症例詳細
Case detail
欠けてしまった前歯のブリッジをオールセラミックブリッジへ
治療症例の内容
- 診療科目
- 治療カテゴリ
- 担当医
- 藤巻太一朗(ドクタープロフィール)
- 患者様
- 50代男性
- 治療期間
- 2ヶ月
- 治療回数
- 2-5回
- 治療計画
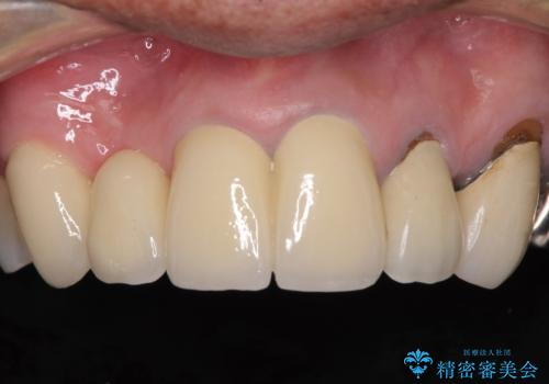
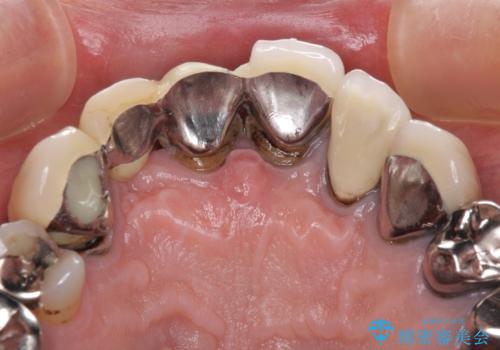
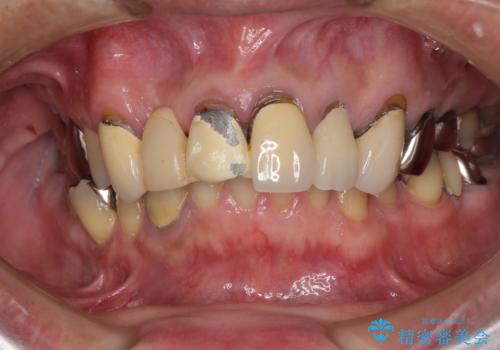
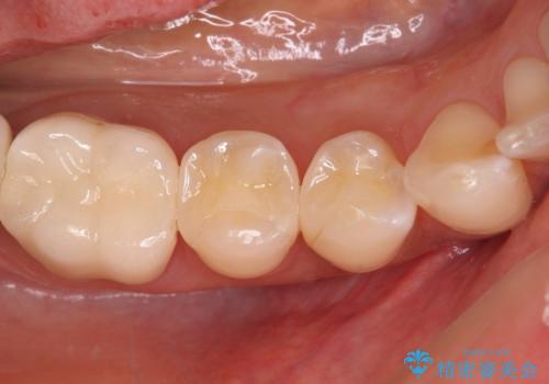
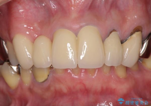
- 前歯のブリッジのセラミックが欠けてしまい、作り直したいとのことで来院された患者様です。
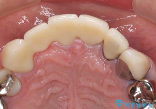
犬歯はブリッジの中で虫歯が進行していたため、根管治療からやり直しをした後、オールセラミックブリッジにて補綴することとしました。
- 費用(概算)
- 治療費の目安: 55万円費用は治療当時の料金となります
治療について
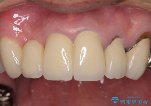
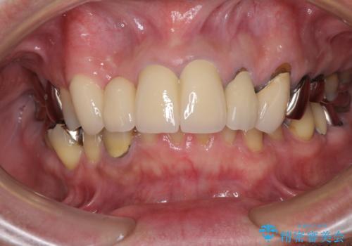
歯肉が少し退縮していたため、補綴治療のやり直しにより歯が少し長く見えるようになりましたが、自然な口元に仕上がり、患者様には大変満足していただきました。
定期的にラグビーをされるとのことなので、マウスピースの装着をかかさないようにお伝えしました。
セラミック治療の注意事項(リスク・副作用など)
- 天然歯を削ります
- 硬い素材は天然歯を傷つけてしまう場合があります
- かみ合わせや歯ぎしりが強すぎる方はセラミックが割れてしまう可能性があります
- 自費診療(保険適用外治療)となります
根管治療の注意事項(リスク・副作用など)
- 根管治療により類似の全ての症例の問題が解決するわけではなく、症例はあくまでも一例です
- 根管治療により痛みや腫れがひかない事や、術後に痛みや腫れが生じる事、治療によるファイル破折やパーフォレーションなどの偶発症、術後の歯根破折を生じる可能性もあります
- 自費診療(保険適用外)となります
当サイトの内容、テキスト、画像等の無断転載、複製、複写、盗用を固く禁じます。












