症例詳細
Case detail
オープンバイトのインビザラインを用いた再矯正
治療症例の内容
- 担当医
- 藤巻太一朗(ドクタープロフィール)
- 患者様
- 20代女性
- 矯正装置
- インビザライン
- 治療期間
- 1年11ヶ月
- 治療回数
- 10-30回
- 治療計画
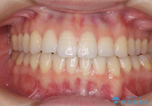
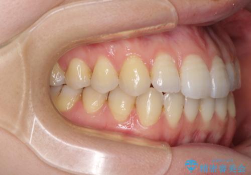
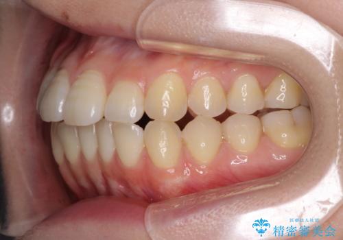
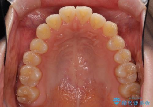
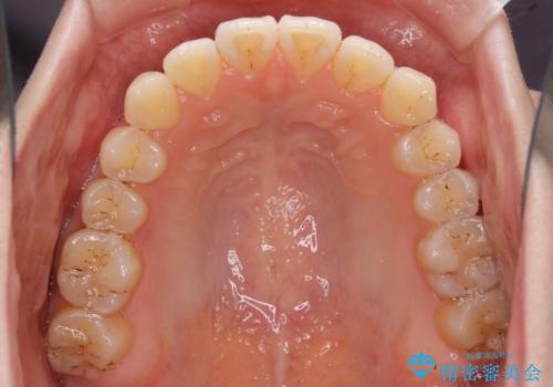
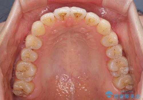
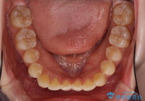
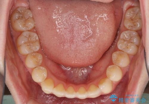
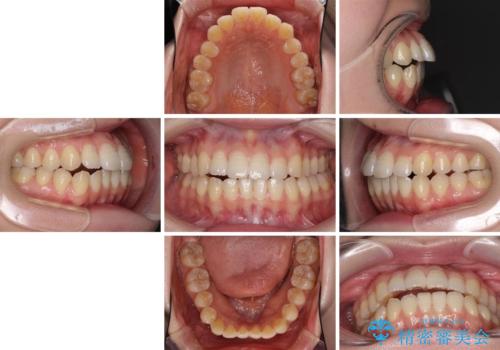
- 矯正治療の後戻りを気にして来院された患者様です。
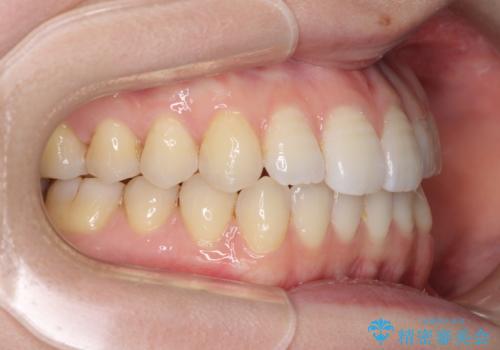
オープンバイト(前歯の開咬)と下顎骨の偏位による不正咬合が認められました。
骨格の偏位による不正咬合は改善しきれないことを理解いただいた上で、インビザラインにて矯正治療を行うこととしました。
- 費用(概算)
- 治療費の目安: 75万円費用は治療当時の料金となります
治療について
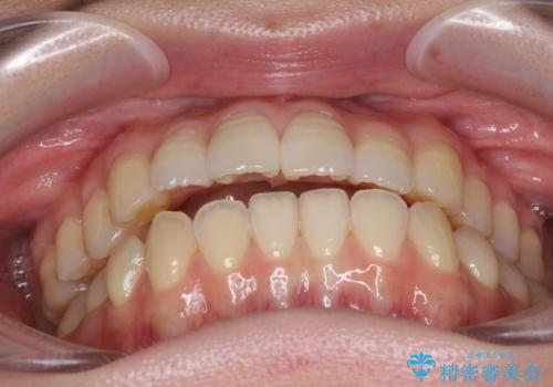
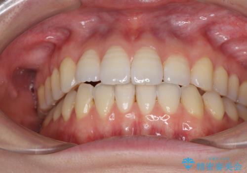
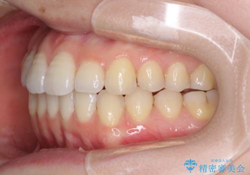
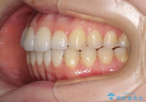
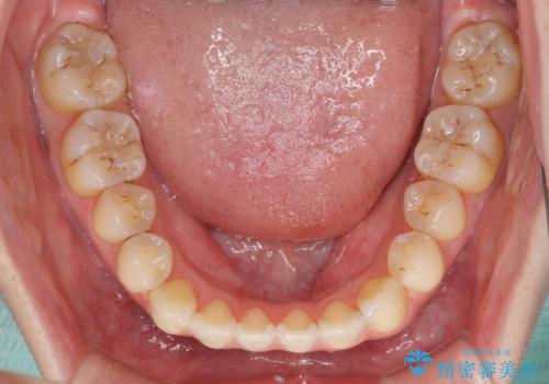
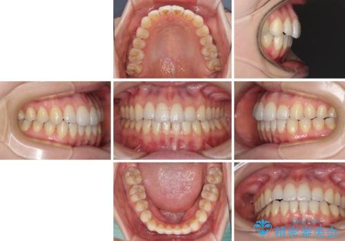
オープンバイトは後戻りを起こしやすいため、極力そのリスクを軽減するため、奥歯を圧下させるように治療を進めていきました。
下顎骨の偏位が顕著であったため、上下の正中を合わせることはできませんでしたが、患者様には大変満足していただきました。
マウスピース矯正の注意事項(リスク・副作用など)
- 口腔内・歯並びの状態によっては対応できない場合があります
- マウスピース型矯正装置の長時間装着(1日20時間以上)が必須です
- 治療計画通りに進めるためには、患者様の意志が重要になります
- 矯正治療後の保定が不十分だと後戻り(元の位置に戻ろうとする動き)をします
- 薬機法対象外の矯正歯科装置のため医薬品副作用被害救済制度の対象外となる場合があります
- 自費診療(保険適用外)となります
当サイトの内容、テキスト、画像等の無断転載、複製、複写、盗用を固く禁じます。




























