症例詳細
Case detail
オールセラミッククラウン・セラミックインレー 口腔内全体の見た目の改善
治療症例の内容
- 患者様
- 50代女性
- 治療期間
- 8ヶ月
- 治療回数
- 2-5回
- 治療計画
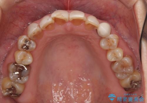
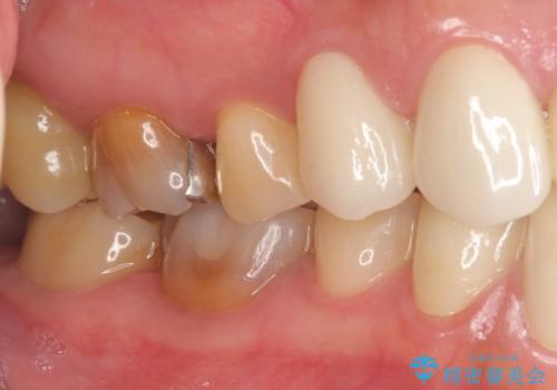
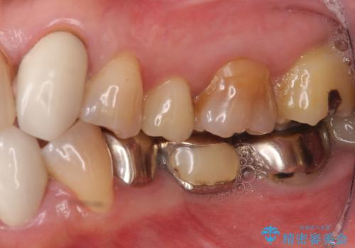
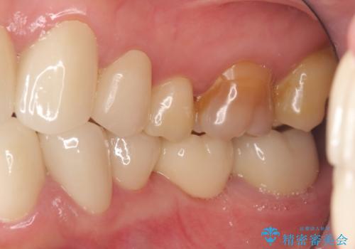
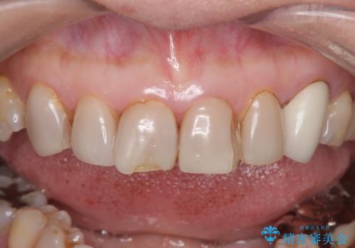
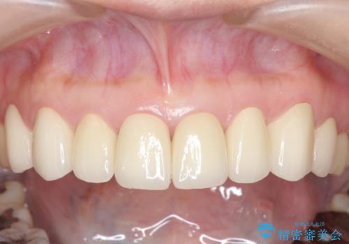
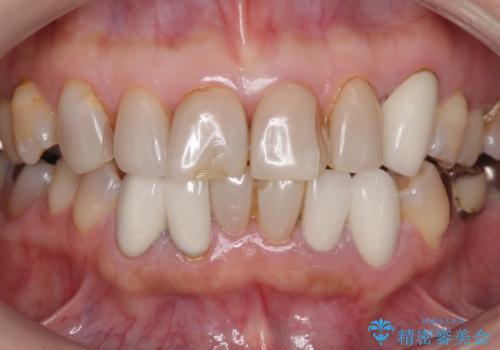
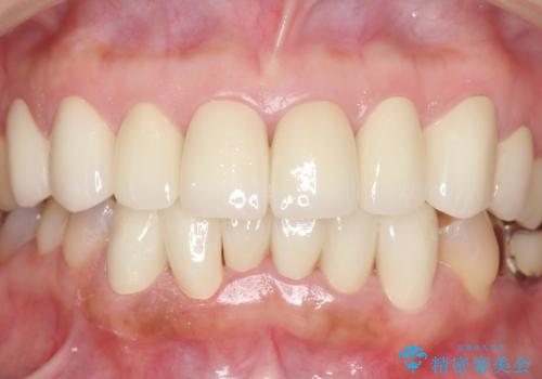
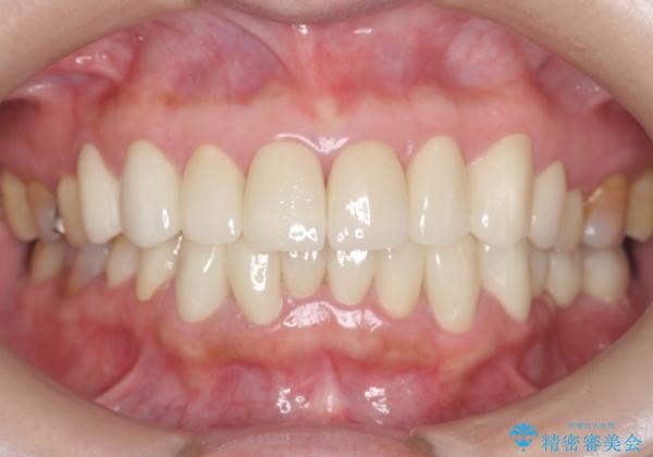
- 前歯の色や形を全体的に綺麗したいといらっしゃった方の症例です。
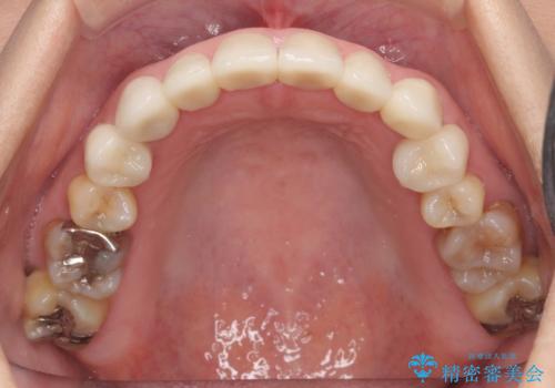
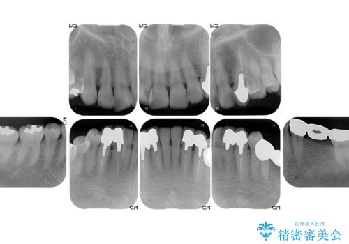
上顎は左側 4 番目から右側 4 番目までの 8 歯をオールセラミッククラウンで補綴しました。
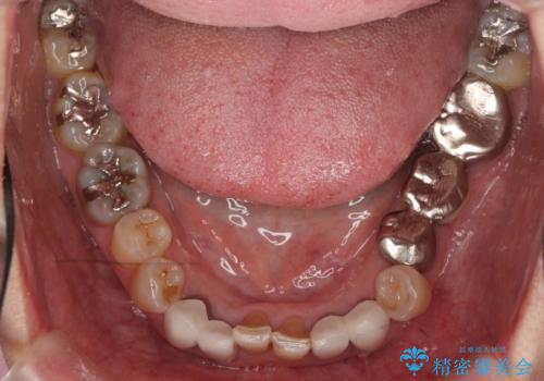
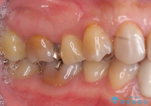
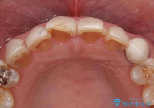
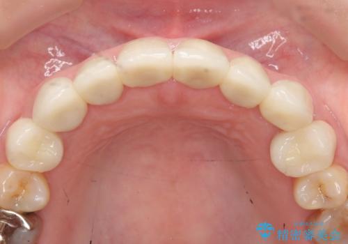
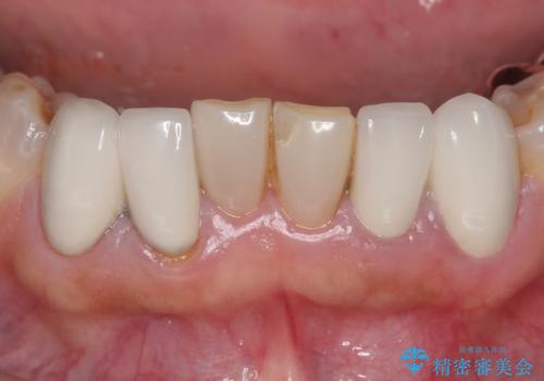
