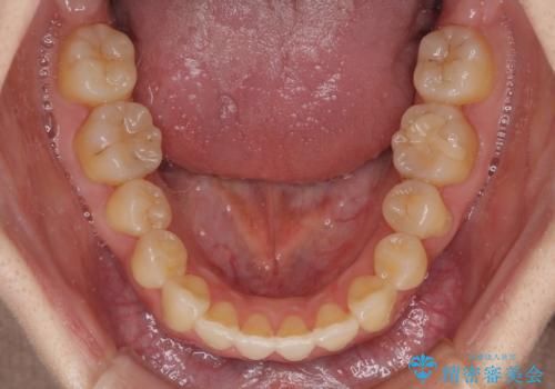
下顎左右の奥にアンカーボルトを使用して、無理のない範囲で後方に移動させ、きれいに仕上げることができました。
ワイヤー矯正の注意事項(リスク・副作用など)
- 治療中は違和感や痛みが起こることがあります
- 症状により、抜歯が必要な場合があります
- 治療中は歯磨きがしにくくなるため、虫歯や歯周病になりやすくなります
- 矯正治療後の保定が不十分だと後戻り(元の位置に戻ろうとする動き)をします
- 自費診療(保険適用外)となります
当サイトの内容、テキスト、画像等の無断転載、複製、複写、盗用を固く禁じます。




























