症例詳細
Case detail
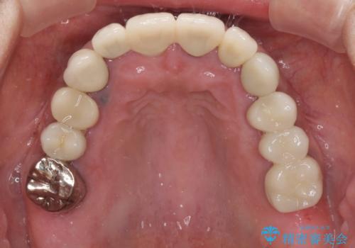
汚れてしまった前歯の仮歯 オールセラミッククラウンにて自然に
治療症例の内容
- 診療科目
- 治療カテゴリ
- 担当医
- 藤巻太一朗(ドクタープロフィール)
- 患者様
- 50代女性
- 治療期間
- 1ヶ月
- 治療回数
- 2-5回
- 治療計画
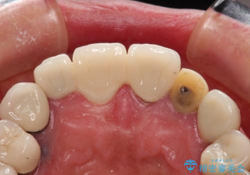
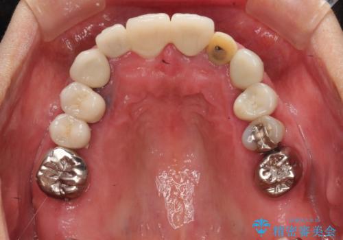
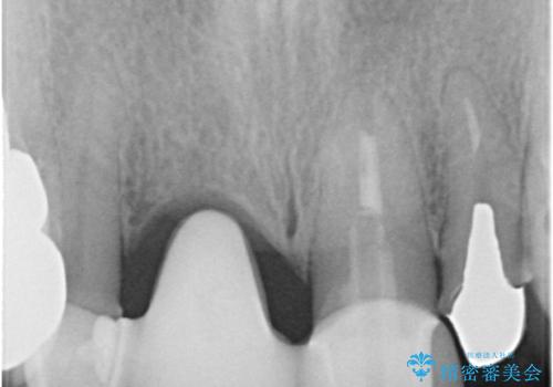
- 治療途中で装着していた仮歯汚れてしまい、恥ずかしいとのことで来院された患者様です。
土台の金属色が透けて見えてしまうため、ファイバーコアに置き換えた上で、オールセラミッククラウンにて補綴することとしました。
- 費用(概算)
- 治療費の目安: 16万円費用は治療当時の料金となります
治療について
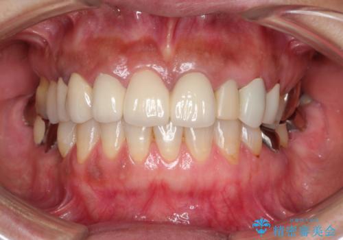
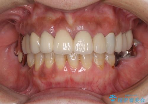
長い間億劫で手を付けていなかったものの、仮歯にした時点から自然な口元となり、視線が気にならなくなったとのことでした。
出来上がってきたセラミッククラウンはまるで自身の歯のようで、患者様には大変満足していただきました。
セラミック治療の注意事項(リスク・副作用など)
- 天然歯を削ります
- 硬い素材は天然歯を傷つけてしまう場合があります
- かみ合わせや歯ぎしりが強すぎる方はセラミックが割れてしまう可能性があります
- 自費診療(保険適用外治療)となります
当サイトの内容、テキスト、画像等の無断転載、複製、複写、盗用を固く禁じます。










