症例詳細
Case detail
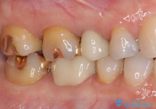
古くなったメタルボンドをオールセラミッククラウンに
治療症例の内容
- 診療科目
- 治療カテゴリ
- 担当医
- 藤巻太一朗(ドクタープロフィール)
- 患者様
- 50代女性
- 治療期間
- 3ヶ月
- 治療回数
- 2-5回
- 治療計画
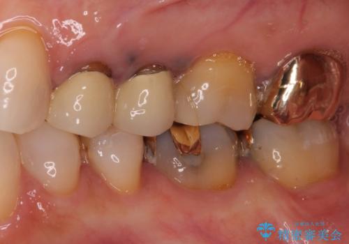
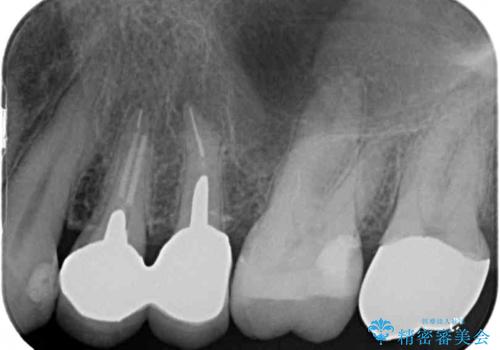
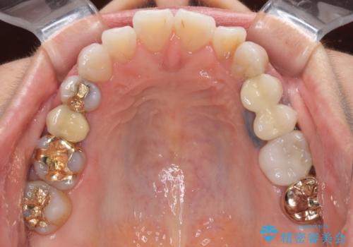
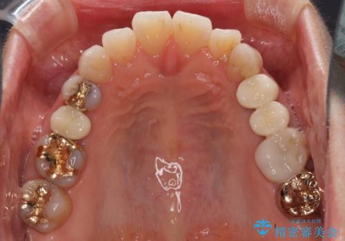
- 歯肉が退縮したためにクラウンの縁や歯根が見えてしまっていることを気にして来院された患者様です。
また、歯肉が黒く変色していることも気になるとのことでした。
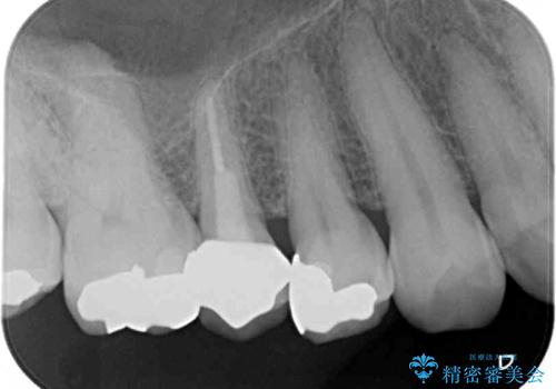
仮歯に変える際に歯肉の一部を切除し、金属片による変色を除去した後、オールセラミッククラウンにて補綴することとしました。
- 費用(概算)
- 治療費の目安: 50万円費用は治療当時の料金となります
治療について
メタルタトゥー(金属イオンの溶出による歯肉の変色)は、歯に装着された金属から金属イオンが溶け出したり、金属を除去するときの切削片が歯肉に入り込んでしまったりして引き起こされます。
物理的に除去をすることできれいな歯肉となりますが、残留している金属イオンにより再発するリスクがあります。
セラミック治療の注意事項(リスク・副作用など)
- 天然歯を削ります
- 硬い素材は天然歯を傷つけてしまう場合があります
- かみ合わせや歯ぎしりが強すぎる方はセラミックが割れてしまう可能性があります
- 自費診療(保険適用外治療)となります
当サイトの内容、テキスト、画像等の無断転載、複製、複写、盗用を固く禁じます。


