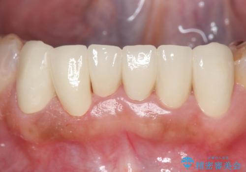
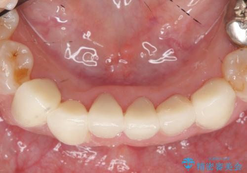
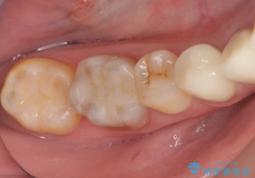
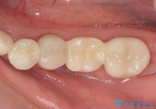
下顎は左側 4 番目から右側 4 番目までの 8 歯と左下 567 ブリッジをオールセラミッククラウンで補綴し、右下67の銀歯はセラミックインレーによる修復を行いました。
- 費用(概算)
- オールセラミッククラウン…¥100,000×19、仮歯…¥10,000×19、ファイバーコア…¥20,000×6、セラミックインレー…¥70,000×2費用は治療当時の料金となります
セラミックインレーについて
当院のセラミックインレーはemaxという強度と審美性に優れた材料を使用しています。
またプレス方式でインレーを製作しているため、削り出しで製作するCADCAMより優れた適合性も持ち合わせており、虫歯が再発しにくい修復物です。
オールセラミッククラウンについて
今回用いたオールセラミッククラウンはジルコニアフレームという白い素材の上にセラミックを盛っているため、審美性が非常に高いのが特徴です。
また、ジルコニアは人工ダイヤモンドの材料にも使われているほど高い強度を持っており、そのためオールセラミッククラウンは審美性だけでなく、奥歯やブリッジの補綴も可能とするクラウンです。
セラミック治療の注意事項(リスク・副作用など)
- 天然歯を削ります
- 硬い素材は天然歯を傷つけてしまう場合があります
- かみ合わせや歯ぎしりが強すぎる方はセラミックが割れてしまう可能性があります
- 自費診療(保険適用外治療)となります
当サイトの内容、テキスト、画像等の無断転載、複製、複写、盗用を固く禁じます。

























