症例詳細
Case detail
前歯のオールセラミック 腫れている歯肉が改善
治療症例の内容
- 診療科目
- 治療カテゴリ
- 担当医
- 藤巻太一朗(ドクタープロフィール)
- 患者様
- 30代女性
- 治療期間
- 3ヶ月
- 治療回数
- 2-5回
- 治療計画
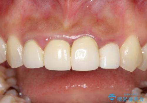
- 前歯のかぶせもの(メタルボンド4本)の色調、ならびに歯肉の腫脹を気にされて来院された患者様です。
前歯4歯を仮歯に替え、そのときに歯と仮歯の境目をきっちりと整えることで腫脹の消失を図ります。
最終的にはオールセラミッククラウンで補綴することとしました。
- 費用(概算)
- 治療費の目安: 60万円費用は治療当時の料金となります
治療について
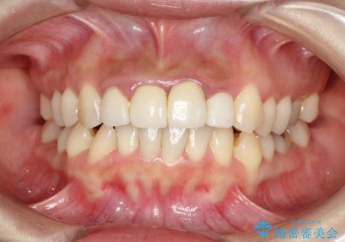
仮歯の状態で歯肉の腫れは改善したものの、元々の歯列不正があり、清掃性が悪いという問題がありました。部分矯正や歯周外科による改善も提案しましたが、患者様の希望もありそのままオールセラミッククラウンを装着しました。
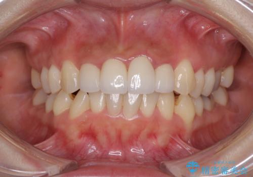
装着から数ヶ月経過しましたが、歯肉の腫脹や出血などは認められず、患者様には大変満足していただけました。
セラミック治療の注意事項(リスク・副作用など)
- 天然歯を削ります
- 硬い素材は天然歯を傷つけてしまう場合があります
- かみ合わせや歯ぎしりが強すぎる方はセラミックが割れてしまう可能性があります
- 自費診療(保険適用外治療)となります
根管治療の注意事項(リスク・副作用など)
- 根管治療により類似の全ての症例の問題が解決するわけではなく、症例はあくまでも一例です
- 根管治療により痛みや腫れがひかない事や、術後に痛みや腫れが生じる事、治療によるファイル破折やパーフォレーションなどの偶発症、術後の歯根破折を生じる可能性もあります
- 自費診療(保険適用外)となります
当サイトの内容、テキスト、画像等の無断転載、複製、複写、盗用を固く禁じます。








