症例詳細
Case detail
奥歯の深い虫歯をオールセラミックで治療
治療症例の内容
- 診療科目
 
- 治療カテゴリ
 
- 担当医
 - 藤巻太一朗(ドクタープロフィール)
 
- 患者様
 - 50代女性
 
- 治療期間
 - 1ヶ月
 
- 治療回数
 - 2-5回
 
- 治療計画
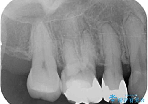
 - 奥歯の裏側がしみるとのことで来院された患者様です。
矯正治療による歯肉退縮がおき、歯根にまで虫歯が波及していました。
虫歯が大きかったため、フルジルコニアクラウンにて補綴することとしました。 
- 費用(概算)
 - 治療費の目安: 8万円費用は治療当時の料金となります
 
治療について
一部歯肉の中にまで虫歯が波及しており、汚れが溜まりやすくなっていましたが、クラウン装着後は汚れが溜まることはなくなりました。
しみていた症状もなくなり、患者様には大変満足していただきました。
セラミック治療の注意事項(リスク・副作用など)
- 天然歯を削ります
 - 硬い素材は天然歯を傷つけてしまう場合があります
 - かみ合わせや歯ぎしりが強すぎる方はセラミックが割れてしまう可能性があります
 - 自費診療(保険適用外治療)となります
 
当サイトの内容、テキスト、画像等の無断転載、複製、複写、盗用を固く禁じます。

                      
                                                          








